【70代後半男性】
すでに入っているインプラントと
追加埋入および補綴治療で審美的機能的に回復させた症例
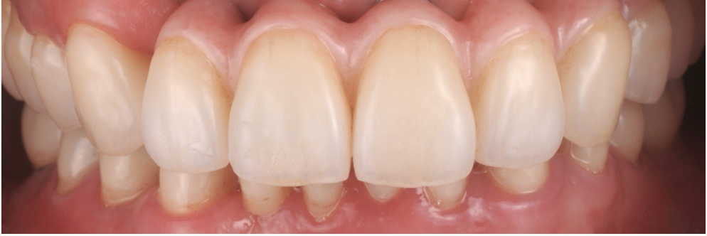
治療前
治療後
治療前
治療後
治療前
治療後
| 担当医 | 荻原 太郎 |
|---|---|
| 主訴 | 全体的に治したい |
| 期間 | 2年 |
| 費用 | 700万円程度 |
| 治療内容 | インプラントと補綴治療 もともと入っていたインプラントを利用しながら全顎的に治療をした。 二度のプロビジョナルレストレーションを経ることにより最良の結果を得ることができた。 |
| 治療に伴うリスク | インプラント周囲炎 補綴物の破損 |





















自然でうつくしいよく噛める。入れ歯のようにはずれない。