グランドメゾンデンタルクリニック
WEB診療予約
03-5951-6020
医院について
診療について
セラミックCase
セラミック
担当医荻原 太郎
セラミック治療、ダイレクトボンディング、クラウ...
#20代 2024.02.27
症例の詳細をみる
セラミック治療、ダイレクトボンディング
#40代 2024.02.26
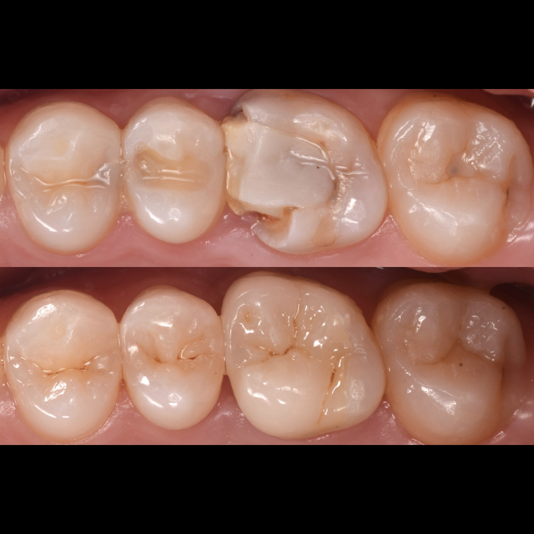
セラミック治療、奥歯の虫歯、不適合修復物の治療
#30代 2024.02.26
セラミック治療、割れてしまった歯を引っ張り出し...
出っ歯の患者様のセラミック治療
#30代 #男性 2023.01.24
セラミックの装着
#20代 2022.12.08
ラバーダム防湿下でのセラミック治療
#20代 #男性 2022.01.07
やりなおしの少ないセラミック治療
#20代 #女性 2022.01.07
上質なセラミック治療
#50代 #女性 2022.01.07