- TOP
- 矯正歯科
矯正歯科
池袋の歯医者「グランドメゾンデンタルクリニック」では、患者さまとのコミュニケーションを大切にし、お悩みやご要望をじっくりと伺った上で最適な矯正治療をご提案いたします。
歯並びの改善は、見た目の印象だけでなく、全身の健康や虫歯予防にも良い影響を与えます。当院では「審美性」と「機能性」を同時に追求し、人とのコミュニケーションや食事をしっかり楽しめるような矯正治療をご提供しております。
「機能性」と「審美性」を意識した治療
グランドメゾンデンタルクリニックでは、お口全体の機能性を意識した矯正治療を行っております。歯列矯正といえば見た目ばかり重視されがちですが、咬み合わせは、咀嚼する・飲み込む・発音するといった多方面の機能に深く関わっています。また「咬む」という動作は、生きるために必要不可欠な「食べる」という行為に直結するものです。咬合機能を回復することは、人生を楽しみ、健康で長生きするためにも大切な治療と言えます。
また歯列矯正は、心の状態にも良い影響を与えます。歯並びが改善すれば笑顔に自信を持てるようになり、人とのコミュニケーションにも積極的になれることでしょう。
当院では患者さまの心と体の健康をサポートすべく、一人ひとりに合わせたオーダーメイドの治療計画を立案。ワイヤー矯正、マウスピース矯正、そしてそれぞれの利点を生かしたコンビネーション矯正を中心に、最適な治療法をご提案いたします。
患者さまとのコミュニケーションを大切に考えています
矯正は数年がかりの治療になるケースも多く、仕上がりによって見た目の印象が大きく変わることから、患者さまにしっかりとご納得いただくことが重要だと考えております。まずはじっくりと時間をかけてカウンセリングを行いますので、どんなに小さなご要望やご不安も遠慮なくお話しください。
ご説明の際には、治療後の歯並びを3Dアニメーションで作成してご覧いただきます。「頑張って治療したら、こんなにキレイな歯並びになれる!」というゴールイメージを共有することで、患者さまのモチベーションを向上できればと考えております。
矯正治療について
- 歯並びを整えるメリット
-
- 口元が健康的で美しくなります。それゆえに、笑顔に自信が持てるようになります。また、発音の良くなるので人とのコミュニケーションも良好になります。
- 唾液による自浄作用がはたらきやすいので汚れがたまりにくくなります。また、歯ブラシが届きやすいので、効率よく歯みがきができむし歯や歯周病の発症リスクの低減が可能です。
- 全体の咬み合わせが良くなるので、歯それぞれある機能が効率的に働き、局所に過度な力がかかることを防ぎます。それは、被せ物が割れたり、インプラントがダメになるリスクを低減するともいえます。
- 正しく咀嚼(そしゃく)できるので、食べ物を細かく砕くことができ胃腸の負担を減らします。
- いびきや睡眠時無呼吸症候群が改善し、睡眠の質が上がります。
- 良好な咬み合わせは、全身のバランスにもよい影響を与えるので、顎関節症リスクを抑え、肩こりや頭痛などの改善につながります。
不正咬合の種類
不正咬合とは、上下の歯が適切に咬み合っていない状態をいいます。不正咬合には、上あごと下あごの位置がずれている骨格性のもの、歯とあごの大きさのバランスが悪いことによってでこぼこやすきまが生じる歯性のものなどがあります。
- こんな症状を感じたら不正咬合かも
-
- 滑舌が良くない気がする
- なんとなく物が食べにくような気がする
- むし歯になりやすい気がする
- 上顎前突
(出っ歯、下顎遠心咬合) -

上顎前突(じょうがくぜんとつ)とは、上顎の過成長、または、下顎が上顎と比較して奥に引っ込んでいる状態のことを指します。上顎前突として不正咬合と判断される基準は、上の前歯が下の前歯より8㎜以上出ているものとされています。日本人は比較的上顎前突の方が多いようです。
- 下顎前突
(受け口) -

下顎前突(かがくぜんとつ)とは、骨格的に下顎が大きい状態のことを指します。下顎前突として不正咬合と判断される基準は、3歯以上が上下反対の咬合になっているものとされています。上下の前歯が、前後逆に咬んでいる「反対咬合」になることもあります。
- 開咬
-

開咬(かいこう)とは、奥歯でしっかり噛んでも前歯が咬み合わずに上下の歯の間が開いてしまう状態のことを指します。(稀に逆に前歯を咬み合わせても奥歯がかみ合わないケースもあります)開咬として不正咬合と判断される基準は、奥歯を咬んだ時に上下の前歯が6㎜以上空隙が出来るものとされています。開咬は歯並びによるものと骨格によるものとに分かれ、幼年期に指しゃぶりが長く続いていたこと等が原因になることもあります。
- 叢生
(乱杭歯(らんぐいし)、八重歯) -

上叢生(そうせい)とは、八重歯等の歯がでこぼこに生えている状態で、更にはこの仲間として 「捻転(歯が正面を向かずにねじれて生えている)」というものもあります。叢生として不正咬合と判断される基準は、歯が互いに4分の1以上重なり合うものとされています。
叢生の原因は、歯の大きさや数に対して、顎の骨が小さく、歯が並ぶ充分なスペースが無い場合におこりやすい不正咬合で、食事の内容が柔らかいものが中心になってきたことで顎が充分に成長しないことが原因の1つと言われています。
- 上下顎前突
-

上下顎前突(じょうげがくぜんとつ)とは、上顎・下顎ともに前歯が前に突き出ている状態のことを指します。外見上でも口元が出ているように見えます。
- 交差咬合
-

交差咬合(こうさこうごう)とは、左右いずれかの奥歯または前歯が横にずれている状態のことを指します。開咬と同様に指しゃぶりが長く続いた場合等によく見受けられます。
- 正中離開
(空隙歯列、すきっ歯) -

正中離開(せいちゅうりかい)とは、歯と歯の間にスペースが出来てしまっている状態のことを指します。正中離開として不正咬合と判断される基準は、上の左右中切歯の間に6㎜以上の空隙(隙間)があるものとされています。正中離開の原因は、叢生の場合の反対で、顎の大きさに対して歯が小さい場合や、先天的・後天的も含めて歯の数が足りない場合におこりやすい不正咬合です。
- 切端咬合
-

上下の前歯の先端同士が真っ直ぐにぶつかっている状態のことを指します。切端咬合の原因は、舌の癖や口呼吸・あごの骨の成長パターンの異常のために起こりやすい不正咬合です。
- 過蓋咬合
-

咬み合わせが深く、下の前歯を上の前歯がほぼ隠してしまっている状態を指します。主に歯肉に影響が出やすく、歯肉が腫れやすかったり、口内炎が頻繁に起きたりします。また、下の歯が咬耗しやすかったり、顎関節症になりやすいです。
矯正治療の種類
目立たないワイヤー矯正(プラスチックブラケット、ホワイトワイヤー)
メタルブラケットと異なり、ブラケット自体が透明や白色の目立たない色で、審美性が高く目立たないのが特徴です。ブラケット自体もセラミックス製やジルコニア製、プラスチック製のものがありますが、アーチワイヤーも金属では無く、白いワイヤーを使えば更に目立ちません。
見えないマウスピース矯正
クリアプレート/マウスピース矯正では、ブラケットやワイヤーを使わず、透明なマウスピース型の見えない矯正装置を使用します。透明なので治療期間中の審美的ストレスから開放され、食事時に取り外せるなど、患者様にとって多くのメリットをもたらしてくれます。そして、違和感も少なく、ホワイトニング(歯を白くする治療)も同時に行うことができます。
マウスピース矯正のメリット
merit1 見た目が目立たない
マウスピース矯正は、装着するとほとんどわかりません。30センチ以上離れていれば気付かれないことが多いです。周囲の人に気づかれずに歯並びを矯正することができます。
merit2 取り外しが可能
マウスピース矯正はご自身での取り外しが可能です。そのため、お出かけや大切なイベントの際、もちろん食事の時には外していただければ結構です。コツさえ覚えれば数秒で着脱可能です。
merit3 食べたいものが食べられる
他の矯正装置が自分の意思で外すことができないのと異なり、マウスピース矯正は患者さんご自身の手でいつでも取り外しできることが大きな特徴のひとつです。装置の間に食べ物が詰まる心配がなく、治療中も普段通りの食事ができるので、食事のお誘いに気が引けてしまうこともありません。いつものように好きな食べ物を好きな人と、好きなタイミングで食べることが可能です。
merit4 不快感が少なく、メンテナンスも楽
マウスピースは、プラスチックで出来ているので金属アレルギーの心配がありません。少しずつ歯を動かしながら段階的に歯並びを矯正するため、従来の矯正方法と比べて痛みが少なく、唇や口の中の粘膜などを傷つけてしまう心配もなく、今までのように快適に生活することができます。また、自分で取り外しができるので、普段通りの歯磨きやメンテナンスが行え、口腔内の清潔を保てるだけでなく、むし歯にもなりにくいです。治療期間中に装置が歯から外れてしまうなどのアクシデントが少ないことも特徴のひとつです。
merit5 費用がおさえられる
マウスピース矯正は、通常のワイヤー矯正よりも安価です。目指すゴールや移動範囲にもよりますが前歯4本だけなら20万円から可能。小臼歯までの10本の範囲であれば35~40万円です。
短期間で、痛みを少なく!スピード矯正(オルソパルス)について
スピード矯正「オルソパルス」とは、特定の波長に調整された光を矯正中の歯列に照射することで歯の移動を促進させたり、歯の移動に伴う痛みを軽減させることを目的とした装置で、毎日片顎5分間程度、合計10分間程度照射することで効果を発揮します。
一般的に歯列矯正は、通常2年~3年程度の治療期間がかかりますが、オルソパルスを毎日継続して正しく使用していただくことで、治療期間を半分以上に短縮できるメリットがあります。
- こんな方におすすめです
-
- 矯正治療を早く終わらせたい
- 矯正治療中、圧迫感や不快感を感じている
- 矯正治療中の痛みがひどい
治療の流れ
- 01診断
-
ご自身の気になさっているところ、希望を歯科医師がしっかりと話を聞きます。その後、口腔内写真、レントゲン、歯周病検査、型取りをおこないお口の中の情報を集めます。治療期間や費用のご説明をし、ご了承いただければ次回にはマウスピースがセットできます。
- 02治療開始
-
出来上がったマウスピースをはめて治療をスタートします。3~4週間に1回のペースで通院していただき、新しいマウスピースに交換します。マウスピースは1日18時間以上装着してください。飲食や歯磨き以外の時間は、いつも装着するようにしましょう。歯並びの状態によって異なりますが、早ければ半年以内に終了する場合もあります。
- 03保定期間
-
すべてのマウスピースの装着が終了し、歯並びが改善されましたら、保定期間に入ります。舌などのクセによって歯が元の位置に戻ることがないように約1~3年間、保定装置(リテーナー)を装着していただき、歯列を安定させる期間です。噛み合わせや歯の経過を観察しますので、保定期間中は約6ヶ月に1回のペースでご来院ください。
「矯正」は最大の「予防」です
矯正治療は咬合機能や見た目の印象をアップするだけではなく、虫歯や歯周病の予防にもつながります。咬み合わせが良いということは、歯を磨きやすく、食べものやプラークがたまりにくいということ。また、咬み合わせのバランスが良いと歯への負担が少なく済み、破折やダメージによって虫歯になるリスクも軽減できるのです。
また、もし虫歯や歯周病になっても、歯並びが良ければそれだけスムーズに治療を進められます。歯に余計な負担がかからないため、インプラントやセラミックを長持ちさせることにもつながるでしょう。
このように、矯正治療は見た目の印象だけではなく、お口の健康維持にとっても大きな役割を果たします。当院では適切な矯正治療で、患者さまの未来の健康と幸せをサポートしたいと考えております。
料金表
矯正治療
| 矯正分析 | ¥38,500 |
|---|---|
| 調整料 | ¥5,500 |
| 小児矯正(0期) | ¥110,000 |
| 小児矯正(Ⅰ期) | ¥352,000 |
| 小児矯正(Ⅱ期) | ¥385,000 |
| 部分矯正 | ¥165,000~330,000 |
| ワイヤー矯正 | ¥660,000~880,000 |
| エクストルージョン | ¥66,000 |
| インビザライン | ¥208,000~880,000 |
| 矯正抜歯 | ¥11,000 |
| リテーナー | ¥41,800~55,000 |
スピード矯正(オルソパルス) |
¥176,000 |
※その他各種ホワイトニングコース・割引もございます。詳細はお問合せください。
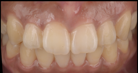
症例
- 治療前

- 治療後

| 治療名 | 抜歯矯正 |
|---|---|
| 治療期間 | 36ヶ月 |
| 費用 | 120万 |
| リスク・副作用 | 後戻り 歯根吸収 セラミックの破折 |
| 担当医 | 生野 誠 |
