- TOP
- ホワイトニング
削らず歯を白くするホワイトニング
池袋の歯医者「グランドメゾンデンタルクリニック」は、歯を白く美しく保つことで、患者さまの素敵な笑顔をサポートしたいと考えております。
- 歯の色が気になって、
つい口元を隠してしまう - 笑顔に自信が持てないから、
人前で思い切り笑えない - 年齢を重ねるうちに、
歯の黄ばみが気になるようになった
このようにお悩みの方は、ぜひ当院までご相談ください。確かな知識と技術力を持つスタッフが、白く輝く歯へと導きます。
白く美しい歯で、笑顔に自信を
お口は、人と人とがつながるための大切なコミュニケーションツールです。家族や友人と楽しく話していると、自然と目を細め、口を大きく開いて笑顔になりますよね。人間は明るい場所に目がいきやすいので、会話中は口元へ視線が集中しやすくなります。つまり、口元がキレイであればあるほど、相手から好印象を獲得しやすくなるのです。
ホワイトニングで歯を白くするのは、お顔全体から見れば小さな変化かもしれません。しかし、自分の口元に自信を持てるようになると、人のコミュニケーションに積極的になれたり、性格まで明るくなったりと大きな変化へとつながっていきます。当院は、そういった“患者さまの未来の幸せ”につながるような診療を行っていきたいと考えております。白く美しい歯で、自信に満ちた笑顔を手に入れてみませんか?
ホワイトニングメニュー
ポリリンホワイトニング
漂白作用のある過酸化水素に、歯の汚れを優しく浮かせるポリリン酸を配合したホワイトニングです。ポリリン酸には、漂白作用を高める働きがあるのも特徴もあります。過酸化水素濃度を低くしても十分な漂白作用を期待できるため、歯への刺激や痛みを抑えながら、ツヤのある自然な仕上がりを目指すことが可能です。
ポリリントリートメント
ホワイトニングに追加するオプションメニューです。歯の表面をポリリン酸でコーティングし、汚れやプラークが付着しにくい状態へと導きます。プラークは虫歯や歯周病だけでなく着色の原因になるため、このトリートメントによりホワイトニング効果を長持ちさせる効果も期待できます。また、ポリリン酸には歯の再石灰化を促す働きもあるため、歯の表面のエナメル質を補修しツルツルとした質感にしてくれます。
プレミアムクリーニング(自費診療)
普段の歯みがきでは落としきれないプラーク・歯石・着色をキレイに除去し、お口の健康をサポートします。1回の施術で、お口全体のクリーニングが可能です。プラークが石灰化した歯石は歯みがきでは取り除くことができず、専用の器具を用いて除去する必要があります。歯石は細菌の温床となるため、定期的なクリーニングで虫歯や歯周病を予防しましょう。
オフィス×ホーム
Wのホワイトニングで、
白く輝く歯へ!
クリニックで行うプロ仕様の「オフィスホワイトニング」と、ご自宅で手軽に行える「ホームホワイトニング」の回数券がセットになったプランです。患者さまご自身によるセルフケアで、オフィスホワイトニングの効果が長持ちします。また、作用部位が異なる2種類のホワイトニングを継続することで、美しく自然な仕上がりを目指すことができます。オフィスホワイトニングの際はビフォーアフターの写真を撮影いたしますので、ホワトニング効果をより一層実感いただけます。
ホワイトニングをされた
患者さま限定の特別コース
ホワイトニングやクリーニングで歯をお手入れするうちに、「過去に治療した詰め物や被せ物の色が気になってきた」「歯並びがよくなったら、もっとキレイなのに……」とお悩みになる患者さまも少なくありません。
そこでグランドメゾンデンタルクリニックでは、当院でホワイトニングをされた患者さま限定で、セラミック治療や矯正治療を特別価格でご案内しております。体になじみやすいセラミック素材や、目立ちにくいマウスピース矯正をご用意しておりますので、この機会にぜひご検討ください。
料金表
ホワイトニング
| ポリリンホワイトニング | ¥13,200 |
|---|---|
| ポリリンホワイトニング3回コース(トリートメント付き) | ¥36,300 |
| ホームホワイトニング | ¥22,000 |
| 追加照射 | ¥5,500 |
※その他各種ホワイトニングコース・割引もございます。詳細はお問合せください。
クリーニング
| プレミアムクリーニング | ¥10,780 |
|---|
※その他各種ホワイトニングコース・割引もございます。詳細はお問合せください。
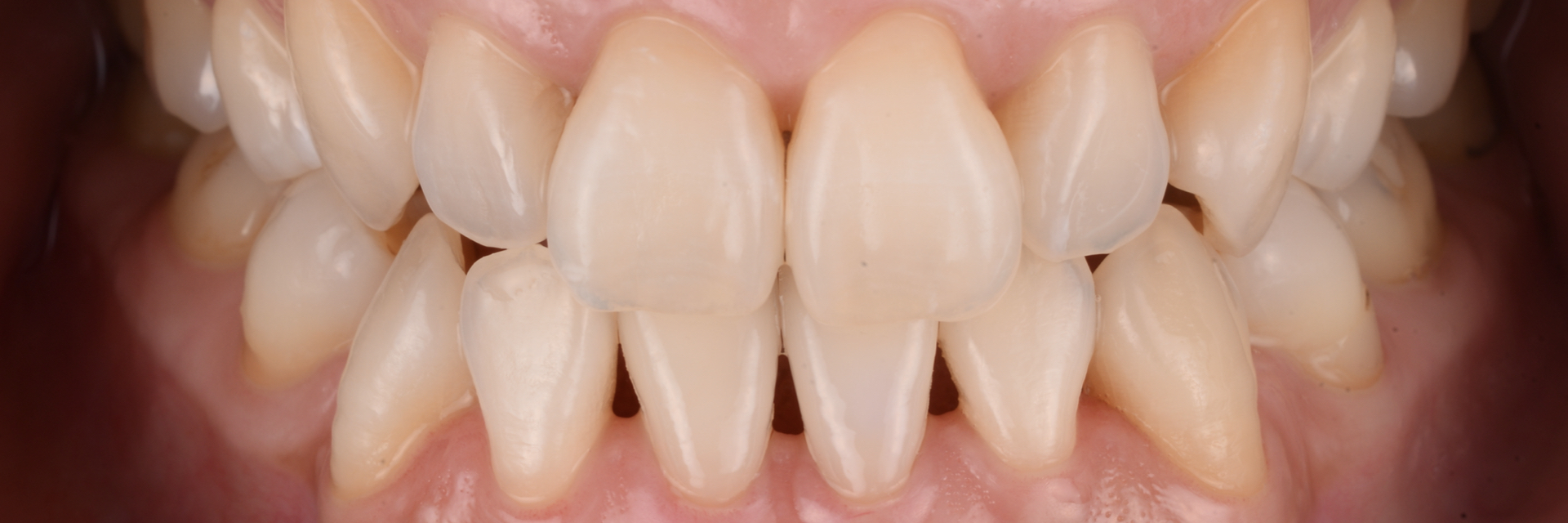
症例
- 治療前

- 治療後

| 治療名 | ホワイトニング |
|---|---|
| 治療期間 | 2ヶ月 |
| 費用 | 13万円〜/箇所 |
| リスク・副作用 | セラミックのチップ 術後の知覚過敏 |
| 担当医 | 荻原 太郎 |
よくあるご質問
- ホワイトニングは1回で白くなりますか?
- 個人差はありますが、1回の施術で効果を実感できる方も多いです。より明るい白さを目指す場合は、数回の施術が推奨されます。
