医院ブログ
歯ぎしりで犬歯や前歯が削れてしまった方へ ― マウスピースだけではない包括的治療
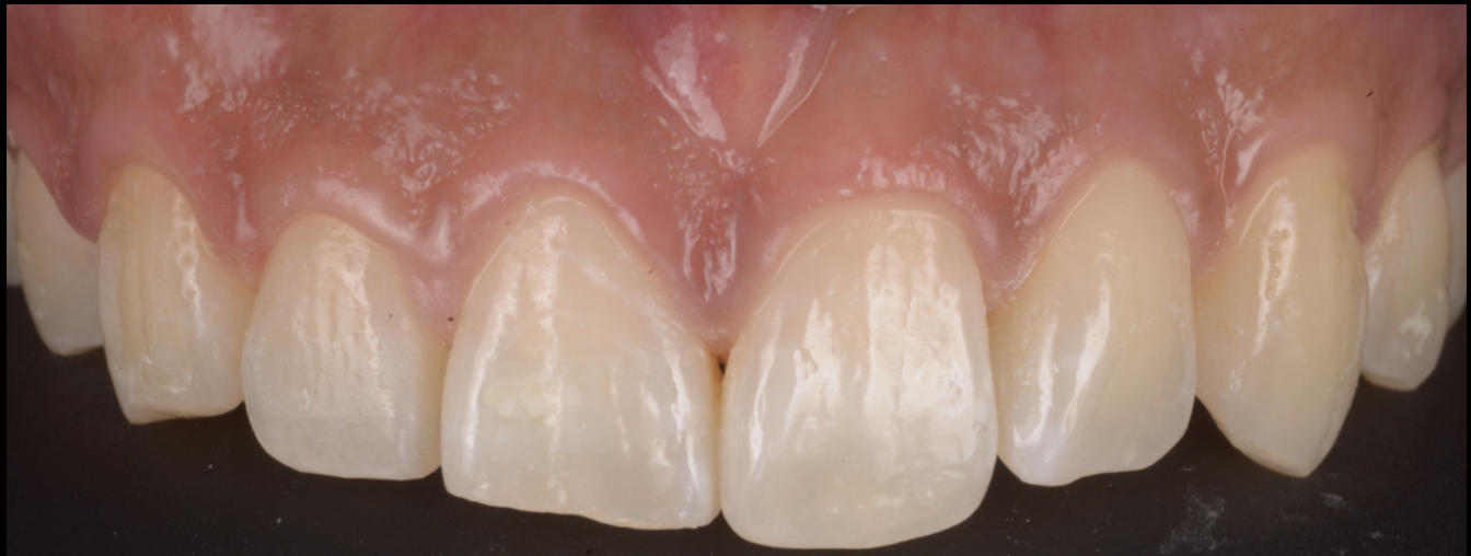
- 治療前

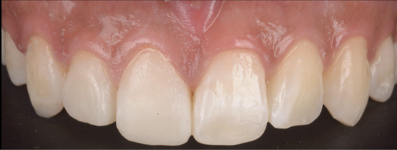
- 治療後

歯ぎしりが引き起こす有害な影響とは?
「犬歯が丸くなってきた」「前歯の先が短くなった」「噛んだときに違和感がある」――
こうした症状の背景には、歯ぎしり(ブラキシズム)が隠れていることが多くあります。
歯ぎしりは、寝ている間に無意識に行われるため本人が気づきにくい習癖です。しかし、実際には強い力で歯と歯が擦れ合い、次のようなリスクを引き起こします。
-
犬歯・前歯の摩耗
-
歯の亀裂や破折
-
詰め物・被せ物の脱離
-
顎関節症
-
噛み合わせ全体の崩壊
特に犬歯は「犬歯誘導」と呼ばれる噛み合わせの要を担う歯であり、ここが削れてしまうと奥歯や前歯に過剰な負担がかかり、口腔全体のバランスが崩れてしまいます。
マウスピースだけでは守れない場合も
歯ぎしり治療でまず推奨されるのは**ナイトガード(マウスピース)**です。
寝ている間に装着することで、歯同士が直接ぶつかるのを防ぎ、力を分散させます。
しかし、すでに削れてしまった歯はマウスピースでは元に戻りません。
-
前歯の高さが失われ、老けた印象になる
-
咬耗面からさらに割れやすくなる
-
審美性の問題(見た目)が改善されない
そのため、「力を防ぐ」マウスピース+「削れた部分を修復する」治療の両輪が必要になります。
当院が行う包括的な治療
① マウスピース(ナイトガード)
-
寝ている間の強い噛みしめ・歯ぎしりをコントロール
-
歯や顎関節を守る一次予防
② ダイレクトボンディング
-
削れた部分が小さい場合に有効
-
レジン(高品質な樹脂)を直接積層し、失われた形態を回復
-
ほとんど削らず、即日修復が可能
-
天然歯と調和する自然な色調
③ セラミック修復
-
摩耗が広範囲の場合に適応
-
強度が高く、長期的に安定
-
透明感や光沢が天然歯に近く、審美性も優れる
-
奥歯の咬耗や前歯の大きな欠損にも対応
症例紹介 ― 歯ぎしりで前歯まで摩耗したケース
今回の患者さまは、強い歯ぎしりにより犬歯から前歯にかけて摩耗が進行していました。
-
治療前(上写真):犬歯の先端が削れ、前歯のエナメル質も失われている。見た目も老けた印象に。
-
治療後(下写真):ダイレクトボンディングにより、自然な形態を回復。審美性と噛み合わせの機能が改善。
このように、適切な材料と技術を組み合わせることで、歯の寿命を延ばしつつ、自然な見た目を取り戻すことが可能です。
放置することのリスク
歯ぎしりを「ただの癖」と思って放置すると、次のような悪影響が広がります。
-
歯のさらなる摩耗・破折
-
知覚過敏の悪化
-
顎関節へのダメージ
-
噛み合わせの崩壊による全体的な治療の必要性
つまり、早期に介入することで将来的な大規模治療を防ぐことにつながります。
まとめ
歯ぎしりは、歯と顎に長期的なダメージを与える有害な習癖です。
当院では、マウスピースによる予防+ダイレクトボンディングやセラミック修復による審美的・機能的改善を組み合わせた包括的な治療を行っています。
「犬歯や前歯が削れてきた」「マウスピースだけでは不安」という方は、ぜひ池袋【グランドメゾンデンタルクリニック】にご相談ください。
歯を守りながら、美しい笑顔を長期的に維持できるサポートをいたします。
池袋の歯医者 グランドメゾンデンタルクリニック
グランドメゾンデンタルクリニック
〒171-0014
東京都豊島区池袋2丁目60−6 グランドメゾン池袋一番館103
池袋駅西口C6出口 徒歩5分
平日 10:00~14:00 / 15:30~19:30
休診日 祝日