グランドメゾンデンタルクリニック
WEB診療予約
03-5951-6020
医院について
診療について
審美治療Case
審美治療
担当医荻原 太郎
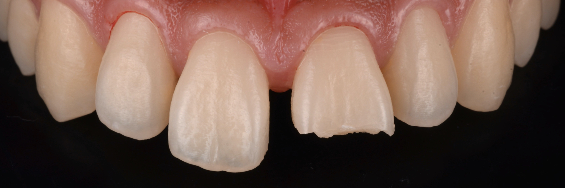
外傷により失ってしまった歯質をダイレクトボンデ...
#20代 #男性 2023.06.07
症例の詳細をみる
すきっ歯
#30代 #男性 2023.01.24
すきっ歯 前歯の審美治療
#20代前半 #男性 2023.01.24
黒くなった前歯をダイレクトボンディングで修復し...
#10代 #男性 2022.07.22
矯正治療によって生じた審美障害に対してラミネー...
#50代 #女性 2022.07.22
ガミースマイルを改善する(歯肉整形)
#20代 #女性 2022.02.17
*歯の神経を残す治療
#40代 #男性 2022.01.11
ダイレクトボンディング
#50代 #女性 2022.01.08
プロビジョナルレストレーション
#80代 #女性 2022.01.07