グランドメゾンデンタルクリニック
WEB診療予約
03-5951-6020
医院について
診療について
症例紹介Case
歯周病
担当医生野 誠
池袋で全顎的な審美・咬合再建治療|精密根管治療...
#60代 #男性 2025.10.04
症例の詳細をみる
ホワイトニング
左上の前歯が暗くなって気になる
#20代 #女性 2025.09.13
インプラント
前歯が折れた
#40代 #男性 2025.09.09
歯の黄ばみを取りたい
#30代 #女性 2025.09.08
インプラントと再生療法にて両側臼歯部の咬合支持...
#50代 #男性 2025.08.16
矯正治療
歯並びを治したい
#20代 #女性 2025.08.02
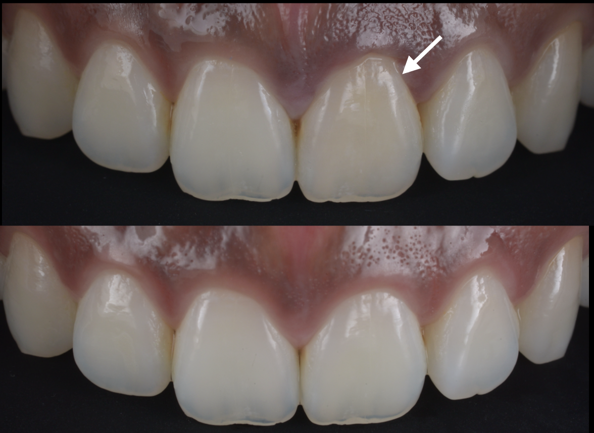
歯茎の下りが気になる
#30代 #男性 2025.08.01
前歯が中に入っている
#50代 #女性 2025.07.27
親知らずを抜きたい
#20代 #男性 2025.07.17