- TOP
- 歯周病治療
池袋の歯医者「グランドメゾンデンタルクリニック」では、
歯周病の原因を正確に見極め、進行度に合わせた治療と予防で、お口の健康を長期的にサポートします。
歯周病は「お掃除に通って進行を止めるだけ」の病気ではありません。症例によっては、再生療法や歯肉移植などで“失われた組織を取り戻す可能性”もあります。重度歯周病、分岐部病変、エンドペリオ(歯内‐歯周の複合病変)なども含め、まずはお気軽にご相談ください。
このページのまとめ
- 歯周病治療とは、歯ぐきの腫れや出血だけでなく、歯を支える骨や組織の破壊を防ぐことを目的とした治療です。
- 当院では歯石除去やクリーニングだけでなく、進行度に応じて深部清掃や外科処置、再生療法など幅広い歯周治療に対応しています。
- また、細菌(プラーク)だけでなく、力(咬合)の面からも評価を行い、「お掃除だけ」では取り切れない再発要因まで含めて整えることを目指します。
歯周病とは
〜歯ぐきの腫れだけで
終わらない病気〜
歯周病は、歯と歯ぐきの溝(歯周ポケット)に潜むプラーク(歯垢)や歯石の中の細菌により炎症が起こり、やがて歯を支える骨(歯槽骨)や歯周組織が破壊される病気です。
「歯ぐきが腫れる」「出血する」という“歯ぐきの症状”が目立ちますが、本質は“歯を支える土台の破壊”です。症状が軽いうちは痛みが少ないことも多く、気づいた時には進行しているケースもあります。放置すると歯がぐらつき、最終的には抜歯につながることがあります。
歯周病のサイン
(セルフチェック)
- 歯ぐきが腫れる、赤い
- 歯みがきで血が出る
- 口臭が強くなった気がする
- 歯ぐきから膿が出る
- 歯が浮いた感じ・ムズムズする
- 歯が長く見える(歯ぐきが下がる)
- 歯がグラグラする、噛みにくい
- 食べ物が詰まりやすい/歯間が広がった
日本人の多くが関係する
“静かに進む病気”
歯周病は痛みが少なく進行することが多く、気づいた時には骨が減っているケースも少なくありません。
早期発見・早期治療に加えて、治療後も再発を防ぐためのメインテナンスが重要です。
歯周病は全身の健康とも
関係します
歯周病は口腔内の慢性炎症であり、研究では糖尿病、心血管疾患、早産・低体重児出産、誤嚥性肺炎、骨粗鬆症などとの関連が指摘されています。
「お口は病気の入り口」とも言われるように、歯周病の管理は歯を守るだけでなく、全身の健康を支える基礎にもなります。
こんなお悩みは歯周病が
関係しているかもしれません
歯ぐきが腫れる・出血する
歯ぐきの腫れや出血は、歯周病の最も多い初期サインです。歯と歯ぐきの境目に細菌が溜まり、炎症が起きている状態で、放置すると歯周ポケットが深くなり、歯を支える骨へ影響が及ぶことがあります。
当院では、歯周ポケット検査で出血部位と深さを把握し、SRP(歯石除去)とセルフケア改善で炎症を落ち着かせることを基本に、必要に応じて深部清掃や外科治療まで検討します。
口臭が気になる
口臭の原因はさまざまですが、歯周病が関係しているケースも多くあります。歯周ポケット内で細菌が増えると、揮発性硫黄化合物(においの原因)を生むことがあり、本人が気づく前に周囲が気づくこともあります。
当院では、汚れの付着部位や歯周ポケットの状態を確認し、原因が歯周病由来かどうかを切り分けたうえで、治療計画を立てます。
歯がグラグラする・
噛むと違和感がある
歯のぐらつきは、歯周病が進行して歯を支える骨が減っているサインの場合があります。ただし、同じ歯周病でも「炎症」だけで揺れているケースと、「噛み合わせ(力)」の負担で揺れが強く出ているケースがあり、対策が変わります。
当院では、動揺度検査とレントゲン(必要に応じてCT)で骨の状態を確認し、細菌コントロールに加えて咬合(力)の偏りを評価して、再発しにくい形へ整えます。
歯ぐきから膿が出る・
できものができる
歯ぐきから膿が出る、ニキビのようなできものが繰り返しできる場合、歯周病の深い感染や、歯の根(根管)由来の感染が関係していることがあります(エンドペリオの可能性)。
当院では、歯周検査と画像検査で原因を整理し、歯周治療だけでなく、必要に応じて根管治療の評価も行い、最短で改善につながる方針をご提案します。
歯ぐきが下がった・
歯が長く見える・しみる
歯ぐきの退縮は、歯周病の進行だけでなく、強いブラッシング圧、歯並び、噛み合わせ、歯ぎしりなど複数の要因が重なって起こることがあります。
当院では、原因を整理したうえで、清掃しやすい環境づくりを行い、必要に応じてルートカバー(根面被覆)や歯肉増生(CTG/FGG)を検討します。
奥歯の歯周病が心配・
根分岐部(分岐部病変)がある
と言われた
奥歯は根が複数に分かれており、分岐部は汚れが残りやすい構造です。分岐部病変は進行すると管理が難しくなるため、早い段階で「清掃性」と「噛み合わせ(力)」を含めて戦略を立てることが大切です。
当院では、分岐部の形態と進行度を評価し、基本治療に加え、必要に応じて外科処置や再生療法、歯肉環境の改善を組み合わせて長期管理を目指します。
“掃除に通っているのに”
良くならない
定期的にクリーニングを受けていても、炎症が落ち着かない場合、磨き残しの癖、補綴物の適合、喫煙や全身状態、そして噛み合わせ(力)の問題が隠れていることがあります。
当院では、細菌のアプローチに加え、力の評価(食いしばり・早期接触・TCHなど)も行い、必要に応じてナイトガードや咬合調整などを組み合わせて、再発しにくい状態を目指します。
当院の歯周病治療の考え方
〜「細菌+力(咬合)」の
両輪で整える〜
歯周病は「細菌(プラーク)」が主因ですが、同じ量のプラークでも進行しやすい人・しにくい人がいます。そこで当院が重視するのが、細菌に加えて“力(咬合・習癖)”を評価することです。
歯周組織は、細菌による炎症に加えて、噛み合わせの偏りや歯ぎしり・食いしばり(ブラキシズム)、TCH(上下の歯を接触させ続ける癖)などが重なると、
骨や歯肉のバリアが緩みやすくなり、悪化しやすい状態になります。
当院では、「お掃除だけ」では取り切れない再発要因まで含めて整えることを目指します。
力(咬合)の評価と対策:
当院がチェックしているポイント
歯周病がなかなか落ち着かない方ほど、力の影響が隠れていることがあります。
診断では次のような点を確認します。
力の評価(チェック項目)
- 咬耗(歯のすり減り)・クラック(ひび)
- 歯の動揺の出方
(前後・左右・垂直方向) - 咬み合わせの強い当たり/偏り
(早期接触) - 咬合高径の低下、咬合崩壊の兆候
- 詰め物・被せ物の適合と咬合関係
- 歯列不正や歯の傾斜による清掃性の
悪化 - TCHの有無(無意識の接触癖)
- 生活習慣(ストレス、睡眠、
食いしばりを誘発する状況)
力への対策(必要に応じて)
- 咬合調整(強い当たりを分散)
- ナイトガード
(就寝時の食いしばり対策) - TCHの改善指導
(クセを減らす行動療法) - 咬合を整える補綴設計
(被せ物・ブリッジの設計見直し) - 必要に応じた矯正的アプローチ
(清掃性と力の偏りの改善)
※力の介入は「やりすぎると逆効果」になることもあるため、当院では症状・所見・再発パターンを踏まえて、必要最小限で計画します。
治療の第一歩は精密検査:
原因と重症度を正確に把握します
歯周病は進行度により治療が変わります。まずは検査で現状を可視化し、治療の優先順位を決めます。
検査内容
- 歯周ポケット検査:深さ・出血・
付着レベル - 動揺度検査:歯の揺れの程度と方向
- レントゲン/必要に応じてCT:
骨吸収の範囲、欠損形態、分岐部など - 細菌検査(必要に応じて):
細菌の傾向を把握し治療設計の参考に
治療後こそ重要:歯周病予防を
“二人三脚”で
歯周病は治療して終わりではなく、再発を防ぐための日々のプラークコントロールと、定期的なメインテナンスがとても重要です。
当院では担当歯科衛生士が、歯ブラシ・フロス・歯間ブラシ・磨き方を患者さまのお口に合わせて調整し、続けやすい形でサポートします。
「やっているつもりでも磨けていない場所」を一緒に見つけ、改善することで、治療効果が長持ちしやすくなります。
歯周病の重症度と治療
(軽度〜重度)
軽度歯周炎
(目安:ポケット3〜4mm)
歯ぐきの赤みや軽い腫れ、ブラッシング時の出血が見られる段階です。
治療の中心はプラークコントロール(TBI)と、歯石除去(スケーリング/SRP)です。
炎症を落とし、再付着しにくい環境へ整えます。
- ・SRP(スケーリング/ルートプレーニング):
歯周ポケット内の歯石・汚れを除去 - ・TBI(歯みがき指導):磨けていない部位を把握し、あなたに合う磨き方へ調整
中等度歯周炎
(目安:ポケット4〜5mm)

膿、口臭、腫れが強くなることがあります。歯周ポケット深部に汚れが残りやすく、通常の清掃だけでは改善しにくいケースが増えます。
深い部位のデブライドメントが必要になり、状態によっては歯周ポケット掻爬など、より深部の感染源に踏み込んだ処置を行います。
重度歯周炎
(目安:ポケット6mm以上)
歯がグラつく、歯ぐきが下がる、歯が長く見える、歯間が開くなどの症状が起こりやすく、骨吸収も進んでいます。
当院では重度の歯周病でも「抜歯ありき」ではなく、保存の可能性を検討し、必要に応じて外科治療や再生療法を組み合わせます。
- ・フラップ手術:直視下で感染源を除去
- ・歯周組織再生療法:骨欠損形態に応じて検討
(GTR/薬剤を用いた方法など) - ・CTG(結合組織移植):歯肉の厚みを増やし、
知覚過敏・審美・清掃性に配慮 - ・FGG(遊離歯肉移植):角化歯肉を獲得し、
炎症が起きにくい環境づくりへ
「下がった骨は治らないから、これ以上進まないように掃除だけ」
——それで良いケースもありますが、すべてのケースが“それだけ”で終わるわけではありません。
当院では失われた組織を回復できる可能性があるか、力の問題が隠れていないかまで含めて診断します。
当院が対応する幅広い歯周治療
当院では、基本治療に加え、次のような領域にも対応しています。
- クラウンレングスニング
(歯冠長延長術):
適合性の高い被せ物環境を整える - ルートカバー(歯肉退縮):
しみる・見た目・清掃性の改善 - 歯周組織再生療法:
骨欠損形態・リスクを踏まえて適応判断 - 歯肉増生(CTG/FGG):
歯肉の厚み・角化歯肉の確保 - エンドペリオ(歯内‐歯周複合病変):
根管と歯周の両面から原因整理 - 根分岐部病変:
長期管理が可能な形に整える治療計画
※適応は骨欠損形態、歯周病の活動性、清掃性、咬合、全身状態などにより判断します。
当院の医師
・チーム体制
当院では、口腔外科領域の知見も活かしながら、重度歯周病や外科処置を含む治療に対応しています。
また、恵比寿院(Uデンタルオフィス恵比寿)とも日頃から症例検討や研鑽を行っており、
必要に応じて多面的な視点で治療計画を検討します。
「1つの方法に決めつけず、患者さまに合う最適解」を大切にしています。
「再生療法」の適応の考え方
「下がった骨は治らないから、掃除だけで進行を止めるしかない」と言われることがあります。確かに、すべてのケースで骨が戻るわけではありません。
一方で、条件が合えば歯周組織再生療法によって、改善が期待できるケースもあります。
当院では、以下の点を総合して適応を判断します。
再生療法を検討しやすい条件
- 骨欠損の形が「再生に向く形態」である
(深い垂直性骨欠損など) - プラークコントロールが可能
(セルフケアが安定している) - 喫煙習慣の見直しができる/
全身状態が安定している - 咬合(力)の偏りが強く、
再発要因になっている場合に、
力の調整もセットで行える - 欠損部位の清掃性・補綴設計が確保できる
再生療法が難しくなりやすい条件
- 清掃性が確保できない/
炎症がコントロールできない - 喫煙や強い咬合負荷が残り、
改善が難しい - 骨欠損形態が再生に不利/
分岐部病変が高度で長期管理が難しい
など
※再生療法は「やれば必ず治る治療」ではありません。だからこそ当院では、適応を慎重に見極め、メリットと限界を丁寧に説明します。
料金表
| 再生療法 | ¥120,000 |
|---|---|
| 歯冠長延長術 | ¥33,000 |
| 遊離歯肉弁移植術(FGG) | ¥55,000 |
| 歯肉結合組織移植術(CTG) | ¥66,000 |
※詳細は診査診断後にご説明します。
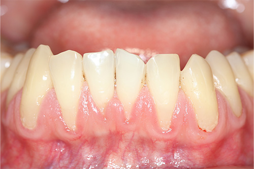
症例
- 治療前

- 治療後

| 治療名 | 歯周病治療 |
|---|---|
| 治療期間 | 3ヶ月 |
| 費用 | 20万 |
| リスク・副作用 | 再発 |
| 担当医 | 生野 誠 |
よくあるご質問(FAQ)
歯周病は治りますか?
進行度によります。
炎症をコントロールし、進行を止めることは十分可能です。症例によっては再生療法などで改善が期待できる場合もあります。治療後のメインテナンスが重要です。
歯がグラグラでも残せますか?
歯を残せる可能性はあります。
骨の残り方、動揺の原因(炎症/力)、清掃性などを評価し、保存の見通しを立てます。
歯ぐきが下がってしみます。
治せますか?
原因(歯周病、ブラッシング圧、咬合、矯正後など)を整理した上で、必要に応じてルートカバーや歯肉増生を検討します。
歯周病治療は痛いですか?
基本治療は麻酔を併用し、痛みを抑えて行います。
外科処置の場合も、術式と術後管理で負担軽減を図ります。
再生療法は誰でもできますか?
適応があります。
骨欠損形態、炎症のコントロール、喫煙習慣、清掃性、咬合などを踏まえて判断します。メリットと限界を説明したうえでご提案します。
