グランドメゾンデンタルクリニック
WEB診療予約
03-5951-6020
医院について
診療について
医院からのお知らせNews
症例2025.04.15
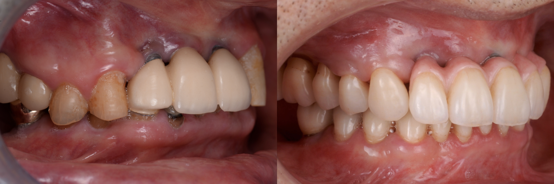
担当医 荻原太郎 すでに入っているインプラント...
症例2024.09.20
【担当医;荻原太郎】膿が溜まっている歯の根っこ...
【担当医;荻原太郎】全体的な治療、審美治療、イ...
症例2024.08.14
【担当医;荻原太郎】セラミック治療、結合組織移...
症例2024.08.11
【担当医荻原太郎】ラミネートベニヤで審美的改善
【担当医荻原】 前歯のセラミックのやりかえ
症例2024.05.12
【担当医;荻原太郎】歯が割れた患者さん。セラミ...
症例2024.04.24
【担当医;荻原太郎】ダイレクトボンディング