前歯1本の
セラミック治療
― シングルセントラル
を自然に仕上げる
当院のこだわり
「前歯1本だと色
が合わない」と
言われていませんか?
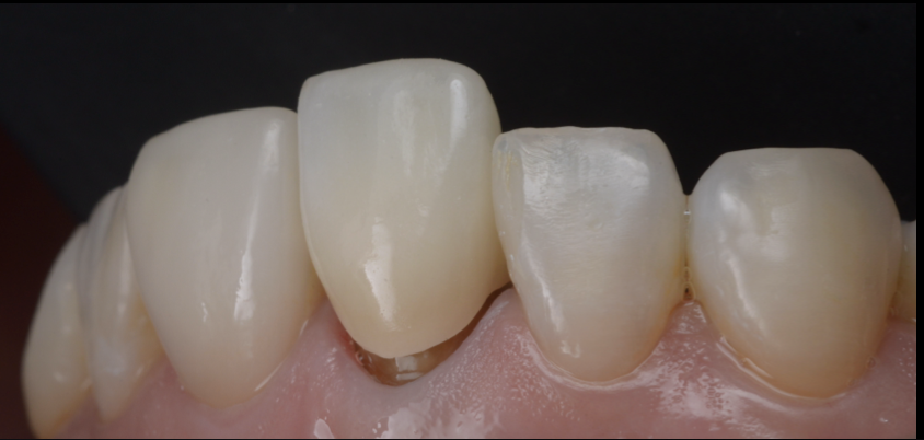
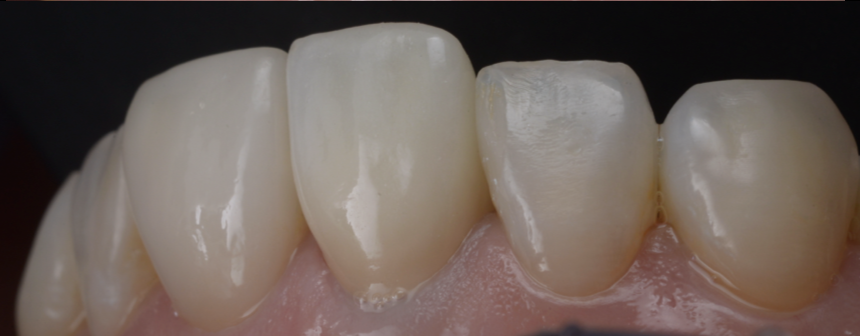
治療前後比較
治療前

治療後

前歯の治療は、お口全体の印象を大きく左右する非常に繊細な領域です。
特に「前歯1本だけのセラミック治療(シングルセントラル)」は、審美歯科の中でも最も難しい分野といわれています。
そのため、他院で相談した際に
「1本だけだと他の歯と色が合わないので、全体的にやらないときれいになりません」
と説明され、迷われている方も多いのではないでしょうか。
当院では、前歯1本だけでも周囲の歯と自然に調和させる治療をご提供しています。
シングルセントラルが
難しい理由
前歯1本のセラミック治療が難しいのには理由があります。
- 天然歯は、単純な「白」ではなく、透明感・グラデーション・光の透過性が複雑に混ざり合っている
- 1本だけ仕上げる場合、わずかな色調の違いでも目立ってしまう
- 前歯は会話や笑顔で最も人目につきやすい部位
こうした特性から、シングルセントラルは「審美歯科の中で最も技術力が試される治療」とされています。
当院が1本でも自然に
仕上げられる理由
技工士との密な連携
セラミックの色や質感を作るのは、歯科技工士の役割です。
当院では、必要に応じて技工士が実際に来院し、直接患者さんのお口を確認します。
また、院内で撮影する写真も、カメラの設定・光の条件を厳密に合わせることで、情報を正確に共有しています。
こうした一手間を積み重ねることで、天然歯と見分けがつかないレベルの色合わせが可能になります。
色だけでなく「形・ボリューム・
歯肉との調和」
セラミックの自然さは、色合わせだけでは成り立ちません。
- 周囲の歯の厚みやラインを細かく分析
- 歯肉との境目が自然に馴染むように調整
- 表面の質感や透明感も再現
これらを丁寧に仕上げることで、違和感のない前歯を実現しています。
ホワイトニングを
組み合わせる方法
場合によっては、セラミックの色に合わせて周囲の歯をホワイトニングでトーンアップすることもあります。
こうすることで、1本だけ浮いて見えることを防ぎ、全体的に明るく調和した印象をつくることができます。
- 「他の歯より白すぎて目立つ」
- 「逆に暗くて浮いてしまう」
といった問題を避けるために、ホワイトニングと組み合わせたトータルアプローチをご提案しています。
症例紹介 ―
1本のセラミックで
自然に仕上がった例
下の症例は、実際に当院で前歯1本をセラミックで修復した患者さんです。
「全体的にやらないと無理」と言われたケースでも、1本だけでここまで自然に仕上げることが可能です。
他院との違い
― 当院の強み
- シングルセントラルでも高い完成度
- 技工士と歯科医師のチームアプローチ
- 撮影・情報共有の徹底管理
- 色だけでなく形・歯肉との調和を重視
- 必要に応じてホワイトニングを組み合わせる柔軟性
「1本だけだから無理」と諦める必要はありません。
当院では、前歯1本のセラミックでも自然に美しく仕上げることを目指しています。
まとめ
前歯1本のセラミック治療は、審美歯科の中でも最も繊細で難しい治療です。
しかし、当院では 技工士との密な連携、写真撮影の徹底、形態・歯肉との調和、ホワイトニングの併用 といった多角的な取り組みにより、違和感のない自然な仕上がりを実現しています。
「1本だけだから浮いてしまうのでは…」と悩んでいる方も、ぜひ一度ご相談ください。
前歯の美しさは笑顔の印象を大きく変え、日常に自信をもたらします。
