症例をご確認いただけます|池袋駅西口徒歩5分・豊島区池袋の歯科医院「グランドメゾンデンタルクリニック」
歯がグラグラする
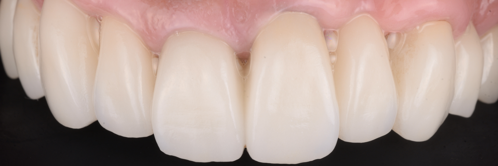
歯周病に“ペリオオルソ(歯周×矯正)”と歯周組織再生療法を組み合わせ、安定化を図った症例(池袋)
- 担当医
- 生野誠
- 主訴
- 後戻りが気になる
下の歯が心配
- 期間
- 2年
- 費用
- 180万
- 治療内容
- 矯正治療
歯周組織再生療法
セラミック修復
- 治療に伴うリスク
- • 再生療法・矯正には適応があり、すべての方に同じ結果を保証するものではありません。
• 治療後も定期的なメンテナンスが必要です。
【50代男性】
インプラント・矯正・精密補綴で噛み合わせを再構築した症例
【全顎治療】
- 担当医
- 生野 誠
- 主訴
- 歯の治療をしたい
前歯がグラグラする
- 期間
- 4年
- 費用
- 450万円
- 治療内容
- 歯周病治療(HbA1c管理)
インプラント治療
精密根管治療
矯正治療
セラミックによる咬合治療
- 治療に伴うリスク
- 再感染
【60代男性】
歯がボロボロで見た目が気になる
【精密根管治療・歯周再生療法・セラミックによる包括治療】
- 担当医
- 生野 誠
- 主訴
- 奥歯がグラグラして噛めない
歯がボロボロで見た目が気になる
笑うことに強いコンプレックスがある
- 期間
- 約2年間(精密治療と段階的な全顎修復を行いました)
- 費用
- 300万円
- 治療内容
- 精密根管治療:マイクロスコープを使用し、感染部位を徹底的に除去。
歯周組織再生療法:グラつきのある歯をできる限り保存。
咬合治療:開咬を考慮し、噛み合わせを安定させる設計。
セラミック修復:自然で美しい見た目に改善し、全顎的な審美性を回復。
- 治療に伴うリスク
- 治療期間が長期にわたる場合がある。
状態によってはすべての歯を保存できない場合がある。
自費診療のため保険診療に比べ費用負担が大きい。
【60代女性】
歯の破折、歯肉退出、審美障害をルートカバーとバイトアップ、
セラミック修復により改善した症例
- 担当医
- 生野 誠
- 主訴
- 前歯が折れた。
歯がグラグラする。
歯茎が痩せている。
以前治療した歯の色が合ってない。
- 期間
- 12ヶ月
- 費用
- 200万円
- 治療内容
- 歯周病治療、ルートカバー(結合組織移植)、精密根管治療、ファイバーを用いた支台築造、ジルコニアクラウン、セラミックオーバーレイによるバイトアップ
- 治療に伴うリスク
- セラミックの脱離、破折
【50代男性】
インプラントを含めた全顎的治療
- 担当医
- -
- 主訴
- 前歯がグラグラする。
この機にしっかりとした治療を行いたい。
極力歯を削らずに治したい。
- 期間
- 24ヶ月
- 費用
- 300万円程度
- 治療内容
- インプラント、セラミック修復、咬合再構成
- 治療に伴うリスク
- セラミックの破折、インプラント周囲炎、歯髄症状
【50代男性】
歯がグラグラする
【根管治療・歯周組織再生療法】
- 担当医
- 生野 誠
- 主訴
- 歯が揺れている
衛生士さんに深いポケットがあると言われた
インプラントは増やしたくない
- 期間
- 3ヶ月
- 費用
- 20万円
- 治療内容
- 精密根管治療
歯周組織再生療法
- 治療に伴うリスク
- 再発
【50代男性】
重度の歯周病、
虫歯の方の治療
- 担当医
- 荻原 太郎
- 主訴
- 歯周病、虫歯を治したい
- 期間
- 1年
- 費用
- 200万円程度
- 治療内容
- 残すことのできないグラグラの歯は抜歯。
それ以外のところは根管治療や歯周外科を併用して歯を残しております。
インプラントが併用できない難しいケースでありましたが、機能回復に努めた症例です。
- 治療に伴うリスク
- 歯の破折
根管治療後の不快症状
セラミックのチップ
【80代女性】
被せ物がグラグラで
噛めない
- 担当医
- 荻原 太郎
- 主訴
- 被せ物がグラグラで噛めない
見た目と噛み合わせをどうにかなおしたい
- 期間
- 2日
- 費用
- 1万円〜/本
- 治療内容
- 上下に入っている被せ物を外し、プロビジョナルレストレーションを装着。
治療回数ほぼ1日で応急的に噛み合わせと見た目を獲得。
ただし、後日根管治療等の治療は必要。
- 治療に伴うリスク
- 準備中