症例
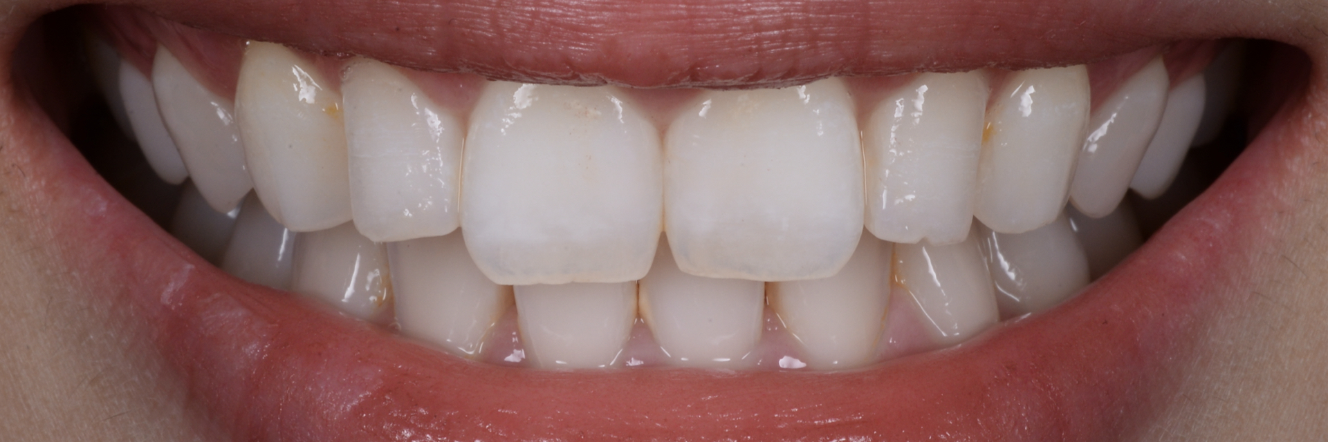
【担当医:荻原太郎】ガミースマイルを改善する(歯肉整形)
- 治療前

- 治療後

| 主訴 | 笑った時歯茎が見えるのが恥ずかしい。物心ついた時から気になっていた。この際治したい。 |
|---|---|
| 治療内容 | クラウンレングスニングという特殊な手法で歯茎の長さを変えます。 痛みはほとんど出ません。 |
| 患者様の年齢 | 20代 |
| 患者様の性別 | 女性 |
| 治療期間 | 1日 |
| 治療費 | 75000円〜 |
| 治療で得られるメリット | 審美性を獲得できる。 自信を持ったスマイル。 |
| 治療する際に起こる リスク・副作用 |
知覚過敏 |
池袋の歯医者 グランドメゾンデンタルクリニック
グランドメゾンデンタルクリニック
〒171-0014
東京都豊島区池袋2丁目60−6 グランドメゾン池袋一番館103
池袋駅西口C6出口 徒歩5分
平日 10:00~14:00 / 15:30~19:30
休診日 祝日