噛めない不安を“手術1回”で前へ|上下インプラントブリッジ+部分矯正で成立させた症例(池袋)






「歯が膿んでグラグラして噛めない」「不安でどうしていいか分からない」
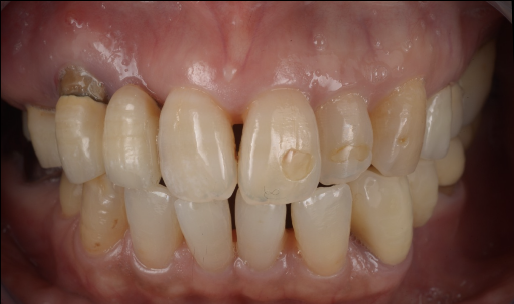
今回ご紹介するのは、噛み合わせに無理がある補綴設計が背景となり、腫れ・動揺が進行して日常の食事にも支障が出ていた患者様のケースです。
患者様のご希望は明確でした。
- 予算は抑えたいが、頑張ってちゃんと治したい
- 体のことも心配で、手術回数はできるだけ減らしたい
- 大きな手術は怖いので避けたい
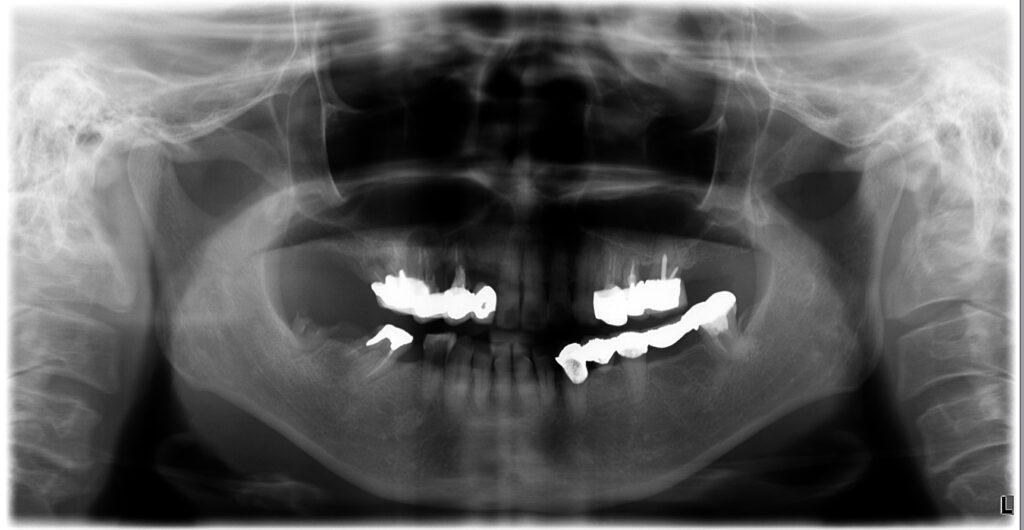
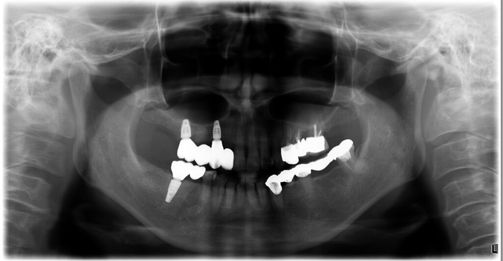
当院では、インプラント本数を絞って上下ともにブリッジ設計とし、さらに部分矯正で前歯の噛み合わせを作り直すことで、少ない本数でも成立するように調整。
結果として、抜歯即時で“オペ1回”で完結させた症例です。
症例のポイント(結論)
- 上下ともにインプラントブリッジで噛める機能を回復
- 奥歯が噛めないことで生じた切端咬合を、部分矯正で改善
- 少ない本数でも成立するように、噛み合わせと設計を最優先で再構成
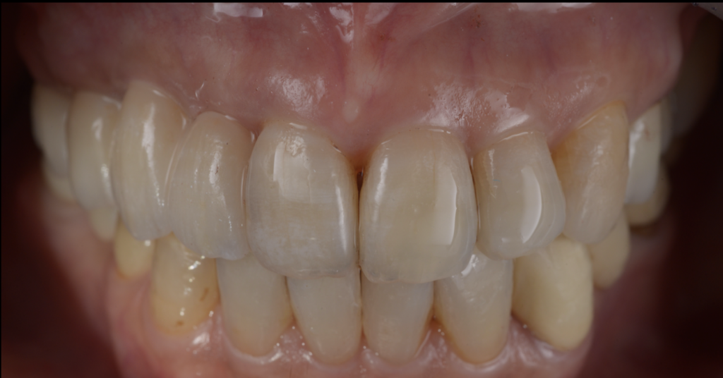
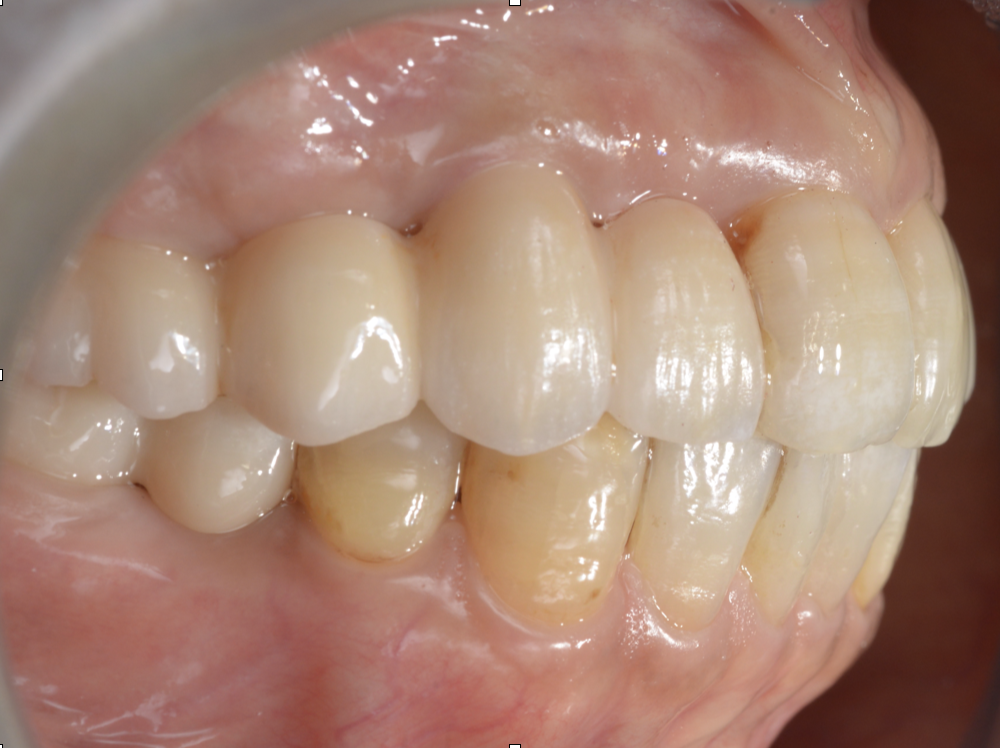
- ブリッジは高強度ジルコニアを選択し、審美性よりも厚みと強度を確保
- 患者様の希望に合わせ、外科は抜歯即時で1回にまとめた
なぜ「膿む・グラグラする」「噛めない」まで進んだのか
歯が腫れたり動いたりする原因はさまざまですが、再治療で重要なのは
“なぜ壊れたのか”を力のかかり方から見直すことです。
補綴設計や噛み合わせに無理があると、特定の部位に負担が集中し、
- 炎症(腫れ・排膿)
- 動揺(グラつき)
- 噛むと痛い/噛めないといった状態に進行することがあります。
この患者様も「自分の歯はもうダメなのか」と強い不安を抱えていましたが、原因を整理し、力の設計を作り直すことで改善の道筋を立てました。
奥歯が噛めないと、前歯が“代わりに噛む”ようになってしまう
奥歯で噛めない状態が続くと、無意識に前方で噛もうとして
切端咬合(前歯同士がぶつかる噛み方)になっているケースがあります。
切端咬合は
- 前歯が欠けやすい・すり減りやすい
- 被せ物が壊れやすい
- 噛む力の逃げ場がなくなるなど、補綴治療の難易度を上げます。
そこで今回は、「歯を入れる」だけでなく、前歯の噛み合わせも作り直す必要がありました。
治療方針:本数を増やすのではなく“成立する設計”に寄せる
患者様の希望は「負担と回数を減らしたい」「予算も現実的に」でした。
理想を追えば、インプラント本数や外科回数が増える場面もあります。
今回当院が選んだのは、
本数をむやみに増やさず、噛み合わせと設計の工夫で成立させる方針です。
治療の工夫①:部分矯正で“少ない本数でもいける噛み合わせ”を作る
少ない本数で長く安定させるには、力のかかり方を整えることが不可欠です。
そこで、部分矯正を併用して
- 切端咬合の改善
- 前歯の被蓋(かみ合わせ)の再構築
- ブリッジに過度な負担がかからない咬合設計
を行い、少ない本数でも成立する条件に近づけました。
※矯正は「見た目のため」だけでなく、設計を成立させるために使うことがあります。
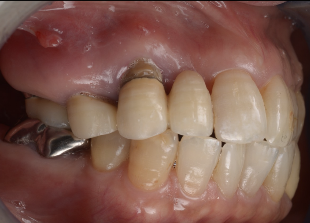
治療の工夫②:上下ともにインプラントブリッジで機能を回復
上下ともにブリッジ設計とすることで、噛む機能を回復しながら
設計の自由度と安定性を確保しました。
ただし、ブリッジは材料選択と厚みの設計が重要です。
治療の工夫③:高強度ジルコニアを選び、審美より“強度と厚み”を優先
今回は、患者様が「噛めるようになりたい」という機能回復を最重視していたこと、
またブリッジ設計であることから、強度の高いジルコニアを選択しました。
高強度ジルコニアは、立体感や審美性(透明感)の表現がやや制限される一方で、
- 強度を確保しやすい
- ブリッジでの破折リスクを下げやすい
- 厚みを取って設計できるというメリットがあります。
今回は、理想的な審美表現よりも、厚みを確保して長期安定に寄せる設計にしています。
治療の工夫④:抜歯即時で“オペ1回”にまとめる
患者様の「手術が怖い」「回数を減らしたい」という希望に対して、
条件が許す範囲で抜歯と同日にインプラント埋入(抜歯即時)を行い、外科介入を1回にまとめました。
まとめ:理想だけを追わず、患者様の条件で“前に進む治療”を
この症例は、最初から完璧な理想形を追ったわけではありません。
患者様の希望(費用・負担・怖さ)に寄り添いながら、
- 噛めない不安を止める
- 力の破綻を立て直す(噛み合わせの再構成)
- 少ない本数でも成立する設計にする
- 外科は1回で完結させる
という現実的なゴールを達成しています。
池袋で「噛めない」「膿む」「グラグラする」でお悩みの方へ
同じ症状でも、原因が「歯」そのものではなく、噛み合わせと補綴設計にあることがあります。
当院では、再治療の前に「なぜ壊れたか」を整理し、体への負担とご予算にも配慮した治療計画をご提案します。
「大きな手術は怖い」「回数を減らしたい」も、遠慮なくご相談ください。
