症例
【担当医:荻原太郎】ダイレクトボンディング
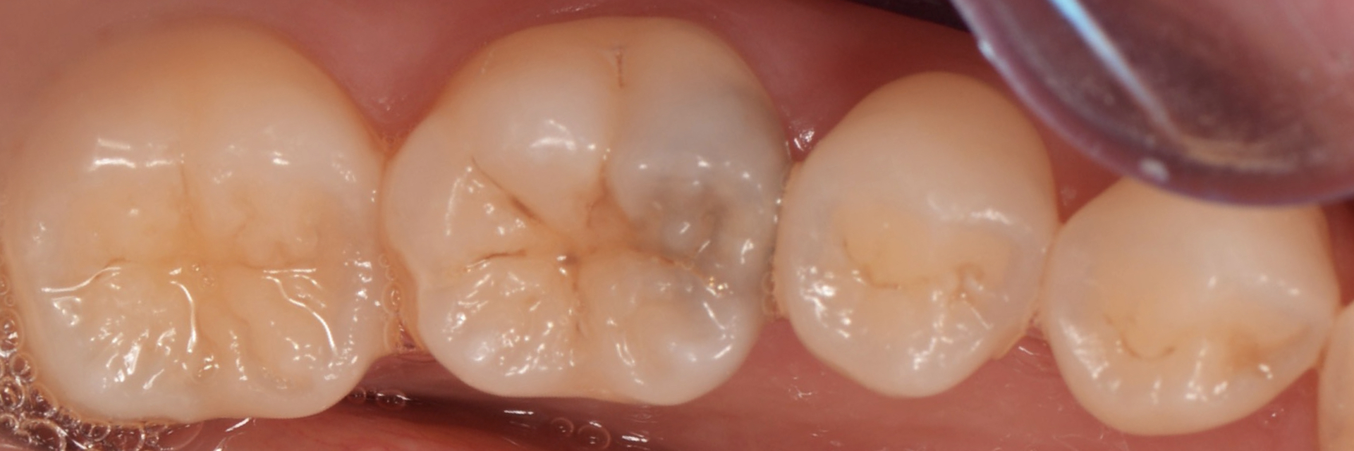
- 治療前

- 治療後

| 主訴 | 虫歯治療希望 |
|---|---|
| 治療内容 | 今まで一度も治療の既往がない場合、治療方法の第一選択はダイレクトボンディングです。 型取りが必要ないので最低限の切削量で処置が可能です。 |
| 治療期間 | 一回 |
| 治療費 | 3万円〜/箇所 |
| 治療で得られるメリット | 審美的 治療回数が少ない 割れない 取れない |
| 治療する際に起こる リスク・副作用 |
セラミックに比べると劣化進度は早い セラミックに比べると再度の虫歯に場合によってはかかりやすい |
池袋の歯医者 グランドメゾンデンタルクリニック
グランドメゾンデンタルクリニック
〒171-0014
東京都豊島区池袋2丁目60−6 グランドメゾン池袋一番館103
池袋駅西口C6出口 徒歩5分
平日 10:00~14:00 / 15:30~19:30
休診日 祝日