症例
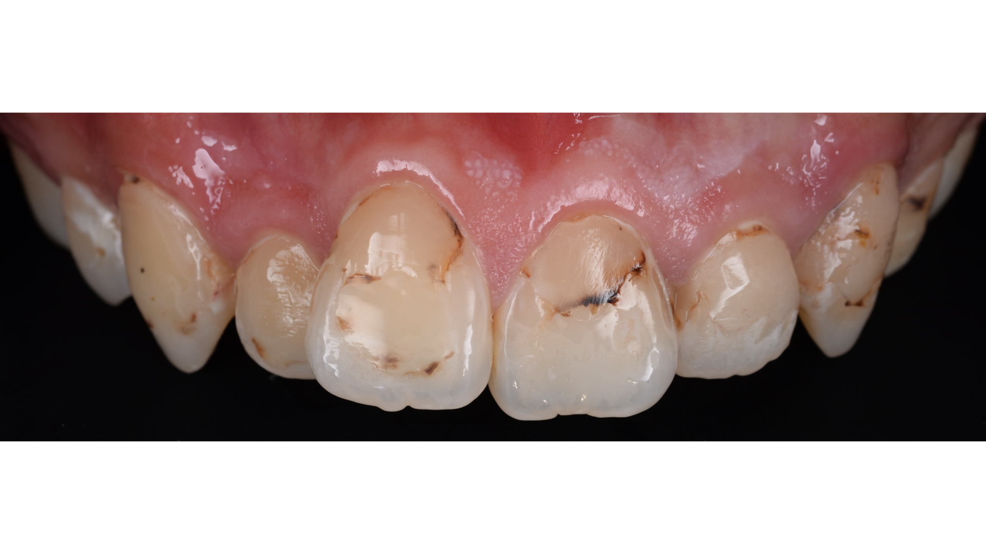
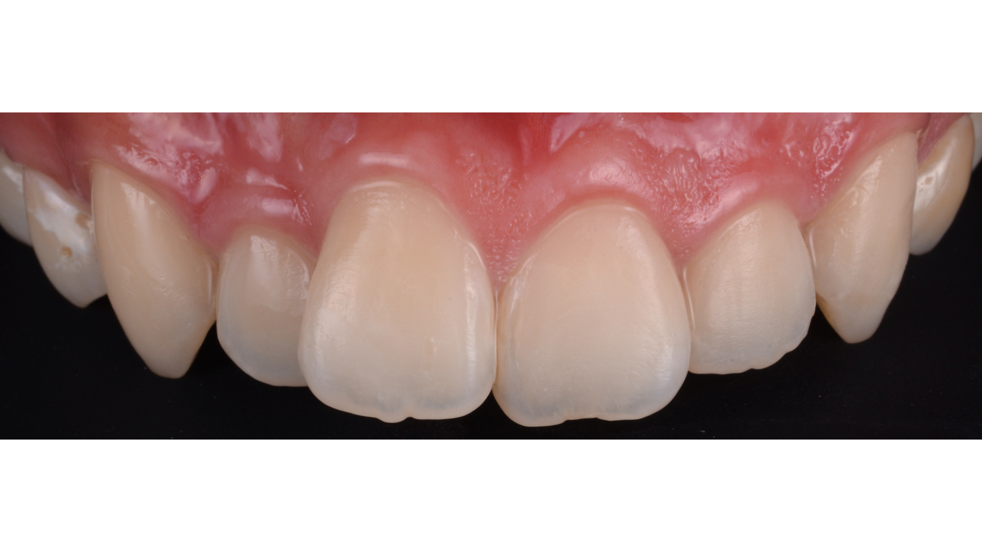
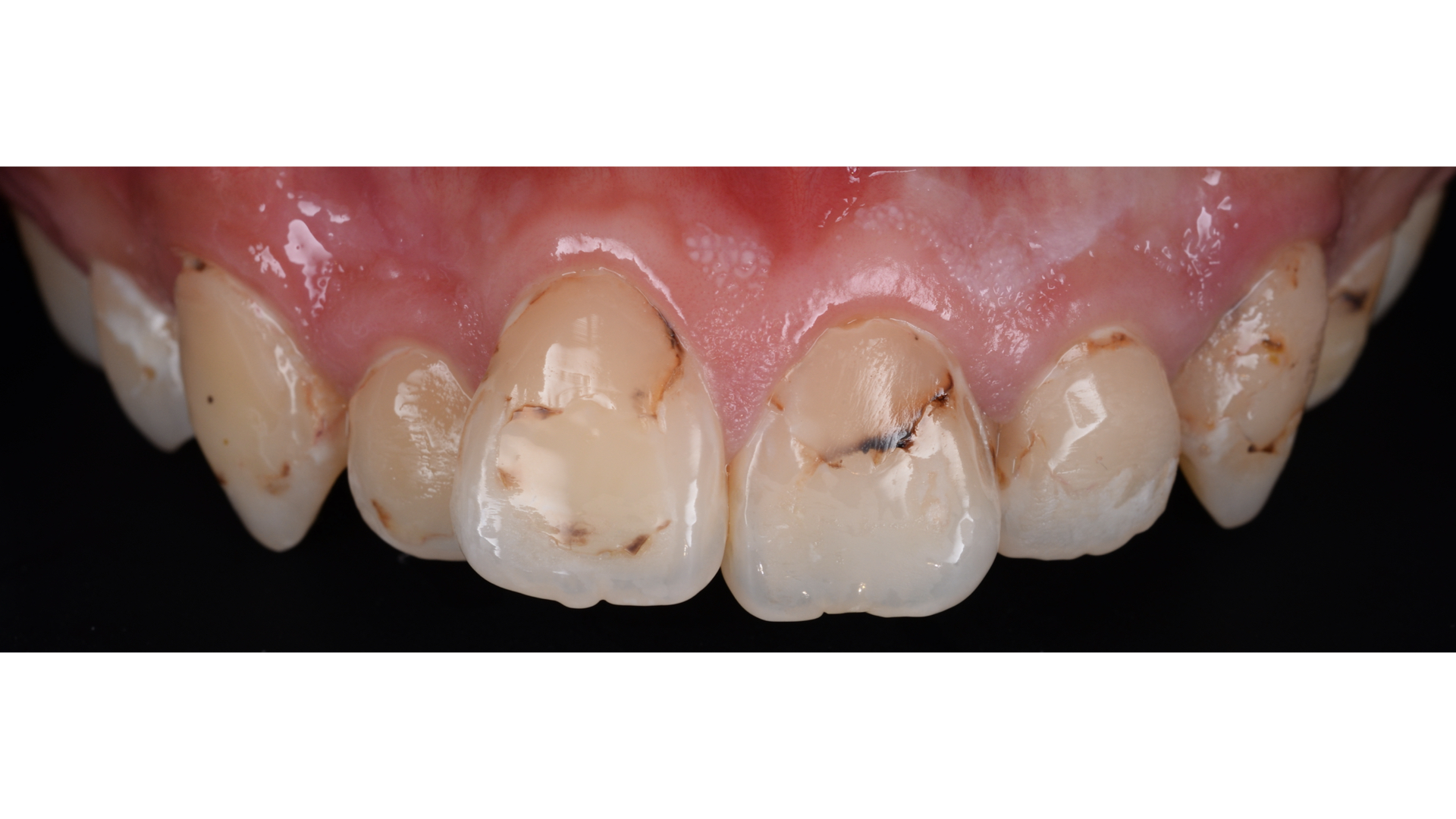
【担当医:荻原太郎】黒くなった前歯をダイレクトボンディングで修復したケース
- 治療前

- 治療後

| 主訴 | 保険治療で虫歯の治療をしたところが黒ずんできてしまった。 綺麗に治したい。
|
|---|---|
| 治療内容 | ダイレクトボンディングという特殊なやり方で修復しました。 |
| 患者様の年齢 | 10代 |
| 患者様の性別 | 男性 |
| 治療期間 | 1-2日 |
| 治療費 | 3万〜/箇所 |
| 治療で得られるメリット | 審美性 機能性 |
| 治療する際に起こる リスク・副作用 |
知覚過敏 |
池袋の歯医者 グランドメゾンデンタルクリニック
グランドメゾンデンタルクリニック
〒171-0014
東京都豊島区池袋2丁目60−6 グランドメゾン池袋一番館103
池袋駅西口C6出口 徒歩5分
平日 10:00~14:00 / 15:30~19:30
休診日 祝日