グランドメゾンデンタルクリニック
WEB診療予約
03-5951-6020
医院について
診療について
インプラントCase
インプラント
担当医生野 誠
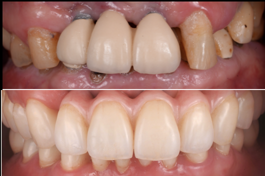
前歯が折れた
#40代 #男性 2025.09.09
症例の詳細をみる
インプラントと再生療法にて両側臼歯部の咬合支持...
#50代 #男性 2025.08.16
担当医荻原 太郎
すでに入っているインプラントと追加埋入および補...
#70代後半 #男性 2025.04.30
ブリッジが壊れた
#70代 #男性 2025.04.14
担当医
インプラントを含めた全顎的治療
#50代 #男性 2025.04.10
サイナスリフトを用いたインプラント治療
#50代 #女性 2025.04.07
#40代 #男性 2025.04.04
全体的な治療、審美治療、インプラント、セラミッ...
#40代 #女性 2024.09.20
インプラントと結合組織移植により前歯の審美的機...
#20代 #男性 2024.02.27