症例
【担当医:荻原太郎】出っ歯の患者様のセラミック治療
- 治療前

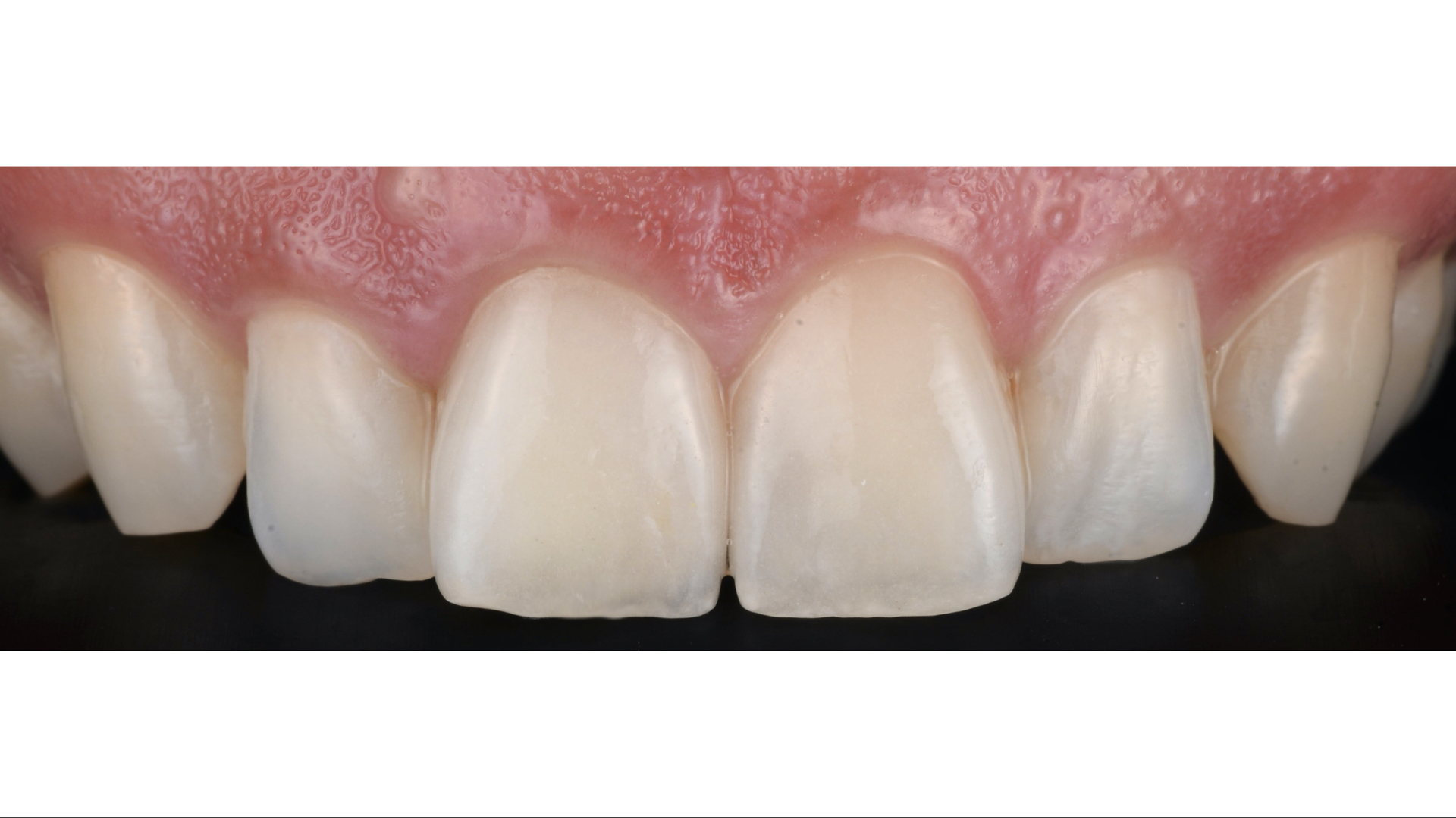
- 治療後

最も美しく仕上げるためには、矯正をすることで前歯を後方に移動させたのちにセラミック処置を行うという方法でしたが、患者さんは矯正を望まれませんでした。
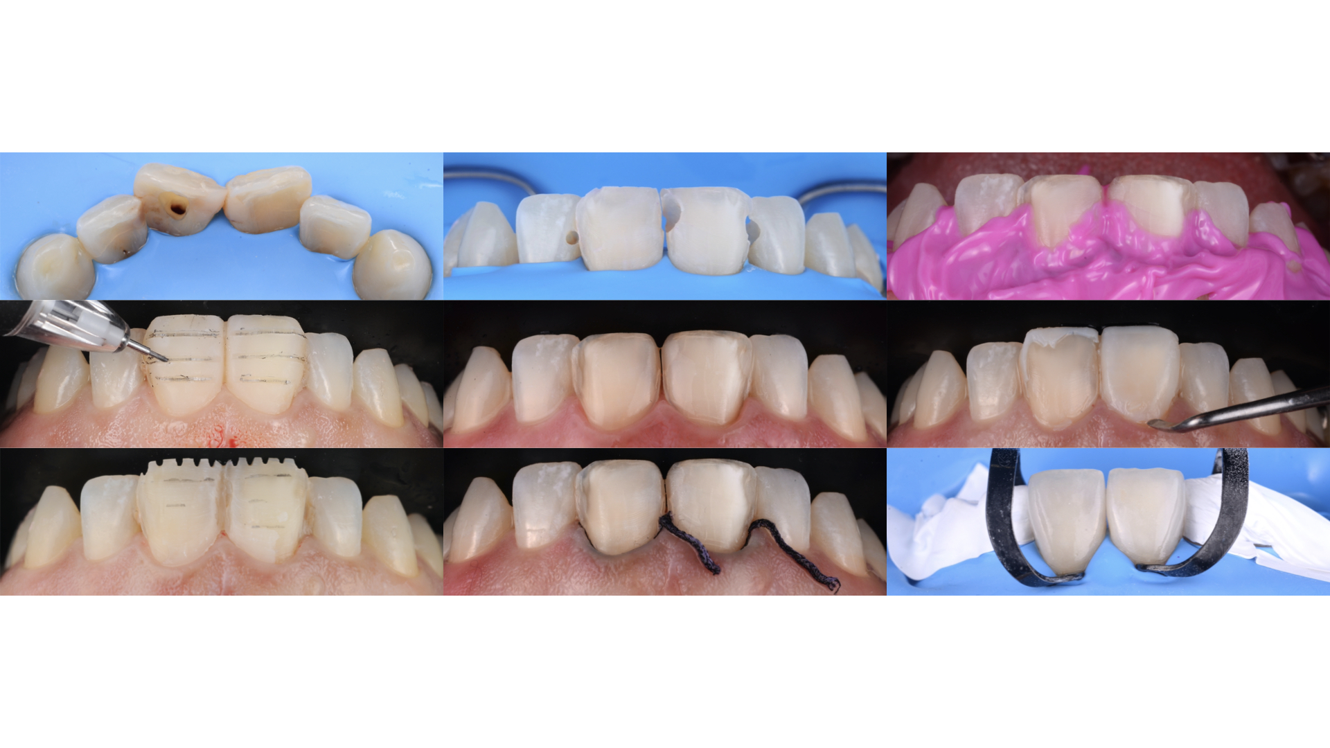
したがって少ない切削量で行うラミネートベニアという方法を選択致しました。
右上の1番目の歯は怪我により神経が壊死しており根管治療を行いホワイトニングも行っております。
| 主訴 | ハの字になっている歯をきれいにしたい。 |
|---|---|
| 治療内容 | 患者様と相談の結果、前歯2本をセラミック治療(ラミネートベニア)をすることになりました。 |
| 患者様の年齢 | 30代 |
| 患者様の性別 | 男性 |
| 治療期間 | 4ヶ月 |
| 治療費 | 13万円〜/本 |
| 治療で得られるメリット | 審美性 |
| 治療する際に起こる リスク・副作用 |
知覚過敏 セラミックのチップ |

ラミネートベニアを美しく仕上げるためには歯科医師と歯科技工士の審美感が非常に重要になります。
そしてそれを成功させるための治療テクニックも当然必要になってきます。
単にセラミック治療といっても高い審美性と長期性を得るためにはさまざまな技術が必要となります。

池袋の歯医者 グランドメゾンデンタルクリニック
グランドメゾンデンタルクリニック
〒171-0014
東京都豊島区池袋2丁目60−6 グランドメゾン池袋一番館103
池袋駅西口C6出口 徒歩5分
平日 10:00~14:00 / 15:30~19:30
休診日 祝日