池袋で開咬(前歯が噛まない)を治したい方へ|症例でわかる原因・リスク・治療法と8020運動
はじめに|「前歯で噛めない」それ、開咬かもしれません
「前歯で食べ物が噛み切れない」「奥歯は当たるのに前歯が浮いている」「口が閉じにくくて口呼吸が多い」――このような症状がある方は、開咬(かいこう)の可能性があります。
開咬は“見た目の問題”と思われがちですが、実際はそれだけではありません。前歯が当たらない分、噛む力が奥歯に集中し、詰め物が欠ける・奥歯がすり減る・歯周組織に負担がかかるなど、長期的に歯を失うリスクを高める要因になることがあります。
歯科には有名な目標として8020運動(80歳で20本の歯を残そう)があります。8020を達成するためには、むし歯や歯周病の管理だけでなく、歯を守れる噛み合わせの設計がとても重要です。
この記事では、池袋の歯医者として、症例の視点を交えながら、開咬の原因・放置リスク・治療法・再発予防までをわかりやすくまとめます。
開咬とは?|噛んでも「前歯が当たらない」状態
開咬とは、噛みしめたときに上下の前歯が接触せず隙間ができる噛み合わせです。軽度なら見た目で気づきにくいこともありますが、日常生活では次のような不便が出やすいのが特徴です。
開咬でよくあるお悩み
- 前歯で麺・葉物・パンなどが噛み切れない
- 奥歯ばかりで噛むため、奥歯が疲れる・しみる
- 口が閉じにくく、口呼吸になりやすい
- 発音(サ行・タ行)が気になる
- 被せ物や詰め物が欠ける/外れる
- 歯ぐきが下がる・揺れが気になる(歯周病が絡む場合)
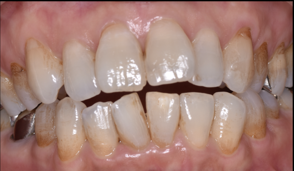
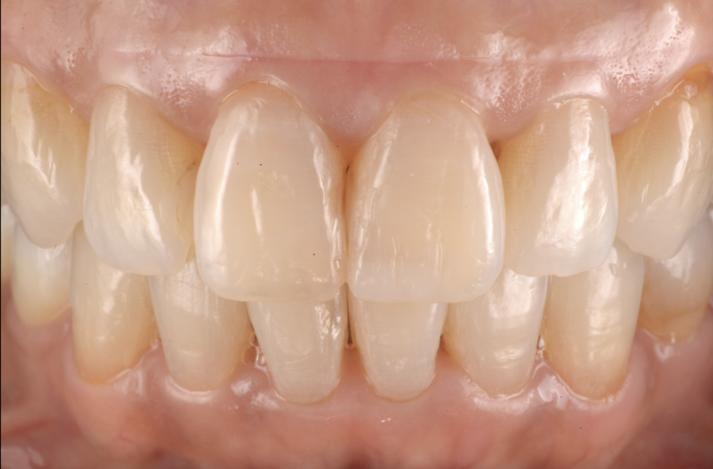
【池袋の症例】開咬の見た目と噛みにくさが気になり受診|治療後に前歯の接触を改善

ここでは、いただいたお写真のように「前歯が当たらない」「奥歯に負担が集中している」タイプの開咬を想定した、池袋院(グランドメゾンデンタルクリニック)でよくある流れとして症例の見立てポイントを解説します(※個別の診断は精密検査が必要です)。
初診時によくある所見(例)
- 前歯部に開咬があり、噛みしめても前歯が接触しない
- 奥歯での咬合接触が強く、咬耗(すり減り)や修復物の負担が出やすい
- 口唇閉鎖が弱く、口呼吸傾向(唇が乾きやすい等)
- 舌の位置が低い/飲み込みの際に舌が前に出る(舌突出癖)
- 歯周炎や歯肉退縮が併発しているケースもある
治療で目指すゴール
- 前歯で噛める(切れる)機能の回復
- 奥歯に集中していた力を分散し、歯の寿命を伸ばす
- 見た目(スマイルライン、前歯の見え方)も自然に整える
- 習癖が関与している場合、後戻りしにくい状態を作る
開咬の原因|「歯並び」だけでなく、癖・呼吸・骨格が絡みます
開咬は1つの原因だけで起きるとは限りません。大きく分けると次の要素が関与します。
1)舌・口唇の癖(舌突出癖、低位舌)
開咬の再発原因として多いのが、舌が前歯を押す力です。
飲み込むたびに舌が前歯を押すと、矯正で歯を動かしても再び開いてきます。
2)口呼吸
口が開きやすい状態が続くと、舌の位置が低くなり、唇や頬の筋バランスが崩れやすくなります。結果として、前歯が噛み合いにくい方向へ力が働きやすくなります。
3)骨格(顎の形・成長パターン)
縦方向の成長が強い骨格パターンなどでは、歯だけでなく顎全体として前歯が当たりづらいことがあります。骨格性が強い場合は、矯正単独の限界や後戻りリスクを踏まえて計画を立てます。
4)奥歯の支持の低下(欠損、歯周病、崩れた咬合)
奥歯の欠損放置や歯周病で噛む土台が弱いと、噛み合わせが崩れ、開咬が目立つことがあります。
この場合は、矯正だけでなく**歯周治療や補綴(被せ物・ブリッジ・インプラント等)**を含む包括治療が必要になることがあります。
開咬を放置すると?|「奥歯の寿命」を縮めやすい噛み合わせ
開咬は痛みが少ないため放置されがちですが、長期的にはデメリットが積み重なります。
奥歯の破折・咬耗(すり減り)リスク
前歯が当たらないと、噛む力の多くを奥歯が引き受けます。
結果として、
- 奥歯が欠ける
- 詰め物が割れる・外れる
- 歯に亀裂が入る(クラック)などが起こりやすくなります。
歯周組織への負担増(歯周病の悪化に関与することも)
噛む力が偏ると、特定の歯に過剰な力がかかり、歯周組織がダメージを受けやすくなることがあります。歯周病がある場合は、炎症+過負担で悪化しやすくなるため注意が必要です。
8020運動の視点:歯を残すには「力の分散」が必要
8020運動は「歯磨き」だけで達成できる目標ではありません。
むし歯・歯周病のコントロールに加えて、噛む力を受け止め、分散できる咬合があるかどうかが、将来の歯の本数に影響します。
開咬は“力が偏りやすい噛み合わせ”になりやすいため、歯を残す観点からも早めの対策がおすすめです。
開咬の治療法|池袋での相談で多い選択肢
開咬治療は、(1)矯正、(2)原因(舌・呼吸)の是正、(3)必要に応じた補綴・外科の組み合わせで考えます。
1)矯正治療(ワイヤー/マウスピース)
- 前歯を噛ませる
- 奥歯の高さ・傾き、咬合平面を調整する
- 全体の噛み合わせバランスを作る
開咬は「ただ並べる」だけでは安定しづらいことがあるため、咬合設計が重要です。
2)アンカースクリュー(TAD)などで奥歯をコントロール
開咬では、奥歯の位置コントロールが鍵になることがあります。必要に応じて固定源を活用し、狙った方向に歯を動かします(適応は診断によります)。
3)MFT(口腔筋機能療法)|舌癖・口呼吸対策
後戻り予防の中心です。
- 舌の正しい位置
- 飲み込み方
- 口唇閉鎖などを改善し、歯にかかる力のバランスを整えます。
4)補綴治療(被せ物・詰め物・欠損治療)
欠損や修復物の不適合が絡む場合、噛み合わせの土台づくりとして補綴が必要になることがあります。
ただし、被せ物だけで無理に噛ませると歯に負担が出る場合もあるため、矯正・歯周治療との順序設計が重要です。
5)外科矯正(骨格性が強い場合)
骨格性が強い場合は、矯正単独の限界や後戻りリスクを踏まえ、外科矯正を検討します。精密検査の上、適応を判断します。
大人の開咬は治る?|成人でも改善は可能、ポイントは「安定」

成人の開咬でも改善は可能です。
一方で、成長期より“骨格の自由度”が小さい分、原因のコントロール(舌・呼吸)と保定の設計が結果を左右します。
後戻りを防ぐために大切なこと
- 舌突出癖・口呼吸の是正(必要に応じてMFT)
- リテーナー(保定装置)の適切な使用
- 歯周病・むし歯の管理(炎症があると歯は動きやすい)
- 仕上げの咬合調整と定期管理
池袋で開咬治療を進める流れ|「原因から診て、歯を守る設計へ」
グランドメゾンデンタルクリニック(池袋)では、開咬を単なる歯並びの問題としてではなく、歯を長持ちさせる噛み合わせの問題として捉え、次の流れで検討します。
1)カウンセリング
困っていること(噛みにくさ/見た目/発音/顎の疲れ)や生活習慣(口呼吸、舌癖、姿勢、睡眠)を確認します。
2)精密検査
口腔内診査、歯周検査、画像検査、咬合評価を行い、原因を整理します。
むし歯や歯周病、修復物の状態も含めて総合的に診断します。
3)治療計画の提示
矯正方法、必要なら固定源やMFT、歯周治療や補綴を含む場合の段取りを、期間・通院頻度の目安とあわせてご説明します。
4)治療・メインテナンス
治療中もメインテナンスを併用し、8020を見据えた口腔環境づくりを行います。
セルフチェック|池袋で「開咬かも?」と思ったら
- 奥歯を噛んでも前歯が当たらない
- 前歯で噛み切れない
- 口が閉じにくく、口呼吸が多い
- 舌が前に出る/歯を押している気がする
- 奥歯がすり減る・欠ける・しみる
- 発音が気になる
当てはまる場合、早めの相談が有利です。軽度のうちほど選択肢が広がり、歯への負担も抑えやすくなります。
よくある質問(FAQ)
Q1. 開咬は自然に治りますか?
原因が習癖や骨格にある場合、自然に改善しにくいことがあります。原因の特定が大切です。
Q2. マウスピース矯正でも開咬は治せますか?
症例によります。軽度〜中等度で適応になることもありますが、奥歯のコントロールや固定源が必要な場合もあるため精密検査で判断します。
Q3. 治療期間はどのくらいですか?
重症度や方法によって変わります。矯正は年単位になることが多く、終了後も保定期間を設けて安定を図ります。
Q4. 後戻りが心配です
開咬は後戻りしやすい噛み合わせの一つです。舌癖・口呼吸対策、保定装置、定期管理まで含めて設計することが重要です。
Q5. 8020運動と開咬は関係ありますか?
あります。開咬は奥歯に負担が集中しやすく、破折や歯周負担が増えることがあります。噛み合わせを整えることは歯を長く残す土台になります。
まとめ|開咬は「歯を守るための治療」。8020を目指して早めの対策を
開咬は、前歯が噛まないという見た目の悩みにとどまらず、奥歯への過負担や歯周組織への負担を通じて、将来的に歯を失うリスクに関わることがあります。
8020運動の観点でも、歯を残すためにはむし歯・歯周病の管理+噛み合わせの安定が重要です。
池袋で「前歯が噛まない」「噛みにくい」「口が閉じづらい」などが気になる方は、まずは現状の評価から。原因に合わせた治療計画をご提案します。
