症例
【担当医:荻原太郎】奥歯の虫歯治療 ダイレクトボンディング
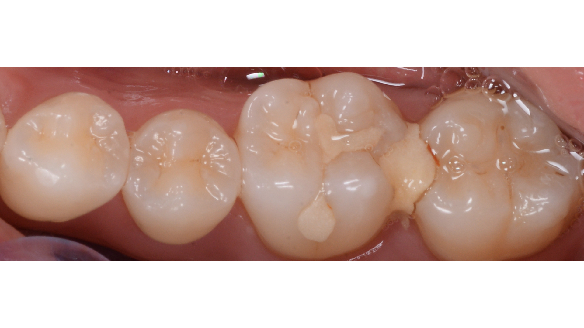
- 治療前

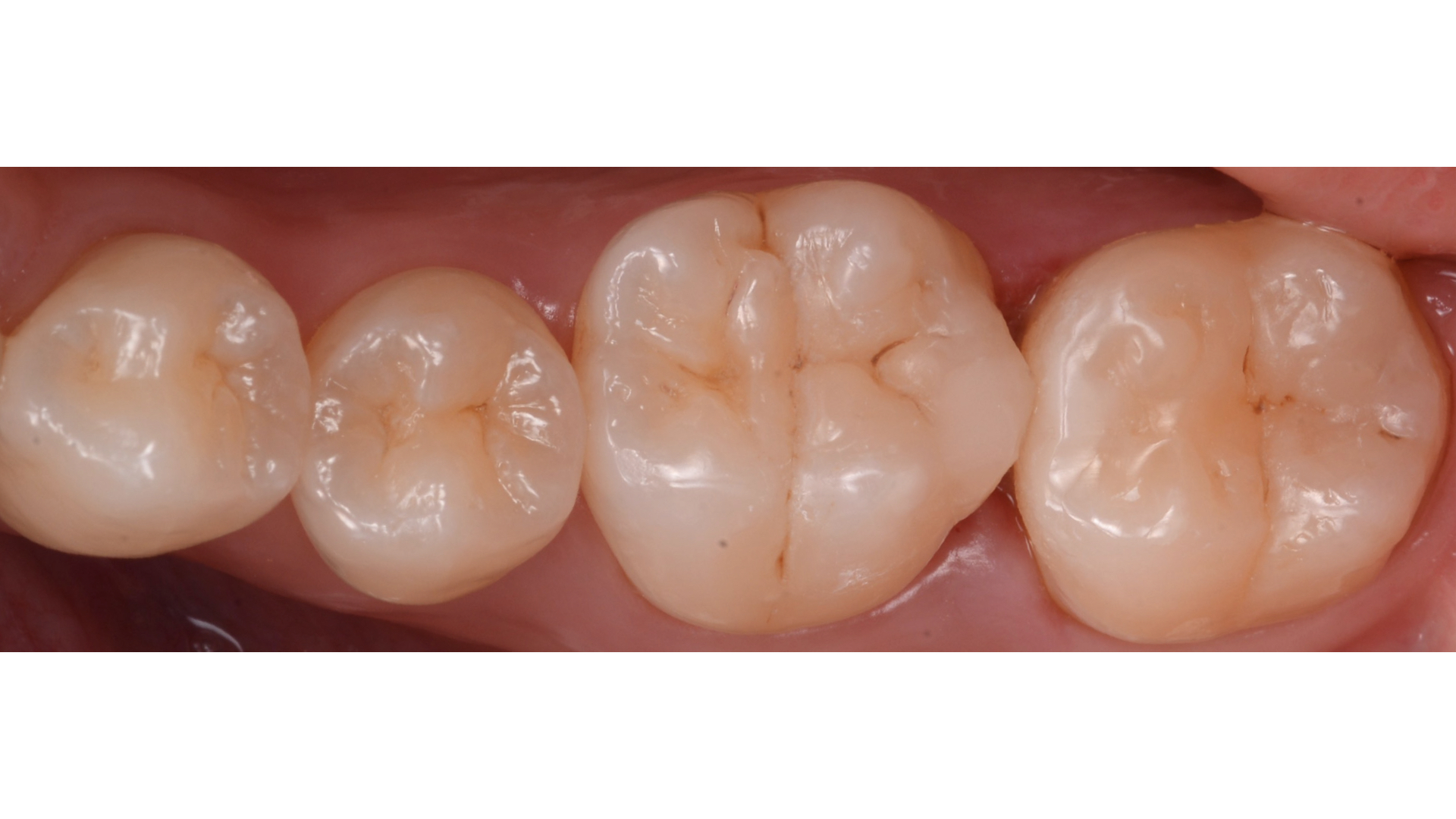
- 治療後

奥歯の精密虫歯治療
隣の歯とのコンタクトにわたる虫歯ですので、比較的難易度が高い症例です。
| 主訴 | しっかりした虫歯治療を希望 |
|---|---|
| 治療内容 | 虫歯をとって最小限の削る量で修復。いわゆるダイレクトレストレーションという手法で治療しました。 |
| 患者様の年齢 | 30代 |
| 患者様の性別 | 男性 |
| 治療期間 | 一日 |
| 治療費 | 3万円〜 |
| 治療で得られるメリット | セラミックほど治療費が高額でない。 ミニマムな歯質の切削。 |
| 治療する際に起こる リスク・副作用 |
知覚過敏 |
池袋の歯医者 グランドメゾンデンタルクリニック
グランドメゾンデンタルクリニック
〒171-0014
東京都豊島区池袋2丁目60−6 グランドメゾン池袋一番館103
池袋駅西口C6出口 徒歩5分
平日 10:00~14:00 / 15:30~19:30
休診日 祝日