症例
【担当医:荻原太郎】すきっ歯
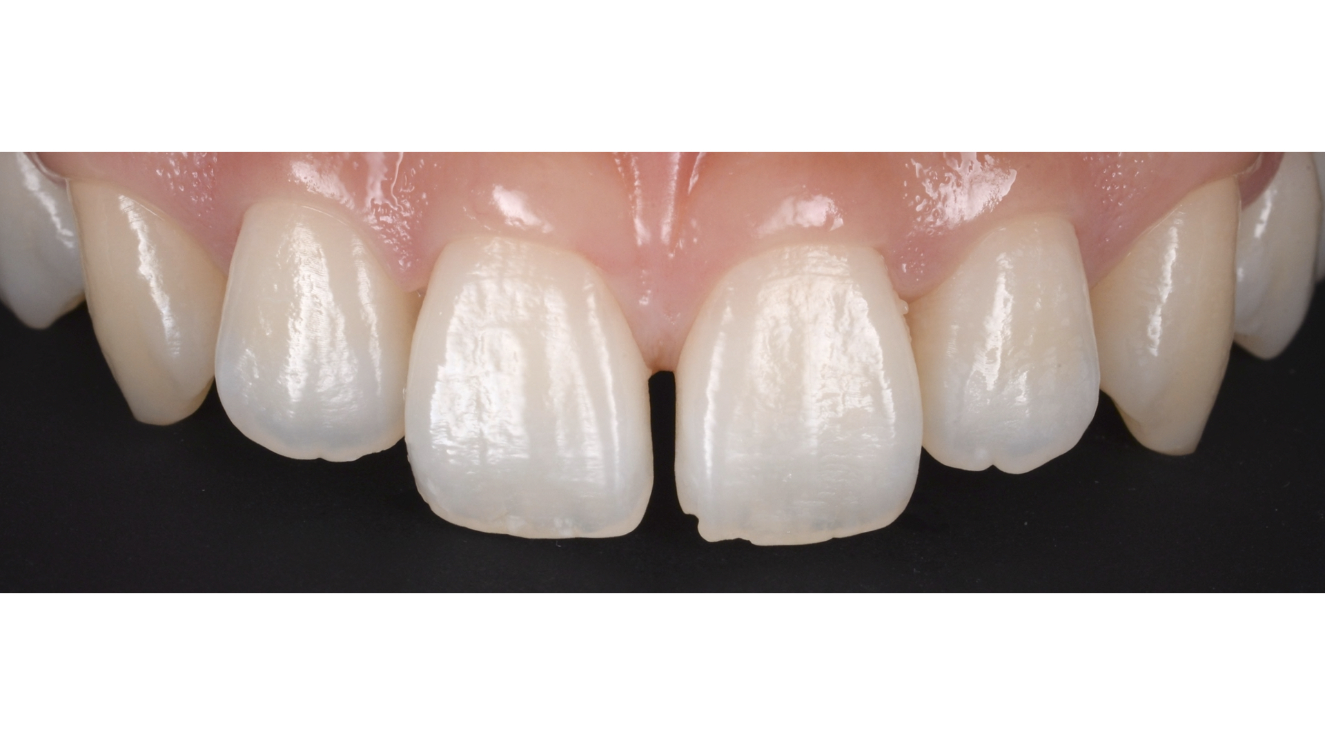
- 治療前

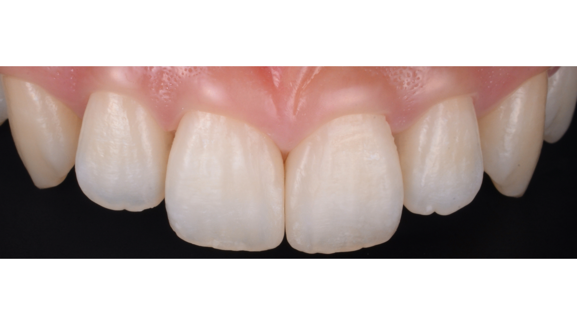
- 治療後

| 主訴 | すきっ歯の見た目が気になる |
|---|---|
| 治療内容 | ダイレクトレストレーションによって修復 |
| 患者様の年齢 | 30代 |
| 患者様の性別 | 男性 |
| 治療期間 | 一回 |
| 治療費 | 五万〜 |
| 治療で得られるメリット | 審美性 |
池袋の歯医者 グランドメゾンデンタルクリニック
グランドメゾンデンタルクリニック
〒171-0014
東京都豊島区池袋2丁目60−6 グランドメゾン池袋一番館103
池袋駅西口C6出口 徒歩5分
平日 10:00~14:00 / 15:30~19:30
休診日 祝日