【池袋】この歯、
残せる?
──抜歯と診断
された歯を
精密治療で守る選択
抜歯が推奨される
理由と、当院での
判断基準
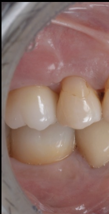
治療前

治療後

「他院で抜歯しかないと言われた」そんな患者さんが当院に来られることは少なくありません。
今回ご紹介するのは、歯質がほとんど残っておらず、根尖病巣も伴っていた症例。
通常であれば抜歯・インプラントが一般的なケースでしたが、当院では精密根管治療・歯周組織再生療法・咬合平面の是正を組み合わせ、最終的にご自身の歯を保存することができました。
この症例のように、
- 残存歯質が少ない
- 根尖病変がある
- 骨レベルよりも歯根が逸脱している
といった条件では、ルートカバレッジの成功率も低く、保存は難しいとされます。
しかし、「残せる可能性を最大限に探る」ことが、私たちの治療方針です。
CTとマイクロスコープによる診断をもとに、感染の可逆性と骨再生の可能性を慎重に見極めました。
治療プロセス
① 精密根管治療(感染源の除去)
マイクロスコープ下で根尖部の感染を完全に除去。
ラバーダム防湿下で根管内を清掃・消毒し、MTAによる封鎖を行いました。
② 歯周組織再生療法
(支持組織の回復)
吸収性膜と再生因子を用いて、失われた歯槽骨の再生を誘導。
これにより歯の動揺を抑え、安定した歯周支持を獲得しました。
③ 咬合平面の是正
挺出によるクリアランス不足を補正し、機能的・審美的な咬合を再構築。
最終的にセラミック修復で歯列調和を取り戻しました。
治療後の経過
治療から1年後も良好な経過を維持しています。
- 骨の再生が確認でき、根尖病変は消失
- 歯の動揺もなく、噛み合わせも安定
- 審美的にも自然な仕上がりに
インプラントを選ばずに天然歯を残すことができた症例です。
抜歯を回避できる
条件とは?
すべての歯が残せるわけではありません。
しかし、以下の3つの条件が揃えば保存の可能性は大きく高まります。
- 感染源をマイクロスコープで確実に除去できる
- 残存歯質が補綴設計に耐えうる量ある
- 支持骨・歯周組織の再生が可能
当院では、保存・インプラント・ブリッジなど、複数の治療計画を比較し、最も長期的に歯を守れる選択肢をご提案しています。
まとめ:抜く前に、
ぜひご相談ください
「この歯、残せないですか?」
そう感じた時こそ、ぜひ精密診断を受けてから判断してほしいと思います。
グランドメゾンデンタルクリニック池袋では、歯科用CT・マイクロスコープ・歯周再生技術を活用し、“抜かない選択肢”を追求しています。
インプラントがすべてではありません。
残す価値のある歯を、丁寧に診て、可能な限り残す。
それが、私たちの理念です。
