症例をご確認いただけます|池袋駅西口徒歩5分・豊島区池袋の歯科医院「グランドメゾンデンタルクリニック」
なるべく削らず治したい
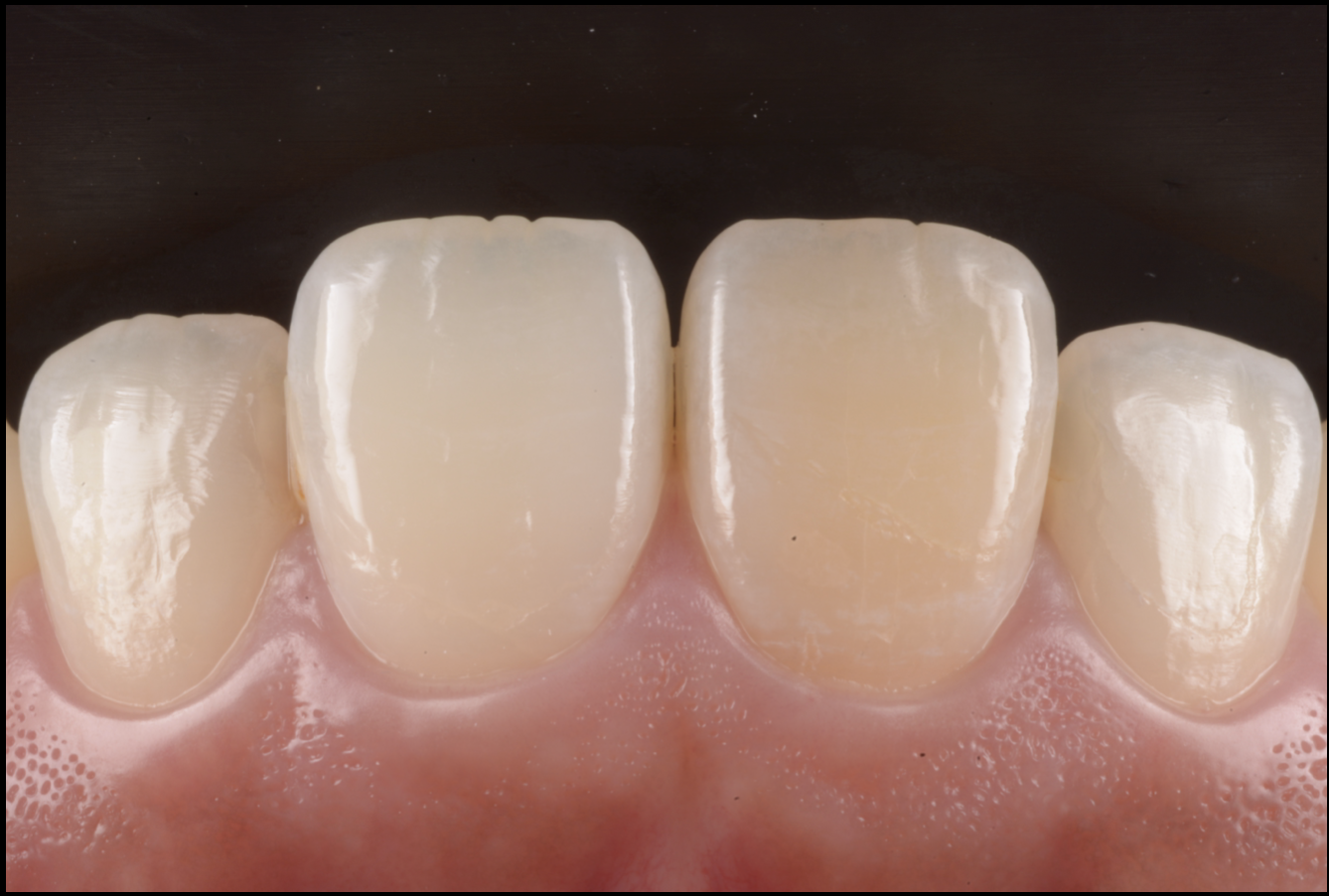
歯茎の腫れ・膿を精密根管治療と歯周組織再生療法で改善した症例
- 担当医
- 生野誠
- 主訴
- 「歯茎が腫れている」
「膿が出る」
- 期間
- 3ヶ月
- 費用
- 精密根管治療 9万
歯周組織再生療法 5万
テーブルトップベニア修復 11万
- 治療内容
- 精密根管治療
歯周組織再生療法
テーブルトップベニア修復
- 治療に伴うリスク
- 再感染
セラミックの脱離
晩期残存した乳歯をブリッジにて治療した症例
- 担当医
- 生野誠
- 主訴
- 残っている乳歯が虫歯になった。
インプラントを考えているが他に治療法はあるか知りたい
- 期間
- 2ヶ月
- 費用
- 46万
- 治療内容
- ジルコニアブリッジ
- 治療に伴うリスク
- ブリッジの脱離
歯の失活
外傷で変色した前歯を「インナーブリーチ」で改善(池袋)
- 担当医
- 生野誠
- 主訴
- 「ぶつけてから前歯の色が暗くなってきた。被せ物ではなく、できれば歯を削らずに改善したい」
- 期間
- 1週間
- 費用
- 10万
- 治療内容
- 精密根管治療
インナーブリーチ(1回)
歯の内側に薬剤を作用させ、段階的に色調を改善します。
※必要に応じて根管治療の状態確認(既存治療の適否チェック)を行い、適応を慎重に判断します。
- 治療に伴うリスク
- • 変色原因や歯の状態により、改善度合いには個人差があります
• しみる症状、再着色、経年的な色調変化が起こる場合があります
• 適応外の場合は、別の方法(ダイレクトボンディング/ラミネート/セラミック等)をご提案します
【50代男性】
インプラントを含めた全顎的治療
- 担当医
- -
- 主訴
- 前歯がグラグラする。
この機にしっかりとした治療を行いたい。
極力歯を削らずに治したい。
- 期間
- 24ヶ月
- 費用
- 300万円程度
- 治療内容
- インプラント、セラミック修復、咬合再構成
- 治療に伴うリスク
- セラミックの破折、インプラント周囲炎、歯髄症状
【30代男性】
ラミネートベニヤで審美的改善
- 担当医
- 荻原 太郎
- 主訴
- -
- 期間
- 3ヶ月
- 費用
- 16万円〜/本
- 治療内容
- ラミネートベニヤ
- 治療に伴うリスク
- 知覚過敏
セラミックのチップ
【30代 男性】
奥歯の虫歯治療
ダイレクト
ボンディング
- 担当医
- 荻原 太郎
- 主訴
- しっかりした虫歯治療を希望
- 期間
- 一日
- 費用
- 3万円〜
- 治療内容
- 虫歯をとって最小限の削る量で修復
いわゆるダイレクトレストレーションという手法で治療しました
- 治療に伴うリスク
- 知覚過敏