グランドメゾンデンタルクリニック
WEB診療予約
03-5951-6020
医院について
診療について
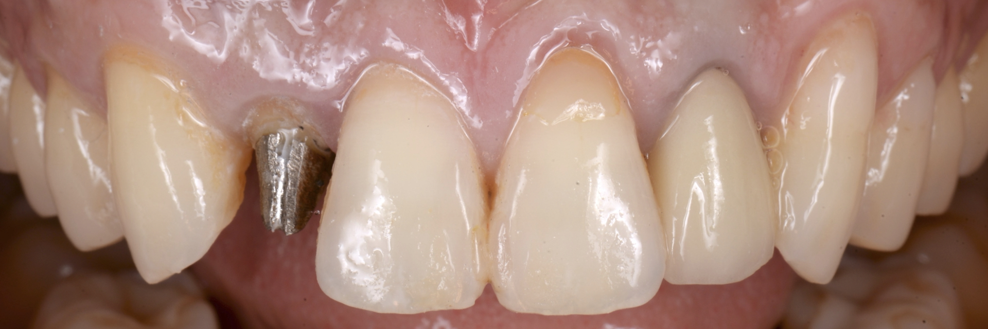
セラミックCase
セラミック
担当医荻原 太郎
上質なセラミック治療
#40代 #男性 2022.01.07
症例の詳細をみる
#40代 #女性 2022.01.06