Doctors
ドクター紹介
Taro Ogiwara
グランドメゾンデンタルクリニック歯科医師
荻原 太郎
患者さんの笑顔をより美しくするを
モットーに治療致しております。
『木を見て森を見ず』という言葉がありますが、歯科治療も同様で、一本の歯に捉われることなく、口腔内全体、ひいては患者さんを診ることが歯科治療の本質であると考えております。
1歯単位における精密治療は元より、噛み合わせを含めた全体的な機能治療(咬合再構成、フルマウスリコンストラクション)、顔貌と調和した審美治療を研鑽してまいりました。
それを最短ルートで提供いたします。ご期待ください。
患者さんの笑顔をより美しくするをモットーに治療致しております。
『木を見て森を見ず』という言葉がありますが、歯科治療も同様で、一本の歯に捉われることなく、口腔内全体、ひいては患者さんを診ることが歯科治療の本質であると考えております。
1歯単位における精密治療は元より、噛み合わせを含めた全体的な機能治療(咬合再構成、フルマウスリコンストラクション)、顔貌と調和した審美治療を研鑽してまいりました。
それを最短ルートで提供いたします。ご期待ください。
経歴
- - 2013
- 日本大学松戸歯学部卒業
- - 2014-2018
- 埼玉県医療法人勤務
- - 2018-2021
- 東京都中央区歯科医院勤務
- - 2018
- 日本臨床歯科学会(sjcd)所属
専門診療
- エステティックアドバイザー
- 審美補綴治療
- -インプラント
- -セラミック治療
- -ダイレクトボンディング
Aesthetic Dentistry
兼ね備えた治療
エステティックアドバイザー
審美補綴専門ドクター
荻原 太郎 Taro Ogiwara
健康+美を兼ね備えた治療
当院では、「審美性」と「耐久性」を両立した、
高品質のセラミック治療をご提供しております。
歯の色ならホワイトニング、歯並びなら矯正治療というイメージをお持ちの方も多いと思いますが、症例によってはセラミックを用いた詰め物・被せ物治療が適している場合もあります。
お口のコンプレックスを解消し、患者さまの笑顔と幸せをサポートしたい。
当院では、このような考えのもと、患者さまのお顔立ちや骨格を総合的に判断し、
より美しく、バランスの良い審美セラミック治療をご提供しております。
Features
私が大切にしている
3つのこと
-
01 患者様に寄り添う治療特殊なテクニックと最も細い針で90%以上の患者さんが痛みを感じない麻酔を実現。ラバーダム防湿も徹底し、丁寧なカウンセリングで患者様の声に耳を傾け、疑問や不安にしっかりお答えしながら納得いく治療を一緒に考えます。
-
02 精密な診査診断と治療計画一見単純な治療でも何通りもの選択肢から最良の方法を選ぶため診査診断に充分な時間をかけます。最新機器と豊富な経験を活かし、機能性・審美性・予後・ご予算すべてを踏まえた最適な治療計画を患者さん一人ひとりに立案します。
-
03 確かな技術力日々の研鑽により能力を最大化し、コンポジットレジン・セラミック・ジルコニア審美治療から智歯抜歯・インプラント・歯周外科・精密根管治療まで、すべての分野で高いレベルの治療を提供。患者さんの笑顔をより美しくすることをモットーとしています。
Flow
初診の流れ
-
1
ご来院・受付
当院は完全予約制です。事前にお電話にて患者様の症状、都合に合わせた時間や日程で予約を取得します。
-
2
診査(資料採取)・診断
基本的には当院はお顔、お口、顎関節全ての総合診断を行い、治療計画を立案します。(口腔内写真、X線写真、CT、マイクロスコープを用いた口腔内診査等)患者様に合わせてお口の中や顎関節、お鼻、お顔の検査を行います。
-
3
現状把握・治療計画の立案
資料採取したものを、ご理解いただくことを重要視しております。現状をしっかりと理解していただき、その治療法(ゴール設定)をオーダーメイドでご提案さていただきます。その際に治療期間、費用も具体的に提示します。
-
4
治療開始
現状の把握、治療の必要性、治療計画(ゴール)が決定し、患者さん自身が全てをご理解いただいている状態で治療の開始となります。
基本は衛生士による口腔衛生管理が完了した後に本格的な治療を開始します。
一回の治療時間は治療内容やお口の開けていられる時間等によって決定します。必要に応じて長時間で多くの治療を行う(集中治療)ことをご提案させていただきます。 -
5
メインテナンス・定期検診
基本治療が終了したら、再治療のリスクは可能な限り少ない状況になっていますが、患者さんのリスクに応じてメインテナンスに通っていただきます。これは重大な再治療を未然に防ぐ目的やお口の老化、変化に順次対応する為には必要です。お口のかかりつけ歯科医院として責任を持ってメインテナンスを行います。
各治療の流れ
-
疾患治療
現代の先端歯科医療は、保険診療制度が誕生した約60年前と比べて大きく進歩しました。まさに人類の叡智が集約された成果であり、私たちの使命はその叡智を患者さまへと還元することだと考えております。
しかしながら、そのような高度な医療すべてが保険診療で十分に担保されているかといえば、必ずしもそうではないのが現実です。
歯科における二大疾患といえば 歯周病 と 虫歯 が広く知られています。さらに虫歯を放置すると、歯髄炎 や 根尖性歯周炎 へと進行し、いわゆる「歯が痛い」状態につながります。
当院では、これらの疾患に対して最新の知見と技術をもとに、患者さまに最適化された治療を行っております。ここでは私のアプローチ方法をご紹介いたします。
1
診査・診断
正確な診断を行うためには、まず患部の特定と口腔内全体の現状把握が欠かせません。
必要に応じて、CT撮影や局所レントゲン、デンタル14枚法による詳細な撮影を行い、より精密に状態を把握します。
これにより、治療計画の精度を高め、患者さまに最適な治療をご提案いたします。 -
歯周病治療
歯周病の主な原因は細菌感染です。歯みがきの磨き残しが細菌の温床となり、やがて唾液中のミネラルと結びついて歯石となります。歯石の表面はざらついており、細菌が付着しやすい性質を持つため、歯周ポケットの奥深くにまで入り込みます。
こうした異物が体内に侵入すると、身体は炎症反応を起こし、防御しようとします。その炎症が長く続くことで、症状は次第に悪化していきます。痛みや腫れが現れる頃には重症化していることも多く、「眠れる病」と呼ばれる所以です。
治療の基本は、歯石やプラークの除去と正しい歯みがき習慣です。軽度の歯周病(歯肉炎)の段階であれば、保険診療内の治療でも進行を抑えることが可能です。しかし、炎症が進行し歯槽骨の破壊に至ると、歯を守るために歯周外科治療を含むより高度な治療が必要になる場合があります。症状が深刻化する前の早期治療を強くおすすめします。 -
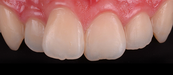
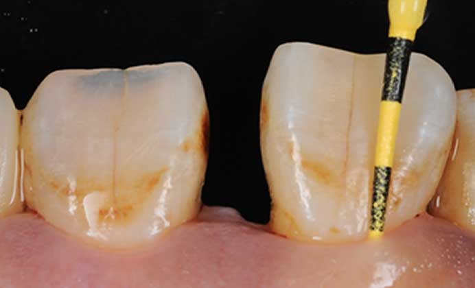
虫歯治療
当院では、治療後に再発させないこと、そして長期的に歯を守ることを大切にしています。 そのために、治療中はラバーダム防湿を用いて感染リスクを最小限に抑え、詰め物がしっかり適合するよう細部まで配慮します。さらに、必要に応じてダイレクトボンディングやインダイレクトボンディングといった方法を選択し、歯髄を保護しながら精密に治療を行います。
虫歯治療症例
虫歯治療は「削って詰める」というシンプルな工程に見えますが、その一つひとつの工程に高度な技術や材料の選択、経験に基づいた工夫が込められています。
当院では、そのすべてを結集し、患者さまに精密で質の高い治療をご提供いたします。 -
根管治療
当院では、ラバーダム防湿とマイクロスコープを併用した精密根管治療を行っています。
ラバーダム防湿は、治療部位を唾液から隔離し、感染のリスクを減らすために欠かせない方法です。さらに、薬液を安全に使用できる環境を整えることで、治療効率も高まり、患者さまの負担軽減にもつながります。
成功率を高める
マイクロスコープによる
拡大視野根管治療は、歯の内部にある細い管(根管)から細菌を徹底的に取り除き、その後に密閉することで再感染を防ぐ治療です。根管は非常に複雑な形態をしているため、マイクロスコープによる拡大視野での処置が、成功率を大きく高めます。
-
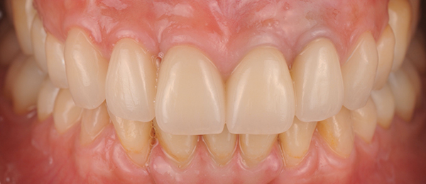
治療後のメンテナンス
フルマウスリコンストラクション後は、噛み合わせや補綴物を長期に安定させるためのメンテナンスが不可欠です。治療で整えた口腔内は、日常生活の中で少しずつ変化や負担を受けます。そのため定期的にかみ合わせや歯周組織、インプラント周囲の状態を確認し、必要に応じて調整やクリーニングを行います。こうした継続的なケアにより、治療成果を守り、美しい口元を長く維持することができます。
-
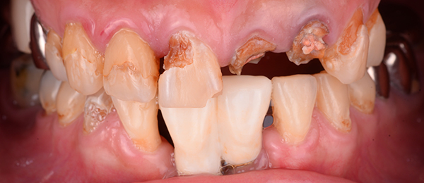
欠損治療
1
診査・診断
治療の内容に応じて、必要となる検査は異なります。
局所的な治療が必要な場合には、CT撮影による精密診断を行います。
一方で、口腔全体のバランスを根本的に整える必要があると判断した場合には、顔貌やかみ合わせを含めた総合的な検査を実施し、その結果をもとにフルオーダーメイドの治療計画をご提案いたします。 -
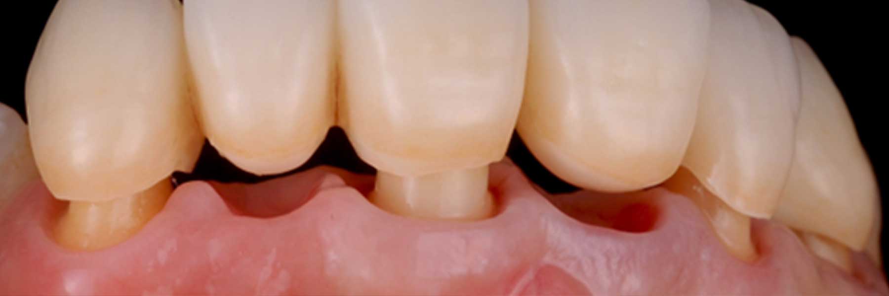
インプラント
インプラント治療は、現代歯科医療において欠かすことのできない治療法となっています。やむを得ず歯を失ってしまった場合、その代替手段として機能性・審美性ともに満足度の高い治療です。
近年は、マテリアルの進化や手術技術の向上により、非常に高い成功率(5年生存率95%以上)を誇る治療法となりました。かつては特別な治療とされていましたが、現在では一般的かつ安心して受けられる治療として広く普及しています。 -
ブリッジ
ブリッジは、古くから行われてきた実績のある治療方法で、外科的処置を必要とせず、自然な噛み心地や見た目を再現できることから、高い満足度が得られます。
また、インプラントと比較すると、治療期間が短いというメリットもあります。
ただし、神経を失った歯(失活歯)を支えとする場合には、将来的に強度や寿命に影響が出る可能性があるため、十分な診断と計画が必要です。 -
フルマウス
リコンストラクション
(咬合再構成)
築年数の経った家が、部分的な修繕だけでは根本解決に至らない場合、基礎から建て直す必要があります。口腔内でも同様に、噛み合わせの再設計、歯を支える土台(歯周組織・骨)の立て直し、歯の形や高さの整え直しを全体で行う治療が、フルマウスリコンストラクションです。
まずはお口全体の情報を丁寧に集め、無理のない現実的な計画を立てたうえで、一つずつ確実に進めます。
-
治療後のメンテナンス
フルマウスリコンストラクション後は、噛み合わせや補綴物を長期に安定させるためのメンテナンスが不可欠です。治療で整えた口腔内は、日常生活の中で少しずつ変化や負担を受けます。そのため定期的にかみ合わせや歯周組織、インプラント周囲の状態を確認し、必要に応じて調整やクリーニングを行います。こうした継続的なケアにより、治療成果を守り、美しい口元を長く維持することができます。
-
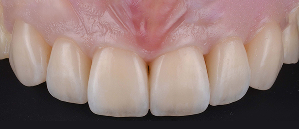
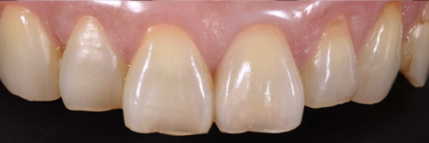
審美治療
審美治療は、患者さまご自身の「理想」と、私たち歯科医師が追求する「美しさ」の両方を大切にする分野です。
私の考える審美には大きく二つの側面があります。・客観的な審美:歯並びが整い、歯が白く、誰が見ても美しいと感じる状態
・主観的な審美:人工的な処置をしていることが気づかれず、自然に見える状態
たとえば歯並びが完璧でなくても、また少し黄みがかった色調であっても、周囲からは「自然で違和感がない」と感じられることがあります。これも立派な「審美」だと考えています。
この二つの間には幅広いグラデーションがあり、患者さまが本当に求める美しさを一緒に探し、最適な治療で実現していきます。
1
診査・診断
軽度な症例であれば、局所的なレントゲンやCT撮影で十分に診断が可能です。
しかし、より複雑な症例や高度な審美性をご希望の場合には、顔貌分析や口腔内全体の精密検査を行い、ワックスアップ(治療後を想定した模型作製)を含めたフルオーダーメイドの治療計画を立案します。 -
ダイレクトボンディング
(コンポジットレジン)
ダイレクトボンディングは、虫歯治療の延長としての審美修復はもちろん、虫歯がない場合でも単独で施術可能な治療です。最大の特徴は、歯を削る量を最小限に抑えられること。天然の歯をできるだけ残しながら、自然な色や形を再現できます。
一見シンプルに見える治療ですが、実は高度な技術と経験が必要とされる分野であり、当院では細部までこだわった精密な処置を行っています。 -
クラウン
(プレスセラミック・
ジルコニア・
フェルドスパ)
クラウンは、歯の形や色を大きく改善できる治療方法で、審美的に優れた仕上がりを実現できます。
素材によって透明感や強度に特徴があり、プレスセラミック・ジルコニア・フェルドスパといった選択肢から、患者さまのご要望に合わせて最適なものをご提案します。
一方で、クラウン治療は歯を削る量が比較的多いことが欠点となります。
-
ラミネートベニア
(プレスセラミック・
ジルコニア・フェルドスパ)
ラミネートベニアは、非常に薄いセラミックを歯の表面に貼り付ける治療方法です。
歯を削る量を最小限に抑えられるのが大きな特徴で、中には無切削(削らない)で適用できるケースもあります。
ただし、削る量が少ない分、歯の形態を大きく変える自由度には制限があるため、適応症例の見極めが重要です。 -
歯周外科
(クラウンレングスニング・
結合組織移植術 など)歯を絵画にたとえるなら、その「額縁」にあたるのが歯ぐき(歯肉)です。どんなに美しい歯でも、歯ぐきのバランスが整っていなければ本当の意味での審美は成立しません。
歯周外科では、下がってしまった歯ぐきを回復させる処置や、歯が短く見える場合に歯ぐきを下げる処置などを行います。
代表的な方法には、
・クラウンレングスニング
(歯冠長延長術)
・CTG(結合組織移植術)
・骨造成を併用した
歯肉ボリュームの維持
などがあり、これらを組み合わせることで、歯と歯ぐきの調和した美しさを実現します。 -
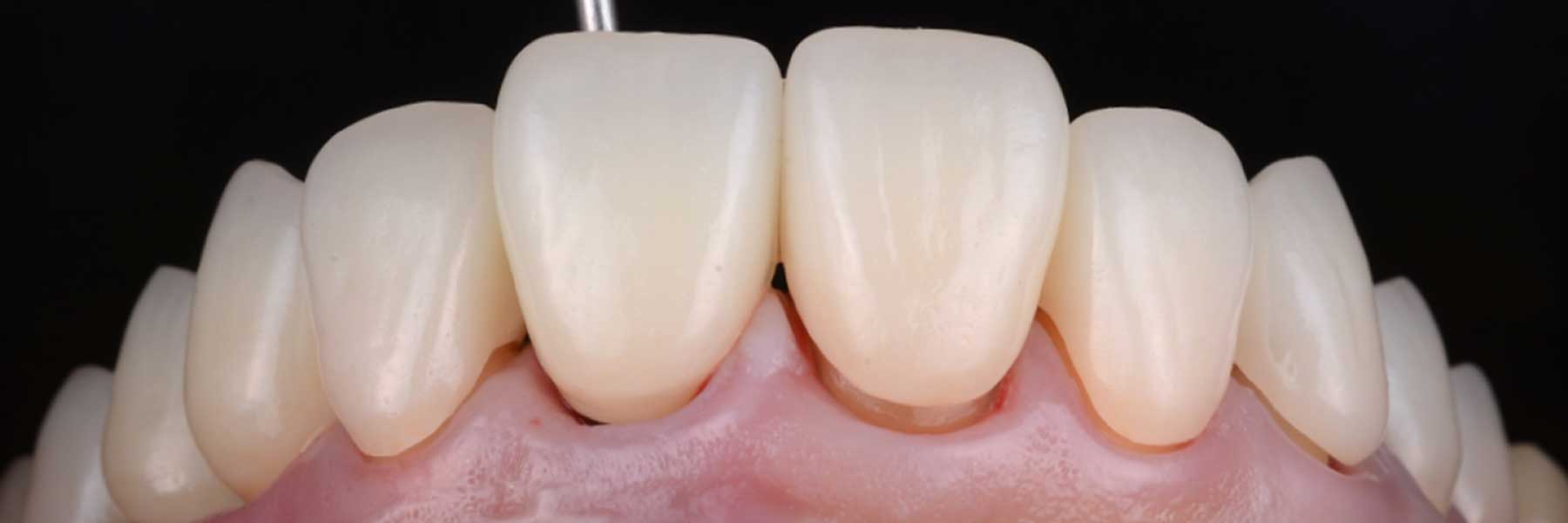
審美インプラント
インプラント治療において大切なのは、自然な見た目と機能の両立です。
当院では、まるで人工物が存在しないかのように、周囲の歯や歯ぐきと調和した仕上がりを目指しています。
「どこにインプラントが入っているのかわからない」
― そんな自然で美しい結果をご提供いたします。 -
治療後のメンテナンス
フルマウスリコンストラクション後は、噛み合わせや補綴物を長期に安定させるためのメンテナンスが不可欠です。治療で整えた口腔内は、日常生活の中で少しずつ変化や負担を受けます。そのため定期的にかみ合わせや歯周組織、インプラント周囲の状態を確認し、必要に応じて調整やクリーニングを行います。こうした継続的なケアにより、治療成果を守り、美しい口元を長く維持することができます。
Price
料金・お支払い方法
お支払い方法
保険診療・自費診療問わず現金、
クレジットカードでのお支払いが可能です。
デンタルローンは自費診療のみです。
お支払い時に受付までお問い合わせください。
ご利用可能なクレジットカード
料金表
初診料
| 初診料 | 約3,000〜5,000円 (税込)※1 |
|---|
※1 処置の内容によって前後いたします。
GRANDMAISON DENTALCLINIC
グランドメゾンデンタルクリニック
池袋駅すぐ近く |
土日診療の通いやすい歯医者
池袋駅の歯医者
「グランドメゾンデンタルクリニック」
| 診療時間 | 月 | 火 | 水 | 木 | 金 | 土 | 日 |
|---|---|---|---|---|---|---|---|
| 10:00-14:00 | ● | ● | ● | ● | ● | ● | ● |
| 15:30-19:30 | ● | ● | ● | ● | ● | ● | ● |
休診日:祝日
午前:10:00 - 14:00 / 午後:15:30 - 19:30









