池袋で「歯の移植(自家歯牙移植)」が再注目されている理由|歯根膜が残る治療という選択肢
「奥歯を失ったらインプラントしかない」と思われがちですが、近年あらためて注目されている治療があります。それが歯の移植(自家歯牙移植)です。
これは、親知らずなどご自身の使っていない歯を、失った歯の場所へ移し替える治療法。実は歴史のある方法ですが、近年はCT・デジタル技術(3Dレプリカ)の発達により、成績を押し上げられる環境が整ってきました。
本記事では、池袋で歯の移植を検討している方に向けて、
- なぜ今、移植が再注目されているのか
- 最大のメリットである「歯根膜(しこんまく)」とは何か
- 長期的リスク(歯根吸収・アンキローシス)とその要因
- リスクを下げる鍵=“口腔外時間”と、CT×3Dレプリカの意義
- 当院が「移植後の予後」を見据えて行う保存治療(根管治療・矯正・再生・セラミック修復)
を、わかりやすく整理します。
歯の移植(自家歯牙移植)とは?
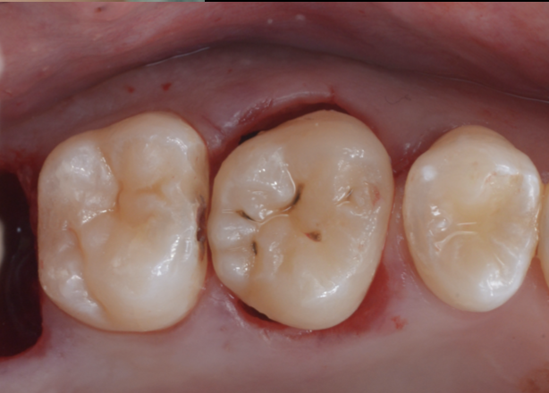
自家歯牙移植とは、同じ患者さんの別の部位の歯(多くは親知らず)を、欠損部位へ移植する治療です。インプラントのように人工物を入れるのではなく、“自分の歯”を使う点が最大の特徴です。
そして移植が持つ決定的な強みが、次で述べる「歯根膜が存在すること」です。
最大のメリット:歯根膜がある=“噛む感覚”と“骨の反応”が自然
歯は骨に直接くっついているわけではなく、歯の根の表面と骨の間に歯根膜という薄い組織が存在します。歯根膜は、単なる“クッション”ではありません。
- 噛む力を受け止めて微調整する(衝撃吸収)
- 噛んだ感覚(固有感覚)を脳へ伝える
- 周囲の骨や歯ぐきと相互に作用し、生理的な適応を起こす
つまり、移植がうまくいけば「自分の歯として機能する」だけでなく、長期的な口腔環境に馴染みやすいという価値があります。
さらに、移植歯は状態により矯正で動かす/根管治療で感染を制御する/歯周組織を整える/セラミック等で形態を回復するといった“保存治療の選択肢”を再び持てる点が、インプラントとは大きく異なります。
インプラントと移植は「優劣」ではなく「適材適所」
インプラントは非常に優れた治療ですが、移植には移植ならではの利点があります。大事なのは、どちらが良いかではなく患者さんの条件に合うかです。
移植が向きやすいケース(代表例)
- 欠損部に対して親知らず等のドナー歯が存在する
- 欠損部の骨量や形態が、移植床として成立しやすい
- 年齢や咬合条件、全身状態、清掃性などを総合して長期管理が見込める
- 「できれば人工物ではなく自分の歯で噛みたい」という希望がある
一方で、ドナー歯がない・形が合わない・移植床の条件が厳しい場合は、インプラントの方が合理的なこともあります。診断がすべてです。
移植の最大の課題:長期的リスク(歯根吸収・アンキローシス)
移植のリスクとして重要なのが、長期的に起こり得る歯根吸収とアンキローシス(癒着)です。
- 歯根吸収:歯の根が徐々に吸収され、歯の寿命に影響する
- アンキローシス:歯根膜が失われ、歯が骨と直接くっつく状態(動きがなくなり、咬合や将来の補綴計画に影響)
これらは、移植が「自分の歯を入れ替えるだけ」の簡単な治療ではなく、歯根膜を守る外科手技であることを意味します。
なぜ起こる?鍵は「歯根膜の損傷」と「口腔外時間」
移植の成否を左右する要素の一つが、移植歯が口の外に出ている時間(口腔外時間/extra-alveolar time)です。歯根膜細胞は乾燥や機械的損傷に弱く、時間が延びれば延びるほどリスクが上がります。
臨床でも「短く、湿潤を保ち、触りすぎない」が原則です。
ここで重要なのが、移植特有の難しさです。
移植する歯根は、インプラントに比べて形が複雑で大きいことが多く、
しっかり適合させるために移植床の形成に時間がかかる
→ 試適回数が増え、歯根膜が傷む
→ 歯根吸収・アンキローシスの確率が上がる
つまり、移植の難しさは「外科的に入れること」ではなく、歯根膜のダメージを最小化しながら“適合させきること”にあります。
リスクを最小化する現代的アプローチ:CT×3Dレプリカ(ドナー歯模型)



近年注目されているのが、CTデータからドナー歯の3Dレプリカ(模型)を作成し、移植床形成・適合を事前に詰めておく方法です。
狙いは明確です。
- 移植床の形成をレプリカで完結させる
- 実歯(ドナー歯)を抜いた後は、最小回数・最短時間でフィットさせる
- 口腔外時間を短縮し、歯根膜への機械的損傷を減らす
「移植床に合わせるために、移植歯を何度も出し入れする」
この一番避けたい状況を、デジタルが解決し得る——それが、移植が再注目される大きな理由です。
当院が伝えたいこと:移植は“ゴール”ではなく、歯を残す治療の再スタート
移植が成功すると、その歯はシンプルに“自分の歯”です。
そして自分の歯である以上、将来的に必要となり得る治療も、インプラントとは違う選択肢が取れます。
当院は「歯を残す治療」を得意領域として、移植を単独の処置で終わらせないことを大切にしています。移植が成功した後こそ、本当の意味での“長期予後づくり”が始まります。
移植後に「また歯を守れる」ことが大きい
移植歯は、状態に応じて以下のような保存治療と連携できます。
1)精密根管治療(感染を徹底コントロール)
歯の寿命を短くする最大要因の一つは「感染」です。
移植後の歯が長持ちするかどうかは、必要に応じて根管治療で感染源を確実に制御できるかが重要になります。
2)矯正治療(負担の偏りを減らす)
移植歯を「噛める状態」にするだけでは不十分なことがあります。
噛み合わせの偏りや、清掃性が悪い位置にあると、炎症や過負荷の原因になります。必要に応じて矯正で位置を整えることは、長期安定に直結します。
3)歯周治療・再生療法(支持組織の環境を整える)
歯を支える骨や歯ぐきの状態が悪いと、どんな治療も長持ちしません。
移植歯の周囲組織を「炎症が起きにくい状態」に整えることが、長期予後の土台になります。
4)セラミック修復(形態・適合・清掃性を最適化)
移植歯は、形が欠損部位に完全一致するとは限りません。
そのため最終的に噛み合わせ・歯の形・清掃性を整える補綴設計が重要です。セラミック等で適合と形態を追い込むことで、歯周環境や咬合負担を改善できます。
治療の流れ(一般的なイメージ)
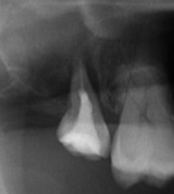
1)精密診断(CT)
ドナー歯(親知らず等)の形態、根の湾曲、欠損部の骨量・形態を評価し、移植が成立する条件かを判断します。
2)治療計画(ゴール設定)
移植の可否だけでなく、
「術後に根管治療が必要か」「固定はどうするか」「最終的にどんな被せ物で仕上げるか」
まで含めて設計します。
3)必要に応じて3Dレプリカ作成
移植床形成の精度とスピードを上げるために、症例によりデジタルを活用します。
4)移植床形成 → ドナー歯抜歯 → 移植
口腔外時間や試適回数を最小化し、歯根膜ダメージを抑えることを最優先に進めます。
5)固定・咬合調整・経過観察
初期治癒を安定させ、必要なら追加治療(根管治療、最終補綴、歯周管理)へ。
よくある質問(池袋で相談される方へ)
Q1. 親知らずがあれば誰でも移植できますか?
親知らずがあっても、根の形・サイズ・位置、欠損部の骨形態、咬合条件で適応は変わります。CTで精密に評価した上で判断します。
Q2. 移植はインプラントより長持ちしますか?
一概に比較はできません。移植は歯根膜を守れるかが鍵で、条件が整えば良好に経過する可能性があります。一方で長期リスク(歯根吸収・アンキローシス)の管理が必要です。
Q3. 移植後も治療は続きますか?
状態により根管治療、補綴(被せ物)、咬合調整、歯周管理が必要です。移植はゴールではなく、長期予後へ向けたスタートと考えてください。
まとめ|池袋で「インプラント以外」も含めて検討したい方へ
自家歯牙移植は、
- 歯根膜が残る可能性があり
- 成功すれば自分の歯として噛める
- さらに、根管治療・矯正・再生・セラミック修復など歯を残す治療の引き出しを再び使える
という独自の価値があります。
一方で、歯根吸収・アンキローシスなどの長期リスクを下げるには、
口腔外時間の短縮と試適回数の最小化、すなわち「歯根膜を守る設計」が重要です。
近年はCT×3Dレプリカなどのデジタル技術により、その弱点を補えるようになってきました。
池袋で「抜歯と言われた」「インプラント以外も知りたい」「親知らずを活かしたい」という方は、まずは精密診断からご相談ください。
参考文献
- Andreasen JO, Hjorting-Hansen E. Replantation of teeth. I. Radiographic and clinical study of 110 human teeth replanted after accidental loss. Acta Odontol Scand. 1966.
- Andreasen JO. Effect of extra-alveolar period and storage media upon periodontal and pulpal healing after replantation of mature permanent incisors in monkeys. Int J Oral Surg. 1981.
- Verweij JP, et al. Autotransplantation with a 3D-printed replica of the donor tooth minimizes extra-alveolar time and intraoperative fitting attempts: a multicenter prospective study.(※多施設前向き研究/3Dレプリカ活用の臨床報告)
- Tsukiboshi M. Autotransplantation of Teeth: Requirements for Predictable Success. Dent Traumatol / Quintessence関連(自家歯牙移植の成功要件に関する総説・成書)
- Tang C, et al. Autotransplantation of teeth: a systematic review and meta-analysis.(自家歯牙移植の生存率・成功率を扱うシステマティックレビュー)
