池袋で虫歯治療をご検討の方へ|前歯の「色」と「虫歯があると言われた」から始まった再治療(ダイレクトボンディング症例)
前歯の色が気になる、虫歯があると言われた——池袋の歯医者が症例で解説。虫歯は硬組織の感染で進行性。拡大視野・触知・染色を反復し、ラバーダム防湿と接着・重合収縮まで考えたダイレクトボンディングで再発を防ぎます。
はじめに|「虫歯治療は気軽」でも、「虫歯は気軽に終わらない」
虫歯治療は歯科で最も一般的な処置のひとつです。
ただ、その“身近さ”が、治療の本質を見えにくくしていると感じることがあります。
虫歯は、ただの黒い点や穴ではなく、硬組織の中で進む感染です。免疫が届きにくい環境で進行し、条件が揃えばどこまでも広がります。
さらに、治療は「感染を取る」だけでなく、
- 歯髄(神経)を守る
- 歯の強度を守る
- 噛み合わせまで考えて形を決める
- 接着で密閉し、再発を防ぐ
という複数のゴールを同時に成立させる必要があります。
今回は、池袋院で実際にあった上顎前歯部の再治療症例(ダイレクトボンディングで完結)を通して、「なぜ虫歯治療が難しいのか」をお伝えします。
虫歯は“硬組織の感染症”|放っておけば進む理由
皮膚の感染なら血流が届き、免疫が働きます。
一方で、歯のエナメル質・象牙質は硬組織で、軟組織ほど免疫の手が届きません。そこに細菌が入り込むと、内部で増殖し、静かに進行していきます。
特に象牙質はエナメル質より柔らかく、内部で広がりやすい性質があります。
「見た目は小さいのに、中は大きい」
「詰め物が入っているのに、下で進んでいた」
こうした現象が起こるのは、虫歯が感染として成立しているからです。
虫歯治療の核心|“削る”ではなく“診断して制御する”
虫歯治療は、削って詰める作業に見えますが、実際は診断の連続です。
どこまでが感染で、どこからが守るべき歯質か。その境界は、見た目だけでは決まりません。
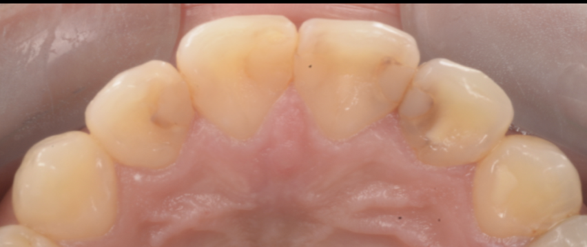
拡大視野で「見る」
暗く湿った口腔内で、色調、着色、既存修復、微細なクラックが重なる前歯部は、想像以上に情報が多い場所です。拡大視野で観察することで、マージン(境界)の段差や破綻、微小な隙間の存在が見えてきます。
「触って」硬さを確認する
虫歯は“色”ではなく“質”でも判断します。
感染象牙質は柔らかく、健全な象牙質は硬い。触知の確認は、治療の精度を左右します。
「染めて」客観情報を追加する
必要に応じてう蝕検知液を用い、感染部位の見落としを減らします。
ただし、染まった部分をすべて削ればいいわけではありません。歯髄との距離や残存歯質の強度を踏まえ、感染制御と歯の保存のバランスを取ります。
この「見て→触って→染めて→再確認」を繰り返す工程は、短時間で終わる単純作業ではありません。
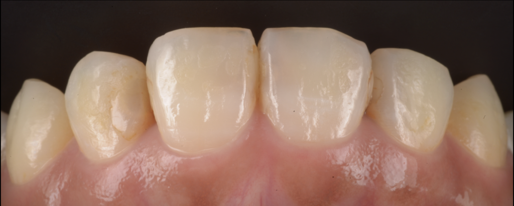
【池袋の症例】主訴:前歯の色/「虫歯があると言われた」


今回の患者さんは、上顎前歯部について
- 「前歯の色が気になる」
- 「虫歯があると言われた」という不安を抱えて来院されました。
前歯は目につきやすく、少しの着色でも気になります。
ただし、ここで重要なのは「見た目の色=虫歯」とは限らないこと、そして「色だけ」と決めつけるのも危険だということです。
なぜなら、接着が壊れている場合、見た目の変色の奥で感染が進んでいることがあるからです。
初診時に疑うポイント
- 修復物の辺縁に着色(マージンステイン)
- 詰め物が浮いて見える、段差が疑われる
- 見た目よりも内部で進行している可能性
- 口腔清掃状態、食習慣、酸性飲料、ブラッシング圧などのリスク
「詰めてあるのに虫歯が進む」理由|接着破綻=細菌の通り道になる

詰め物が入っていると、多くの方は「塞がれている=安全」と感じます。
しかし、接着界面に微細な隙間ができると状況は変わります。
- マージンがわずかに開く
- 微小漏洩(マイクロリーケージ)が起こる
- 細菌が侵入し、修復物の下で増殖する
- 外からは見えにくい場所で感染が進む
- 再治療時に初めて“歯の大半が失われている”ことがある
今回も、色の違和感をきっかけに精査し、修復物を外してみると、想定以上に内部で感染が広がっていました。
つまり、「色が気になった」という主訴は、結果的に歯を守るための重要なサインだったといえます。
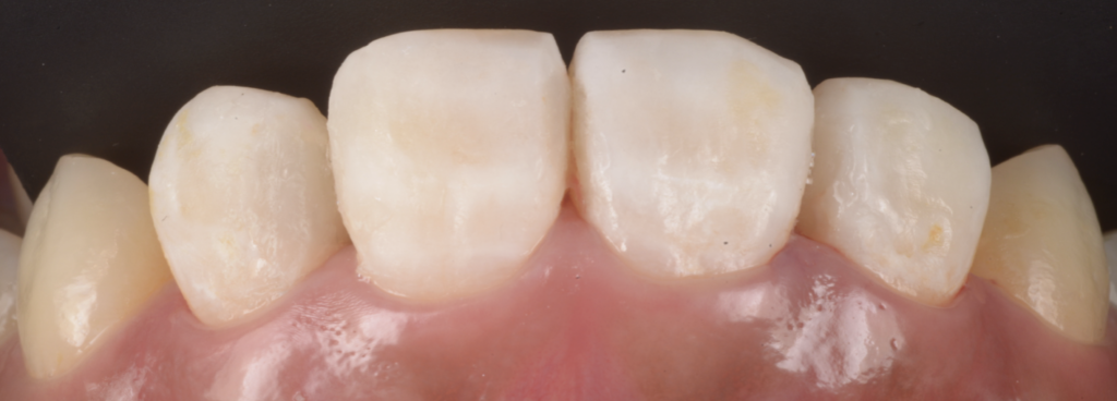
治療方針|上顎前歯部を“ダイレクトボンディングで完結”させる
今回の治療は、最終的にダイレクトボンディング(CR接着修復)で完結しました。
ただし、前歯のダイレクトは「白い材料を詰めるだけ」では成立しません。
- 審美(色・透明感・形)
- 機能(噛み合わせ、切縁の当たり)
- 再発予防(密閉、マージン精度)
この3つを同時に成立させる必要があります。
なぜラバーダム防湿を行うのか|象牙質に“新しい細菌を入れない”ため
象牙質は体内組織で、水分とコラーゲンを含み、エナメル質と性質が異なります。
唾液や湿気で汚染されれば、接着は不安定になり、再発リスクが上がります。
そこで当院では症例に応じて、ラバーダム防湿を用いて治療環境を整えます。
ラバーダムは、単に乾かすためではなく、
- 汚染を防ぐ(細菌を入れない)
- 視野を安定させる
- 接着の化学反応を“成立しやすい環境”に近づけるために重要です。
接着は“科学”|時間と手順が結果を決める
CR修復は、化学反応と物理特性の上に成り立っています。
たとえば重合収縮。硬化時の収縮ストレスは、マージン破綻や微小漏洩の原因になり得ます。
そのため臨床では、積層充填や硬化手順などを工夫し、ストレスを分散させます。
理科の実験と同じで、
反応には時間が必要で、環境が整っていないと結果が崩れる。
虫歯治療が“短時間で流れ作業”になりにくい理由は、ここにあります。
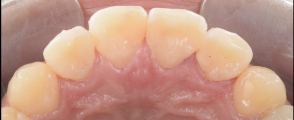
仕上げのポイント|「詰めた直後」より「数年後」を見据える


前歯の修復は、治した直後にきれいでも、マージンが荒ければ着色しやすく、再発リスクが上がります。
だからこそ当院では、
- マージンの精密な調整
- 研磨の質(プラーク付着を減らす)
- 噛み合わせの確認(切縁・側方運動の干渉)まで含めて完成度を上げます。
“きれいに見える”だけでなく、清掃性が高く、密閉が保たれ、力学的にも壊れにくい形を目指すことが、歯を守る修復です。
この症例で伝えたいこと|虫歯治療は「安いから気軽」な処置ではない
患者さんの多くは、虫歯治療を「保険で安くできる処置」として捉えています。
もちろん制度として保険があることは大切ですが、ここで伝えたいのは別の話です。
虫歯治療は、
- 感染を見極めて制御する
- 神経と歯質を守る
- 強度と噛み合わせを設計する
- 防湿し、接着で密閉するという、歯の未来を左右する精密治療です。
今回、見た目の色の変化と「虫歯があると言われた」という不安をきっかけに再治療を行い、結果として“内部の進行”が確認できました。
もし放置していれば、さらに歯質を失い、治療が大掛かりになった可能性もあります。
池袋で虫歯治療を選ぶときのチェックポイント
同じ「虫歯治療」でも、工程の質で予後は変わります。
医院選びの参考として、次の視点が役立ちます。
- 状態を写真や検査結果で説明してくれるか
- 拡大視野など“見える条件”を整えているか
- ただ削るのではなく、歯髄保護・歯質温存の考えがあるか
- 防湿(ラバーダム等)を症例に応じて選択しているか
- 噛み合わせと修復デザインまで考えているか
- 再発予防(メインテナンス)まで提案があるか
よくある質問(FAQ)
Q1. 前歯の「色」って虫歯ですか?
着色だけのこともありますが、マージン不適合や接着破綻があると二次う蝕の可能性があります。見た目だけでは判断できないため精査が重要です。
Q2. 詰め物が入っているのに虫歯になるのはなぜ?
接着界面が破綻すると微小漏洩が起こり、修復物の下で細菌が増殖することがあります。密閉(シーリング)の質が鍵になります。
Q3. ラバーダムは必ず必要ですか?
症例によります。ただ、接着の成功率を上げたい場面や唾液汚染リスクが高い状況では有効です。
Q4. ダイレクトボンディングはどれくらい持ちますか?
噛み合わせ、清掃性、材料選択、術式の精度、生活習慣で変わります。定期管理で長期安定しやすくなります。
Q5. 痛みがないなら放置してもいいですか?
虫歯は痛みが出る頃には深く進んでいることがあります。前歯の色の変化や違和感は、早期発見のサインになり得ます。
まとめ|前歯の色は“見た目”以上のサイン。虫歯治療は歯の寿命を決める治療です
虫歯治療は日常的に行われるからこそ、簡単に見えがちです。
しかし実際には、感染制御、歯髄保護、強度設計、噛み合わせ、接着、密閉、重合収縮――多くの要素を同時に成立させる精密治療です。
今回のように、前歯の色や「虫歯があると言われた」という不安をきっかけに、内部の進行が見つかることがあります。
池袋で虫歯治療をご検討の方は、「削って詰める」だけではない治療の中身まで、ぜひ一度意識してみてください。
