グランドメゾンデンタルクリニック
WEB診療予約
03-5951-6020
医院について
診療について
セラミックCase
セラミック
担当医生野 誠
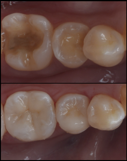
他院で入れたセラミックが虫歯になっている
#30代 #女性 2025.06.18
症例の詳細をみる
担当医
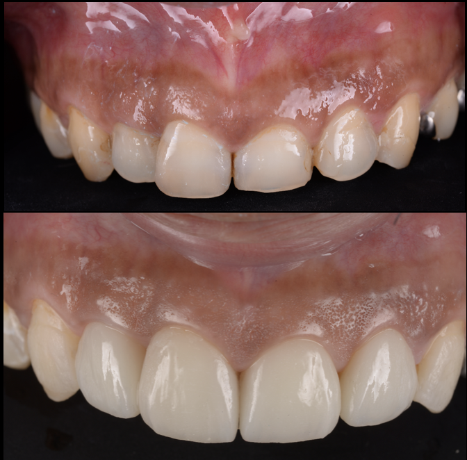
前歯が気になる
#20代 #男性 2025.05.30
銀歯が外れた
#50代 #女性 2025.04.19
前歯の形が変になってきた
#40代 #男性 2025.04.19
歯がすり減っている
#50代 #男性 2025.04.12
担当医荻原 太郎
セラミック治療、結合組織移植、リッジプリザベー...
#40代 #女性 2024.08.14
前歯のセラミックのやりかえ
#50代 #女性 2024.08.11
歯が割れた患者さん。セラミック治療(ラミネート...
#20代 #女性 2024.05.12
セラミック治療、ダイレクトボンディング
#30代 #男性 2024.04.24