症例
【担当医:荻原太郎】すきっ歯 前歯の審美治療
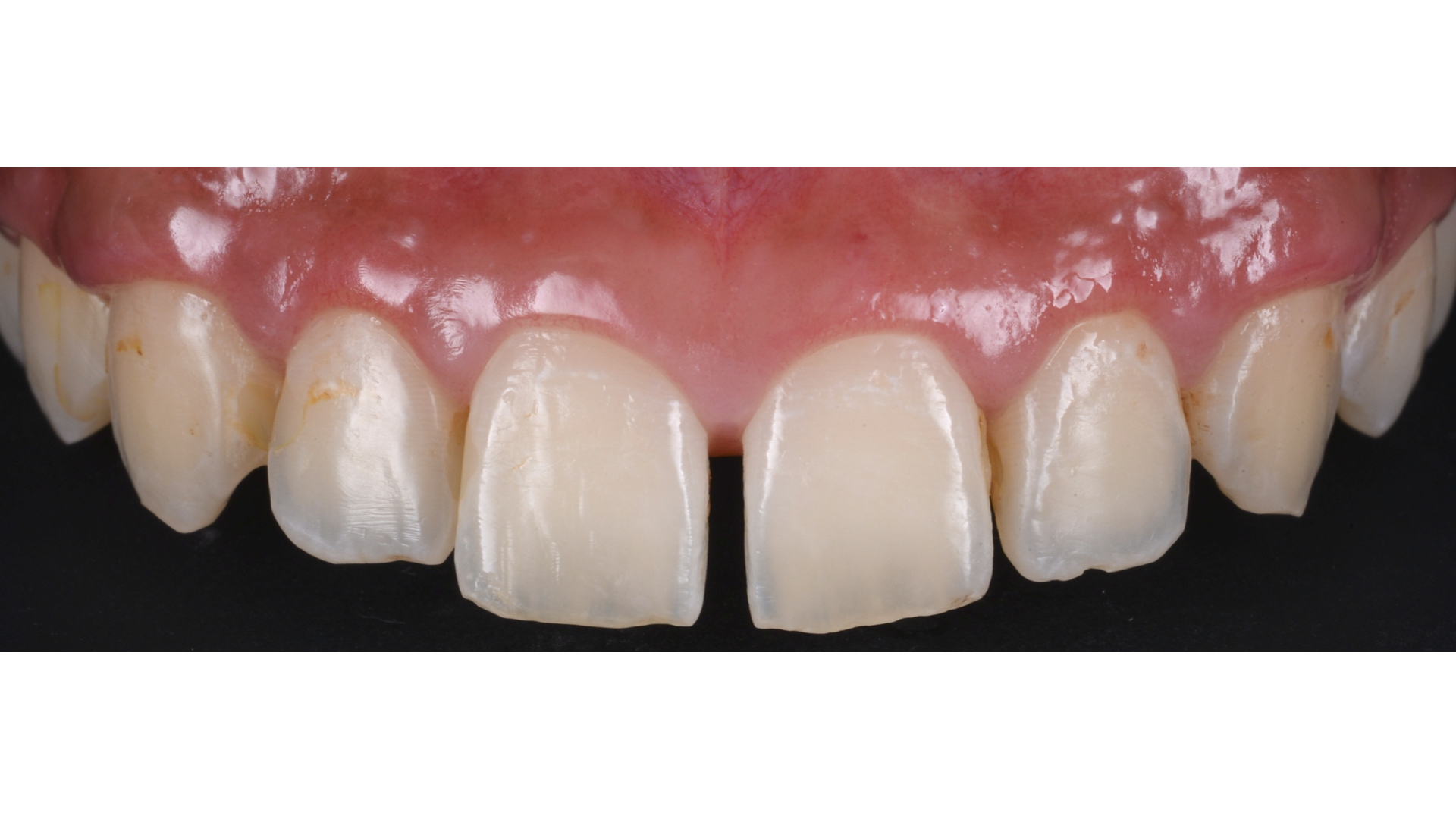
- 治療前

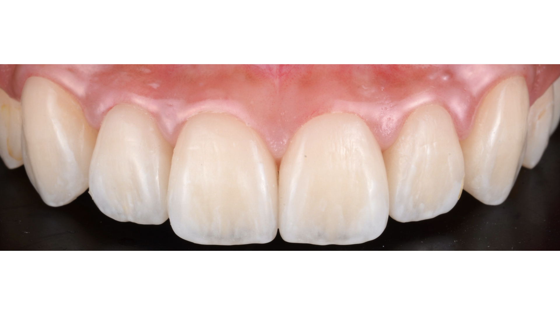
- 治療後

| 主訴 | 前歯のすきっ歯が気になる。 綺麗にしたい。 |
|---|---|
| 治療内容 | 過去に全顎的な歯科矯正を受けており、その後戻りが原因ですきっ歯になっていた。 また矯正装置であるブラケットを除去した際に歯の表面正常が失われていた。また犬歯が短い。ここはクラウンレングスニングによって歯肉を下げた。 そして歯を削る量を最小限にセラミックを装着した。 |
| 患者様の年齢 | 20代前半 |
| 患者様の性別 | 男性 |
| 治療期間 | 5ヶ月 |
| 治療費 | 約100万円 |
| 治療で得られるメリット | 審美性 |
| 治療する際に起こる リスク・副作用 |
セラミックのチップ |

池袋の歯医者 グランドメゾンデンタルクリニック
グランドメゾンデンタルクリニック
〒171-0014
東京都豊島区池袋2丁目60−6 グランドメゾン池袋一番館103
池袋駅西口C6出口 徒歩5分
平日 10:00~14:00 / 15:30~19:30
休診日 祝日