【20代男性】
前歯のすきっ歯が
気になる
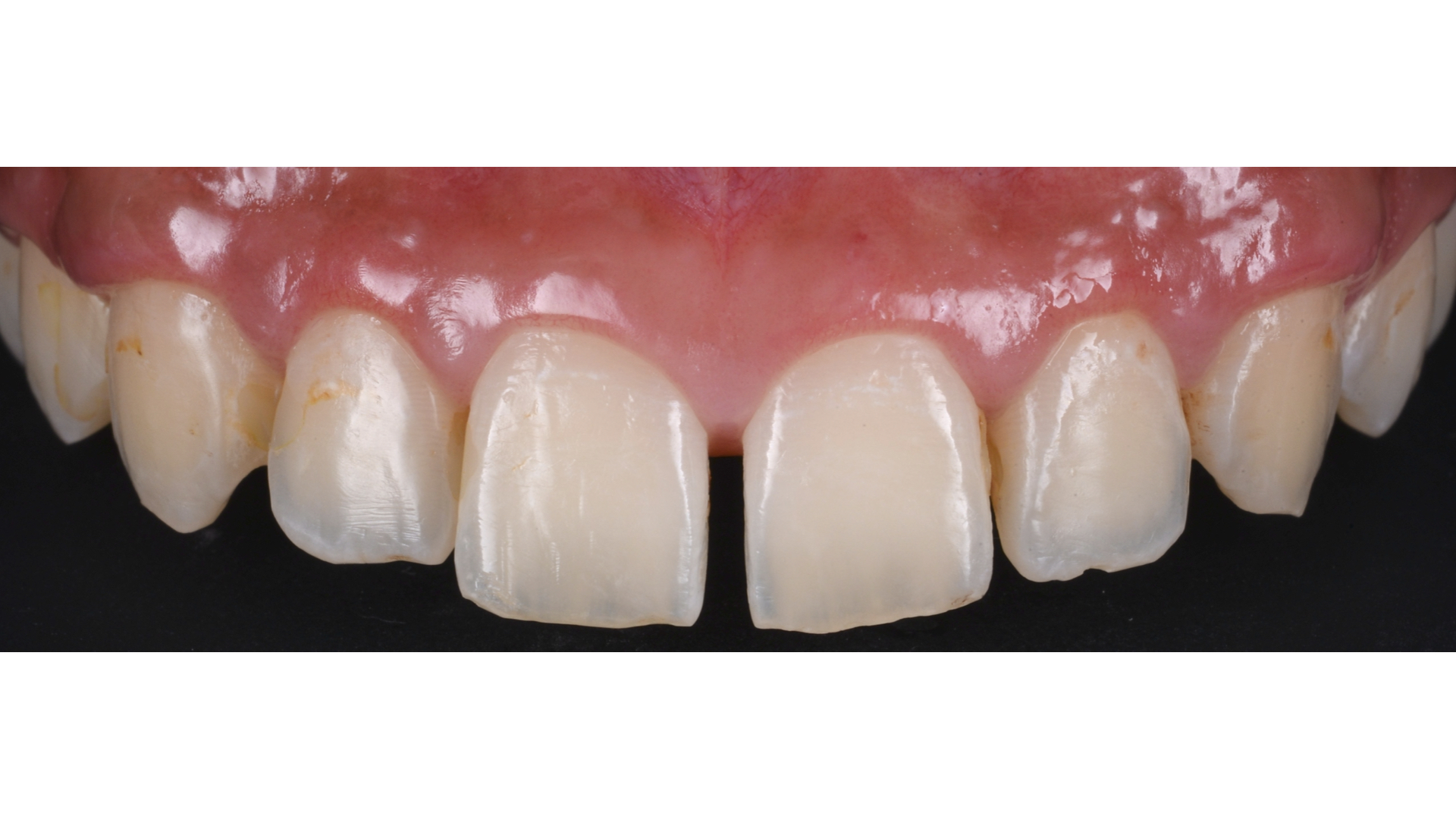
治療前
治療後
治療で得られるメリット:審美性
| 担当医 | 荻原 太郎 |
|---|---|
| 主訴 | 前歯のすきっ歯が気になる 綺麗にしたい |
| 期間 | 5ヶ月 |
| 費用 | 約100万円 |
| 治療内容 | 過去に全顎的な歯科矯正を受けており、その後戻りが原因ですきっ歯になっていた。 また矯正装置であるブラケットを除去した際に歯の表面正常が失われていた。また犬歯が短い。ここはクラウンレングスニングによって歯肉を下げた。 そして歯を削る量を最小限にセラミックを装着した。 |
| 治療に伴うリスク | セラミックのチップ |




















