池袋でホワイトニング
するなら|
ポリリンホワイトニング・
インナーブリーチ・
ホームホワイトニング
のご紹介
【グランドメゾン
デンタルクリニック】
治療前

治療後

「最近、歯の黄ばみが気になる…」「写真を撮るときに自信を持って笑えない」「清潔感のある白い歯にしたい」と感じていませんか?
池袋駅から徒歩圏内にある【グランドメゾンデンタルクリニック】では、ポリリンホワイトニングを中心に、オフィスホワイトニング・ホームホワイトニング・インナーブリーチなど、患者さま一人ひとりのライフスタイルや歯の状態に合わせたホワイトニングメニューをご用意しています。
この記事では、当院が提供する各ホワイトニングの特徴やメリット、よくあるご質問などを詳しく解説していきます。
そもそも「歯のホワイトニング」とは?
ホワイトニングとは、歯の表面や内部に沈着した着色(ステイン)を除去・分解し、本来の白さや透明感を引き出す治療です。歯を削ったり被せたりせず、ナチュラルな仕上がりを目指せるのが最大の特徴です。
歯の黄ばみやくすみの原因には以下のようなものがあります。
- コーヒーや赤ワイン、カレーなど色の濃い食べ物
- 加齢による象牙質の変化
- タバコのヤニ
- 神経が死んでしまった歯の変色
これらに対して、当院では科学的に安全性の高い方法でホワイトニングを行っています。
グランドメゾンデンタルクリニックの4つのホワイトニングメニュー
1. 【ポリリンホワイトニング】
食事制限なし・
痛みが少ない人気メニュー
当院で最も人気のあるホワイトニングが「ポリリン酸ホワイトニング(分割ポリリン酸Na)」です。
特徴
- 食事制限が不要(施術後すぐにカレーやコーヒーもOK)
- 痛みが非常に少ない
- 透明感のある自然な白さ
- 歯質の強化・ステインの再付着防止効果もあり
患者様からは「直後から白さを実感できた」「歯の表面がツルツルになった」と高評価をいただいています。
2. 【オフィスホワイトニング】
即効性重視の方におすすめ
専用の薬剤と照射機を使って、歯科医院内で一気に白くするのが「オフィスホワイトニング」です。1回の施術でも白さの変化が明確にわかるため、短期間で効果を出したい方におすすめです。
おすすめの方
- 結婚式や写真撮影前に白くしたい
- 人前に出るお仕事をされている
- 忙しくて自宅でのケアが難しい
当院では、知覚過敏リスクの低い薬剤を使用し、安心して受けられるよう配慮しています。
3. 【インナーブリーチ】
神経を取った歯の黒ずみに対応
神経が死んでしまった歯は、内部から黒ずんでくることがあります。その場合、外側のホワイトニングでは効果が出にくいため、「インナーブリーチ(ウォーキングブリーチ)」という方法で歯の内側から漂白します。
特徴
- 被せ物にせず、天然歯のまま白くできる
- セラミックより低コスト
- 歯を削る量を最小限に抑えられる
前歯の変色に悩んでいる方にとって、非常に有効な選択肢です。
4. 【ホームホワイトニング】
ゆっくり確実に白くしたい方に
自宅でマウスピースと専用ジェルを使い、少しずつ白くしていくのがホームホワイトニングです。
特徴
- 好きな時間に取り組める
- 白さが長持ちしやすい
- 色戻りが少ない
当院では、初回にしっかりと指導を行い、途中のチェックやジェルの補充もサポートしています。
よくある質問(FAQ)
- どのホワイトニングが
自分に合っているか分かりません。 - 初回カウンセリング時に、歯の色や状態、生活スタイルを伺いながら最適な方法をご提案します。
- ホワイトニングの効果は
どれくらい持ちますか? - 個人差はありますが、ポリリンホワイトニングは3〜6ヶ月程度。定期的なメンテナンスで白さを維持できます。
- 副作用や痛みはありますか?
- ポリリン酸ホワイトニングは痛みが非常に少ないですが、オフィスホワイトニングなどでは知覚過敏が出る場合があります。
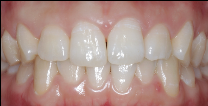
Before/After紹介
実際にグランドメゾンデンタルクリニックでポリリンホワイトニングを受けた患者様の症例をご紹介します。
(※添付画像:施術前後の比較写真)
一回の施術でもこれだけ自然な透明感とツヤが戻り、笑顔に自信が持てるようになります。
治療前
治療後
池袋でホワイトニングを
ご検討中の方へ
当院では、医師・歯科衛生士ともに審美治療の経験が豊富で、単に「白くする」だけでなく、「自然に美しく」「健康的に白く」仕上げることを大切にしています。
まずはお気軽に無料カウンセリングにお越しください。
ご予約・お問い合わせ
📍グランドメゾンデンタルクリニック(池袋駅 徒歩3分)
📞03-5951-6020
🕐診療時間:10:00〜19:30(休診日:祝)
📩WEB予約はこちら
