池袋で「切歯管嚢胞+根尖性歯周炎」が併発したケース|前歯を抜歯と言われた方へ:精密根管治療・嚢胞摘出・再生療法で“歯を残す”選択肢
※本記事は症例紹介です。治療結果には個人差があり、状態により適応は異なります。
この記事でわかること
- 前歯を抜歯と言われたケースでも、保存できる可能性がある理由
- 切歯管嚢胞と根尖性歯周炎が併発すると難しくなるポイント
- 池袋で行った 精密根管治療(再根管治療)+嚢胞摘出+再生療法 の治療戦略
- 術後3ヶ月で確認できた 骨の回復(骨形成) の考え方
「前歯が痛すぎる」「抜歯と言われた」…池袋で来院された患者さんの背景

今回の患者さんは、近所の歯医者で腫れては根管治療を繰り返していた前歯が再び痛み出し、受診したところ
「今回は無理。抜歯した方がいい」と言われたことをきっかけに、池袋の当院へ来院されました。
しかし、このケースでは抜歯を急ぐことが危険な条件が重なっていました。
- 根尖性歯周炎(歯の根の先の感染)が大きく広がっている
- さらに 切歯管嚢胞 が併発している可能性
- このまま抜歯すると、前歯部の顎の骨を大きく失うリスクが高い
- 骨欠損が大きい+切歯管周囲の問題により、インプラントが困難になる可能性
そこで当院では、保存の可能性を精査したうえで
精密根管治療(再根管治療)+嚢胞摘出+再生療法 を組み合わせ、**歯の温存(保存)**を目指しました。
切歯管嚢胞と根尖性歯周炎とは?(前歯の腫れ・痛みの原因)
根尖性歯周炎(歯の根の先に起きる感染)
虫歯や過去の根管治療後の再感染などにより、根管内の細菌が原因となって**歯の根の先に炎症(膿の袋)**ができる状態です。
「噛むと痛い」「腫れる」「疲れると再発する」などを繰り返すことがあります。
切歯管嚢胞(前歯の裏側、切歯管周囲にできる嚢胞)
上顎の前歯の裏側にある切歯管(鼻口蓋管)周囲に生じる嚢胞です。
無症状のこともありますが、増大や感染を伴うと腫れ・痛み・違和感の原因になります。
根尖性歯周炎と近い位置に見えるため、併発や鑑別が重要になります。
なぜ「根管治療を繰り返したのに治らない」のか?(池袋 根管治療で多い相談)
根管治療を何度も受けているのに、痛み・腫れを繰り返す場合、原因は1つとは限りません。
- 根管内に再感染の原因が残っている(唾液混入、未処置根管、破折器具、段差など)
- 被せ物や仮封の不適合で、細菌が入り続けている
- 根管治療だけでは改善しにくい病変(例:嚢胞)が関わっている
- 病変が大きく、治癒のために外科的対応や再生が必要
今回の症例は、まさに根尖性歯周炎+切歯管嚢胞の併発が疑われ、従来の処置だけでは改善しにくい条件でした。
診断の鍵はCT(CBCT)|「2つの病変」を見極めて治療戦略を分ける

前歯部の病変は平面レントゲンだけでは重なりが生じやすく、
「根尖性病変なのか」「嚢胞が主体なのか」「併発なのか」が分かりにくいことがあります。
当院ではCT(CBCT)を用い、
- 根尖部の感染(根尖性歯周炎)
- 切歯管周囲の嚢胞性病変(切歯管嚢胞)の関係を立体的に評価し、原因に合わせて治療を組み立てます。
治療方針|前歯を抜かずに残すために行った3つの治療(精密根管治療+嚢胞摘出+再生療法)
1)精密根管治療(再根管治療):再感染の原因を“徹底的に減らす”
再発を繰り返す根管治療では、単に「もう一度薬を入れる」ではなく、
再発の原因を減らし、治る条件を作り直すことが重要です。
当院では状態に応じて、
- ラバーダム防湿(細菌の侵入を遮断)
- 拡大視野(マイクロスコープ等)での見落とし低減
- 根管形態や未処置根管の探索
- 適切な洗浄・貼薬・緊密な根管充填などを組み合わせ、再発リスクを下げる設計を行います。
2)嚢胞摘出:切歯管嚢胞への外科的アプローチ
嚢胞は根管治療だけで消退しないこともあります。
本症例では病変の性状・範囲を評価し、嚢胞摘出を行って原因病変をコントロールしました。
3)再生療法:骨欠損が大きいケースで“骨の回復”を後押し
大きな骨欠損がある場合、治癒の質と量を高める目的で再生療法を併用します。
これは「歯を残す」だけでなく、万一抜歯になった場合にも
将来の治療選択肢(補綴・インプラントなど)を守るという意味でも重要です。
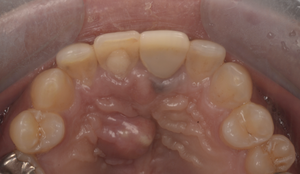
術後経過|3ヶ月で骨ができてきている所見を確認

術後3ヶ月の時点で、画像上、骨形成(骨ができてきている)ことを確認しています。
骨の治癒・成熟は数ヶ月〜年単位で進むため、今後も定期的に経過を追いながら
再感染リスクや噛み合わせも含めて長期的に管理していきます。
この症例が伝えたいこと|「前歯 抜歯と言われた」=終わりではない
前歯部の大きな病変は、見た目のインパクトが強く、短期的には抜歯判断になりやすい領域です。
しかし、原因を分解して考えると、
- 根管内の再感染を取り除けるか
- 嚢胞が併発しているか(外科が必要か)
- 骨欠損に再生療法を組み合わせるべきか
というように“残すための道筋”が見えるケースがあります。
当院(池袋)では、歯の保存に強い歯医者として、
精密根管治療・嚢胞対応・再生療法まで含めた治療計画を立て、
「抜歯と言われた」ケースでも保存の可能性を丁寧に検討します。
こんなお悩みは池袋でご相談ください(池袋 歯医者/池袋 根管治療)
- 前歯が腫れる・痛むのを繰り返している
- 根管治療を何回もしたのに治らない
- 「もう抜歯」と言われたが、できれば残したい
- CTで「病変が大きい」と言われ不安
- 将来的に骨がなくなること、インプラントが難しくなることが心配
よくある質問(FAQ)
Q1. 切歯管嚢胞は放置しても大丈夫ですか?
無症状のこともありますが、増大すると骨を押し広げたり、感染すると腫れ・痛みの原因になります。大きさや症状、画像所見により経過観察か摘出かを判断します。
Q2. 根管治療を繰り返しても治らないのはなぜですか?
再感染(唾液混入・未処置根管・補綴不適合など)や、根管治療単独では改善しにくい病変(嚢胞の併発など)が原因のことがあります。CTで原因を分けて評価することが重要です。
Q3. 「前歯を抜歯と言われた」歯でも残せますか?
すべてが可能ではありませんが、病変の範囲、歯根破折の有無、歯周組織の状態などを精査し、保存の適応を判断します。保存が難しい場合も理由を具体的に説明し、次の選択肢まで含めて提案します。
Q4. 治療期間はどれくらいかかりますか?
症状や病変の大きさ、処置内容(外科・再生の有無)で異なります。一般に、根管治療・外科処置後は数ヶ月単位で骨の治癒を確認しながら進めます。
Q5. 痛みが強いのですが、当日治療できますか?
痛みや腫れが強い場合は、まず症状緩和(感染コントロール)を優先し、検査(CT等)で原因を特定した上で治療計画を立てます。状況により当日できる処置と、段階的に行う処置があります。
