【池袋】クラウン・
被せ物治療で
後悔しないために
大切なこと
被せ物治療での
患者様の声
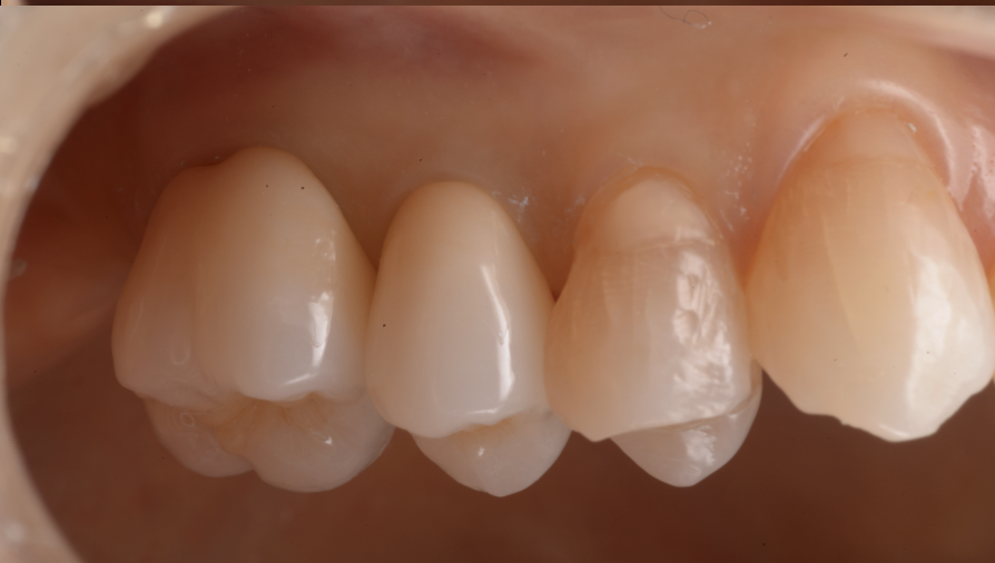
治療前後比較
治療前

治療後

「クラウン(被せ物)の治療をしたいけど不安…」
そんな声をよく耳にします。実際にインターネットで検索されている内容を見ると、
- 天然歯は、単純な「白」ではなく、透明感・グラデーション・光の透過性が複雑に混ざり合っている
- 1本だけ仕上げる場合、わずかな色調の違いでも目立ってしまう
- 前歯は会話や笑顔で最も人目につきやすい部位
といった疑問が多いようです。
今回は池袋のグランドメゾンデンタルクリニックが大切にしている“クラウン治療のこだわり”をご紹介します。
1. 歯を守るために
「必要最低限の形成」
クラウンを入れるには歯を削る必要があります。
しかし、削りすぎると歯の寿命を縮めてしまうことがあります。
当院では 歯の構造を理解した上で、必要最低限の削合で支台歯形成 を行います。
実際に患者様が治療途中で支台歯(クラウンの土台の歯)をご覧になると、「思ったより削ってない!」と驚かれることも少なくありません。
それは、歯を可能な限り残すことを第一に考えているからです。
2. 歯ぐきとの調和を
重視したクラウン
クラウンが合っていないと、歯ぐきとの境目が黒ずんで見えたり、炎症が起きて腫れやすくなったりします。
当院では 歯肉との調和を大切にした精密な形成・適合の高い被せ物 を提供しています。
歯ぐきに優しい仕上がりは、見た目の美しさだけでなく、長期的な健康にもつながります。
3. 自然で美しい仕上がり
セラミック素材を活用することで、透明感のある自然な色合いを再現できます。
周囲の歯に合わせた色調を調整し、「被せ物だと気づかれない」自然な笑顔を目指します。
このような方に
おすすめです
- 池袋で「できるだけ削らずにクラウン治療を受けたい」方
- 「歯ぐきが黒くならないセラミックにしたい」方
- 「自然で長持ちする被せ物を探している」方
当院では、見た目の美しさと歯の寿命の両立を目指した治療を行っています。
まとめ
クラウンや被せ物の治療は、見た目の美しさはもちろん、削る量や歯ぐきとの調和といった“見えない部分”もとても大切です。
池袋でクラウン治療をご検討の方は、ぜひ一度ご相談ください。
あなたの歯をできるだけ長く守りながら、美しい仕上がりを実現するお手伝いをいたします。
