症例
【担当医:荻原太郎】重度の歯周病患者の審美治療
- 治療前

- 治療後

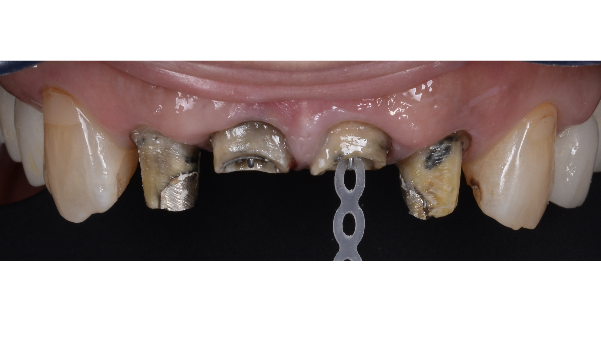
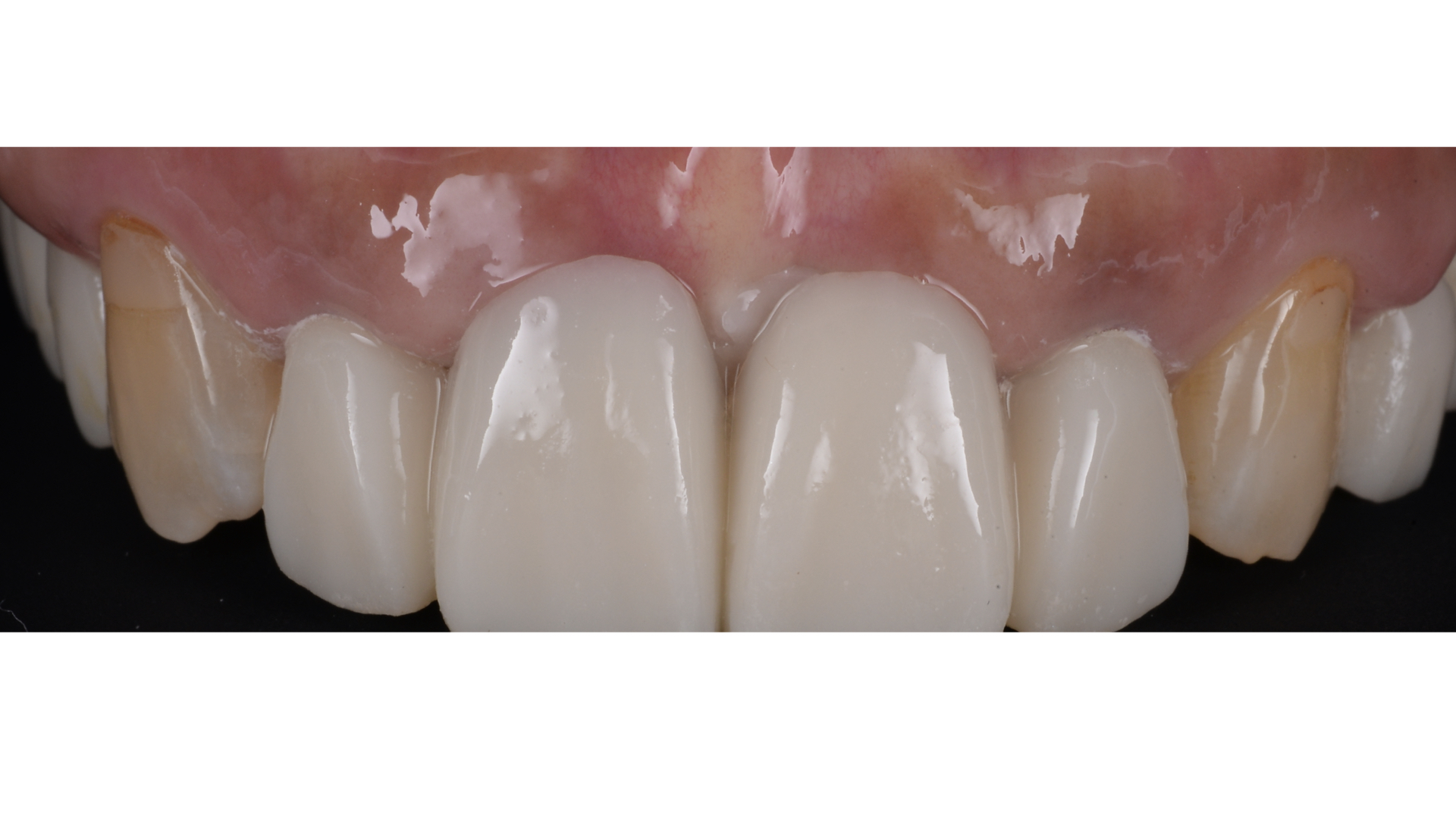
歯周病患者の審美治療は一般的に非常に難易度が高いと言われております。しかしさまざまな手法を使うことによって審美性を獲得することができます。
| 主訴 | 歯が揺れて物が噛めない |
|---|---|
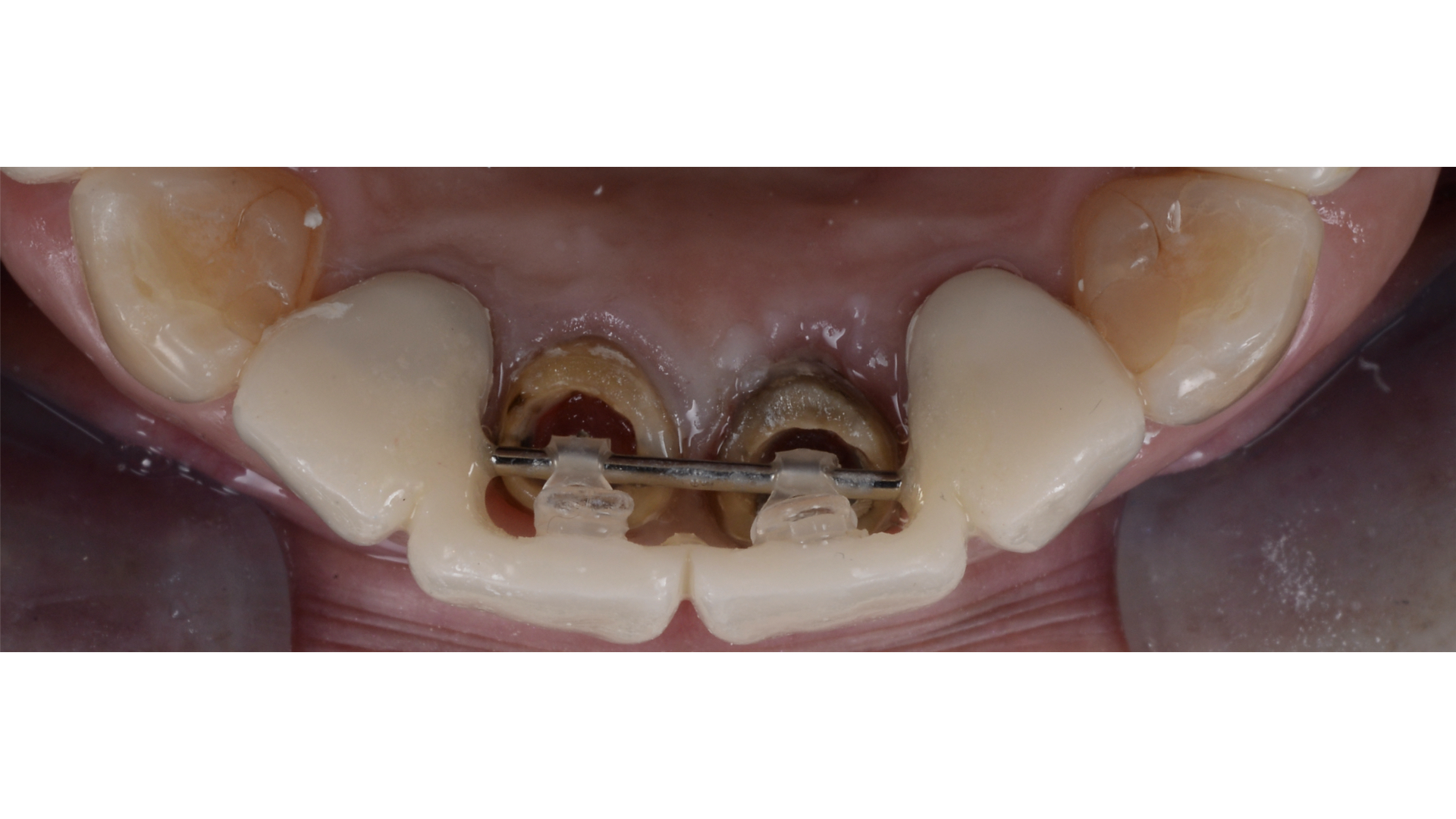
| 治療内容 | エクストルージョンという手法を用いて歯肉のレベルを高くし、抜歯が必要なところは骨レベルが落ちないように歯槽堤保存術(リッジプリザベーション)をおこなっております。 |
| 患者様の年齢 | 60代 |
| 患者様の性別 | 女性 |
| 治療期間 | 9ヶ月 |
| 治療費 | 約90万円 |
| 治療で得られるメリット | 審美性 物が噛みちぎれる |
| 治療する際に起こる リスク・副作用 |
セラミックのチップ |

歯を上に引き上げます
審美性を損なわないように仮歯も装着します


歯に穴がしてしまっていた歯はこのように抜歯をし、骨が痩せないように補填剤を入れます。


粘膜が治癒した後、型取りへ移行します

池袋の歯医者 グランドメゾンデンタルクリニック
グランドメゾンデンタルクリニック
〒171-0014
東京都豊島区池袋2丁目60−6 グランドメゾン池袋一番館103
池袋駅西口C6出口 徒歩5分
平日 10:00~14:00 / 15:30~19:30
休診日 祝日