グランドメゾンデンタルクリニック
WEB診療予約
03-5951-6020
医院について
診療について
医院からのお知らせNews
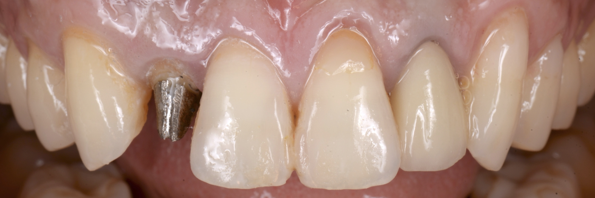
症例2022.01.07
【担当医:荻原太郎】上質なセラミック治療
症例2022.01.06
【担当医:荻原太郎】インプラント治療
【担当医:荻原太郎】インターナルブリーチとダイレ...
【担当医:荻原太郎】ラミネートベニヤ下顎
【担当医:荻原太郎】ラミネートベニア上顎
【担当医:荻原太郎】ラミネートベニア
【担当医:荻原太郎】ダイレクトボンディング