【池袋】忙しい方・
歯科恐怖症の方のための
“短期集中治療”と
“静脈鎮静法
による無痛治療”|
グランドメゾン
デンタルクリニック
こんにちは。池袋駅近くのグランドメゾンデンタルクリニックです。
「仕事が忙しくて何度も通院できない…」
「歯医者が怖くてなかなか足が向かない…」
「ずっと治療を放置していたが、思い切って治したい…」
このようなお悩みを抱えた患者さまのために、当院では
短期集中型の歯科治療および静脈内鎮静法(リラックス麻酔)を併用した無痛治療を提供しております。
短期集中治療とは?
短期集中治療とは、通常は数回~十数回に分けて行う治療内容を、
できるだけ短期間・少ない通院回数で集中的に進める治療スタイルです。
こんな方におすすめです
- 忙しくて何度も通えないビジネスパーソン
- 海外赴任・出張・結婚式など予定がある方
- 虫歯や歯周病を長年放置してしまった方
- とにかく早く口の中を綺麗にしたい方
当院では、事前の診査・診断をしっかりと行ったうえで、
1回の治療時間を長く確保し、複数部位を同時に治療することが可能です。
静脈内鎮静法で“眠っている間”に治療が完了
歯科治療に対して不安や恐怖がある方には、**静脈内鎮静法(セデーション)**の併用をおすすめしています。
点滴によって鎮静薬を投与し、半分眠っているようなリラックスした状態で治療を受けられる方法です。
「うとうとしている間に治療が終わっていた」とおっしゃる患者さまも多く、恐怖心を和らげながら治療を進められます。
歯科恐怖症の方に
選ばれています
- 過去の歯科治療でトラウマがある
- 器具の音や麻酔注射が苦手
- 嘔吐反射が強く、型取りができない
- 治療中に動悸やパニックが起こる
このような方でも、心身のストレスを最小限に抑えながら、精度の高い治療を安全に受けていただけます。
すべての治療が一貫して
受けられる安心感
グランドメゾンデンタルクリニック池袋では、
審美治療・インプラント・歯周外科・根管治療・矯正治療など多岐にわたる専門治療を1つのクリニックで完結できます。
それぞれの治療を担当する各分野のドクターが在籍しているため、治療の進行もスムーズ。
短期集中治療でも妥協のないクオリティを実現します。
治療計画から
アフターケアまで
徹底サポート
初回カウンセリングでは、現在のお悩みやご希望をしっかりお伺いし、
患者さまごとにオーダーメイドの治療プランをご提案。
必要があればCTや口腔内スキャナーを用いた精密検査を実施し、治療期間・費用・通院回数を明確にご説明いたします。
治療後も定期メンテナンスやホワイトニングなどの予防・審美ケアでサポートいたします。
まとめ:池袋で
“痛くない・早く終わる”治療
をお探しの方へ
- 忙しくて時間が取れない
- 歯医者が怖くて先延ばしにしてきた
- できるだけ通院回数を減らしたい
- 痛みやストレスの少ない治療を受けたい
そんな方は、ぜひ当院の短期集中治療×静脈鎮静法をご検討ください。
「気づけば終わっていた」と言っていただける、安心・丁寧・質の高い歯科治療を提供いたします。
📍池袋駅 徒歩5分
📩 無料カウンセリング・事前相談も受付中
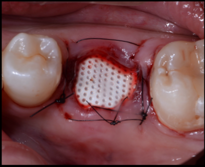
治療前

治療後

| 主訴 | 左下の歯が痛く、頭痛で眠れない 肩、首が張っている |
|---|---|
| 治療内容 | 極度の歯科恐怖症で、無痛リラクゼーション治療を希望。 1ヶ月後にカナダに帰るとのことより、それまでに治療を終えてほしい。 左下奥歯は破折を認め、保存が困難な状況であった。他にも治療途中の歯があり、左奥歯がなくなると食事に困るとのことよりブリッジ治療を選択。 本来であれば、抜歯後5ヶ月ぐらいは待つが歯周組織の変化をコントロールするためにソケットプリザベーションと歯肉縁下形成を併用し、即日印象、プロビジョナルレストレーションを調整し、次回アポイント時セットを行なった。 |
| 患者様の年齢 | 60代 |
| 患者様の性別 | 女性 |
| 治療期間 | 2回 |
| 治療費 | 58万 |
| 治療で得られるメリット | 短期での咬合回復 |
| 治療する際に起こる リスク・副作用 |
歯肉のマージン部露出 |
