症例
【担当医:荻原太郎】矯正治療によって生じた審美障害に対してラミネートベニヤを用いて改善したケース
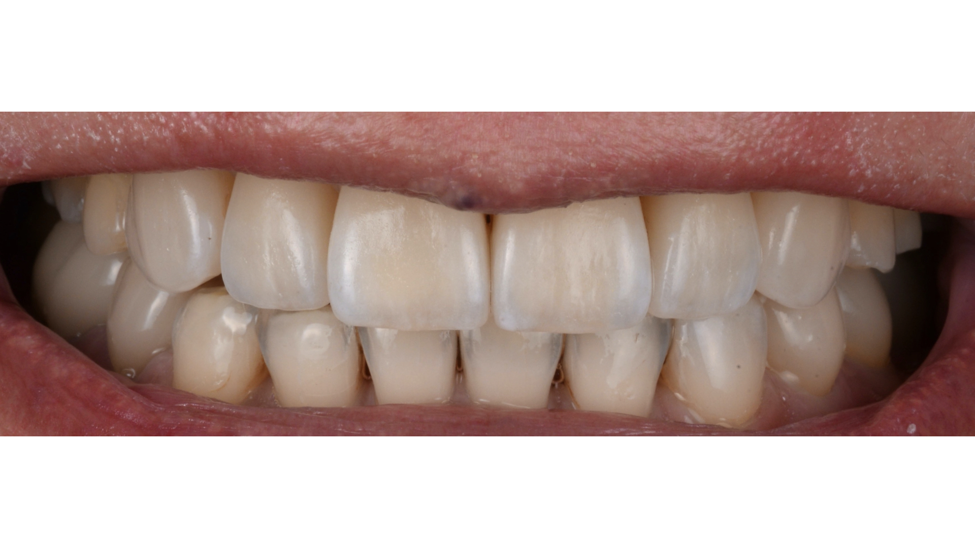
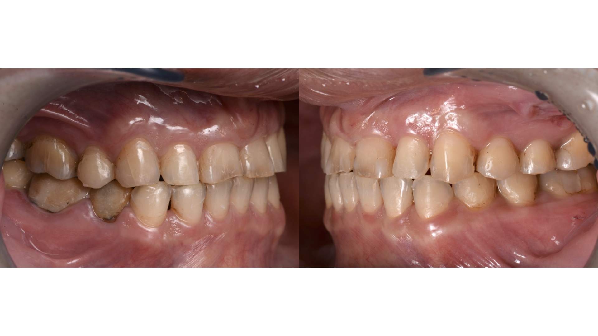
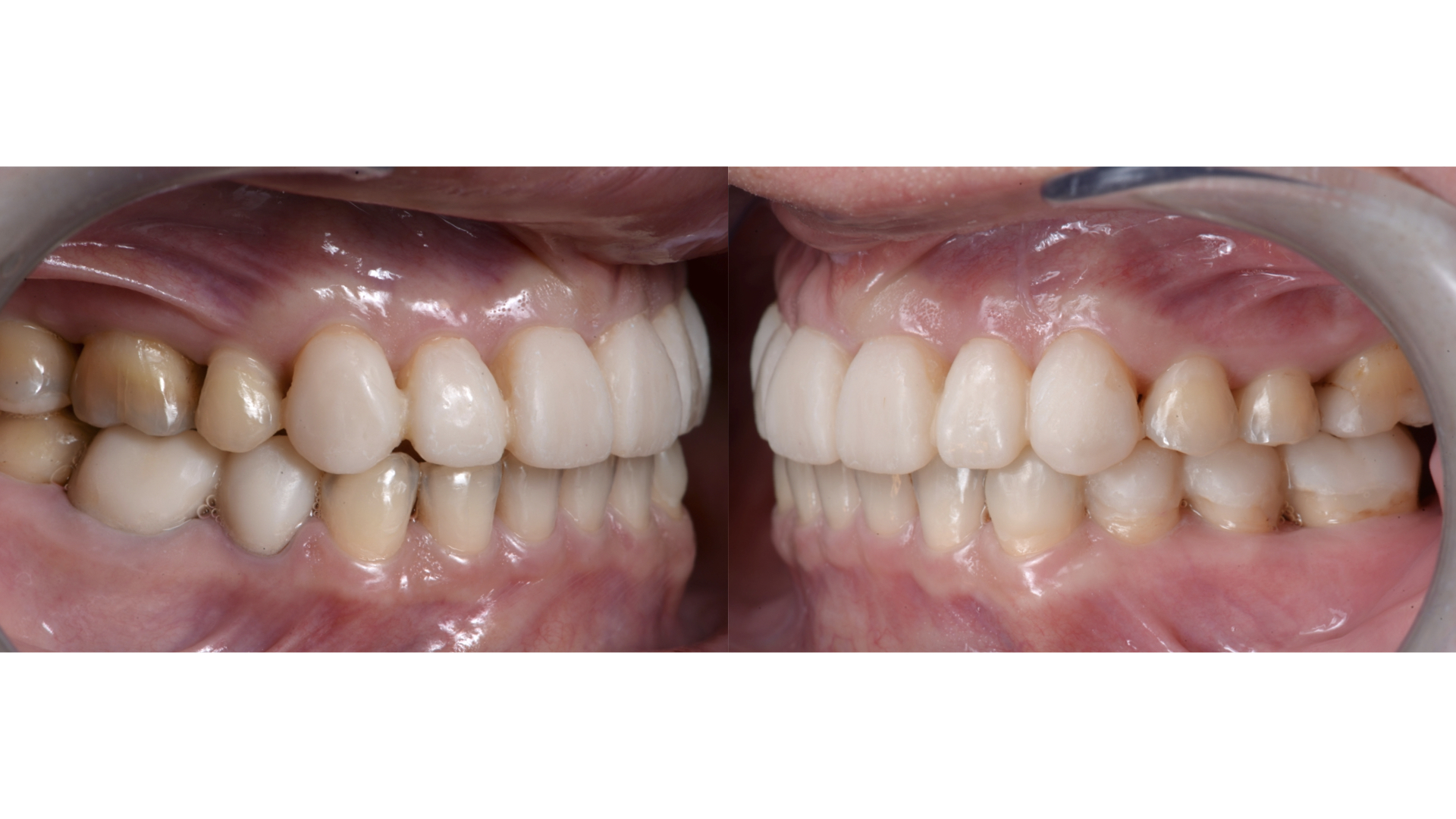
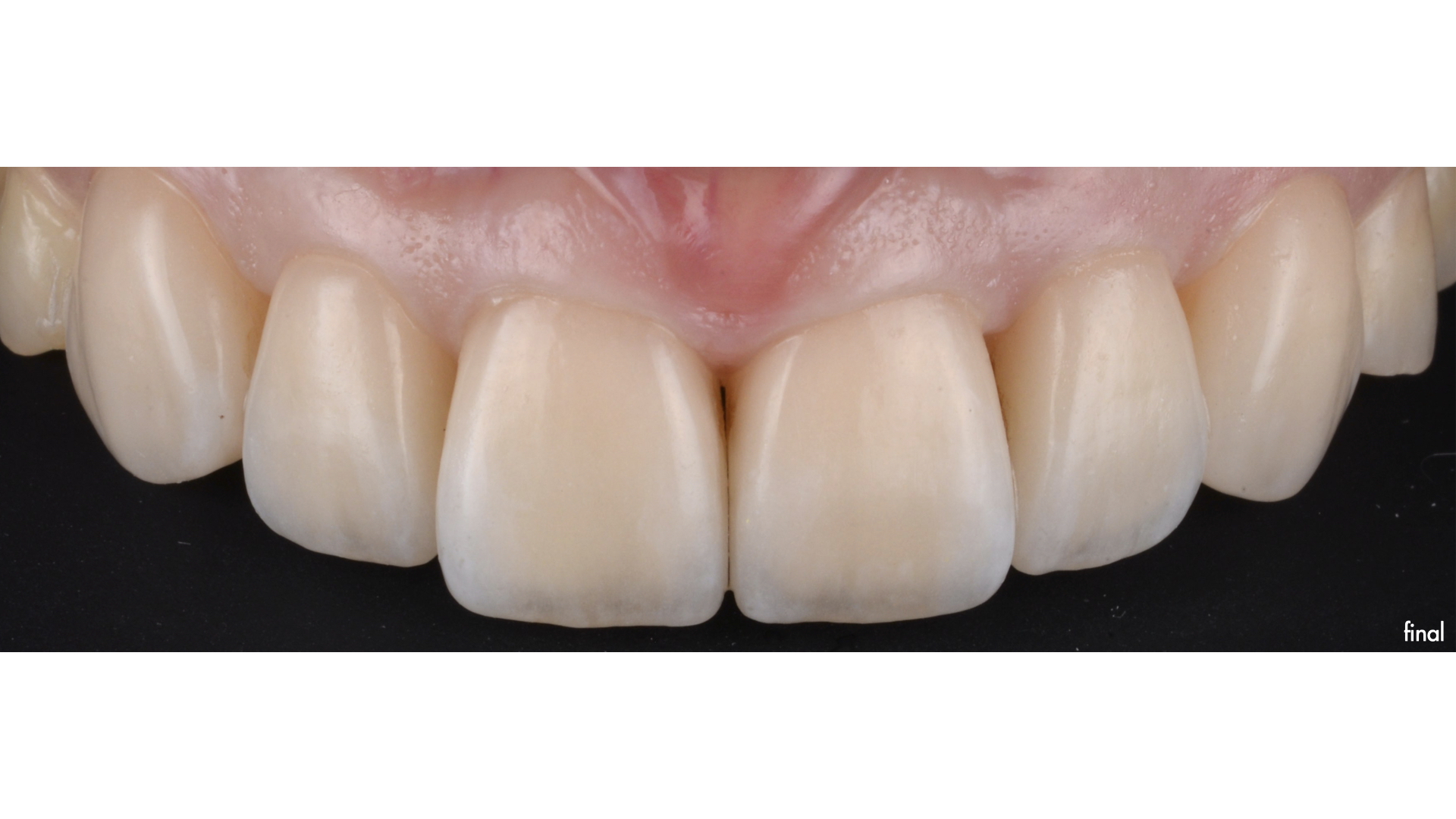
- 治療前

- 治療後

| 主訴 | 7年間続いた矯正治療の結果、スマイル時に前歯が見えなくなってしまいった。失ったスマイルを取り戻したい。 |
|---|---|
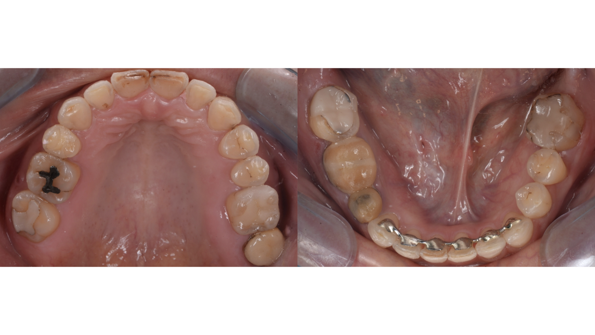
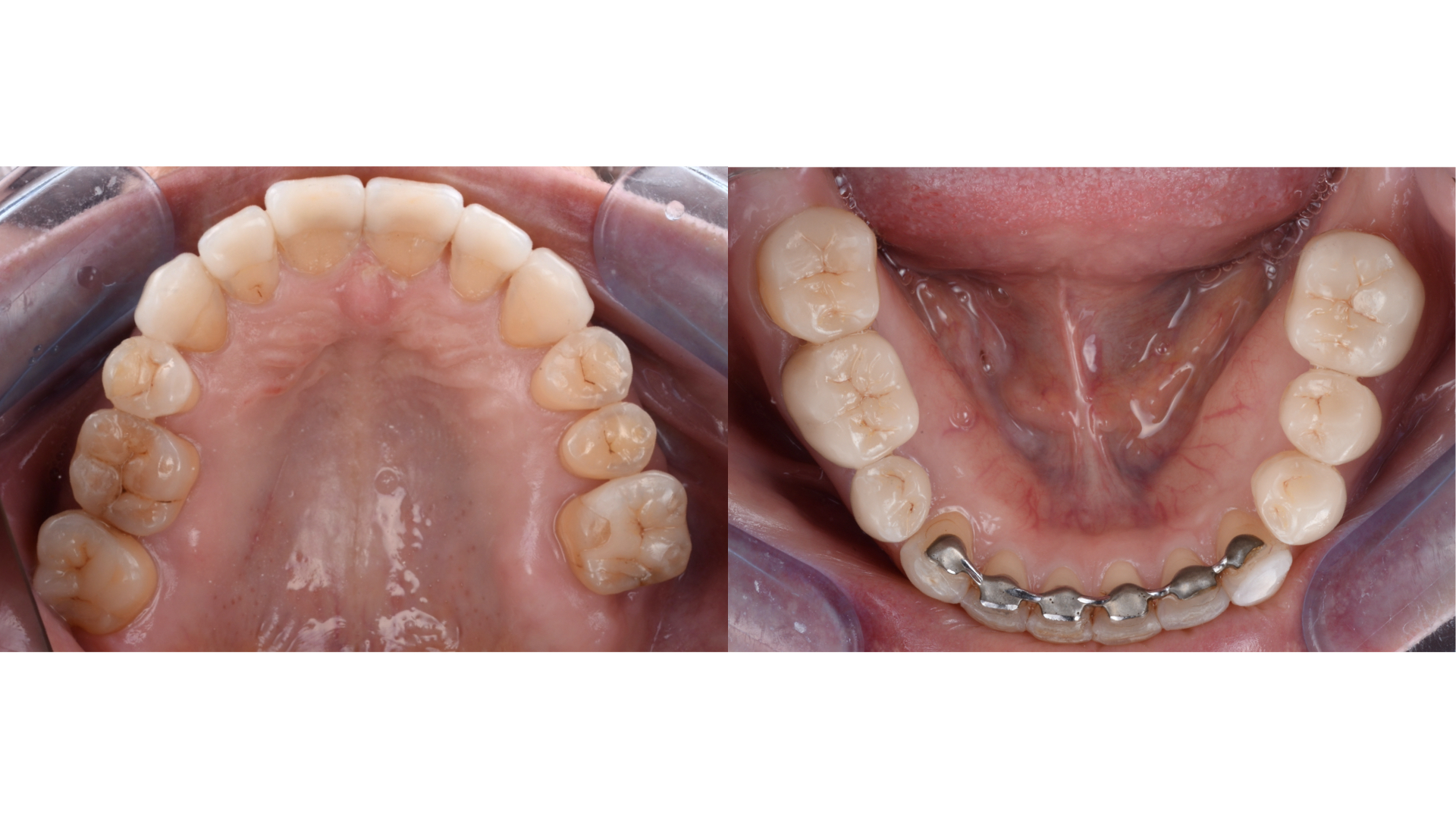
| 治療内容 | さまざまな分析をした結果、矯正治療により噛み合わせが低下、前歯が後ろに引っ込んでしまったということがわかりました。 したがいまして、元の状況に戻すべく噛み合わせを挙上し、前歯の長さを平均的な長さに改善する治療方針を立案しました。 一定のプロビジョナルレストレーション期間を経て、ファイナルレストレーション(前歯はポーセレンラミネートベニア、奥歯はクラウン、アンレー)へと移行しました。 |
| 患者様の年齢 | 50代 |
| 患者様の性別 | 女性 |
| 治療期間 | 6ヶ月 |
| 治療費 | 約250万円 |
| 治療で得られるメリット | 審美性の獲得 安定した噛み合わせ |

患者のプロファイルから、修復物補綴物のデザインを決定、
模型上でwax upというモデルを専門の技工士が作成し
そのwax upの形態を口腔内に投影していきます。
この被せ物や修復物はプロビジョナルレストレーションという最終的な被せ物と同形態をした修復物です。


機能的な問題や審美的な不満がないことをここで確認して問題なければ最終的なセラミックに移行していきます。


このようにラバーダム防湿というテクニックを用いて最終修復物(ラミネートベニヤ、アンレー)を装着していきます。



今回のラミネートベニアはほとんど切削処置を伴わない方法(ノンプレップベニア)で行っております。


池袋の歯医者 グランドメゾンデンタルクリニック
グランドメゾンデンタルクリニック
〒171-0014
東京都豊島区池袋2丁目60−6 グランドメゾン池袋一番館103
池袋駅西口C6出口 徒歩5分
平日 10:00~14:00 / 15:30~19:30
休診日 祝日