【池袋】
この歯残せる?
シリーズ
抜歯と言われた歯を
“外科なし”で保存
精密根管治療×補綴
×咬合設計で
守り抜いた症例
はじめに
「抜歯しかない」と言われた
その歯、本当に残せない?
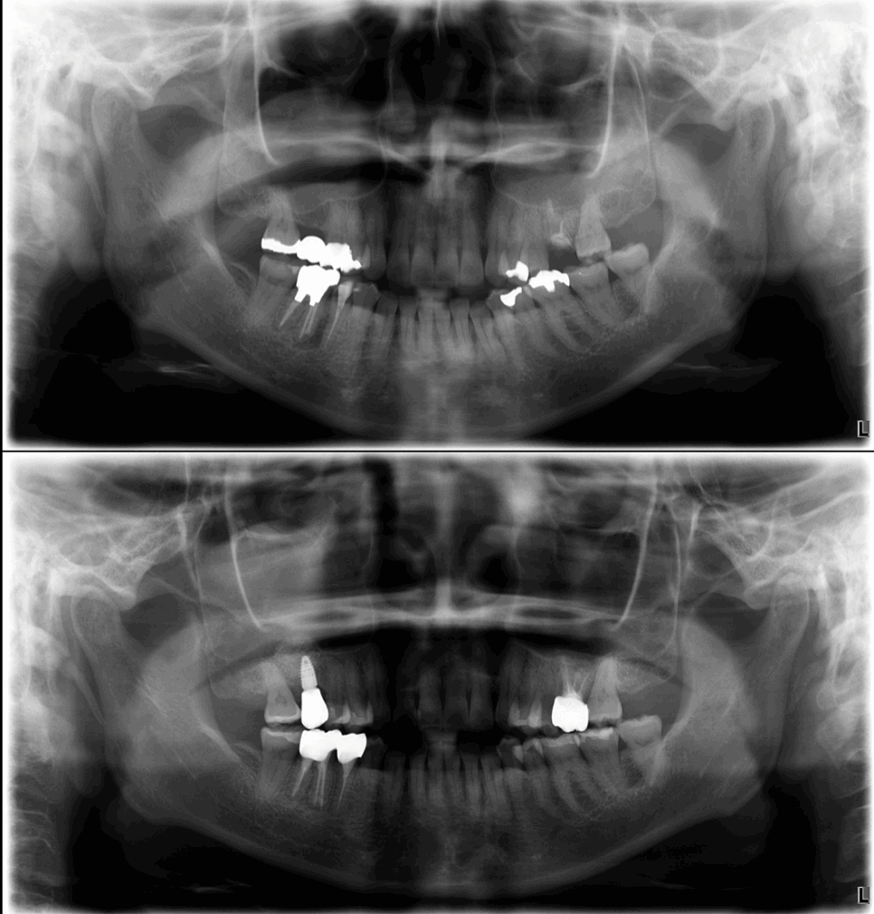
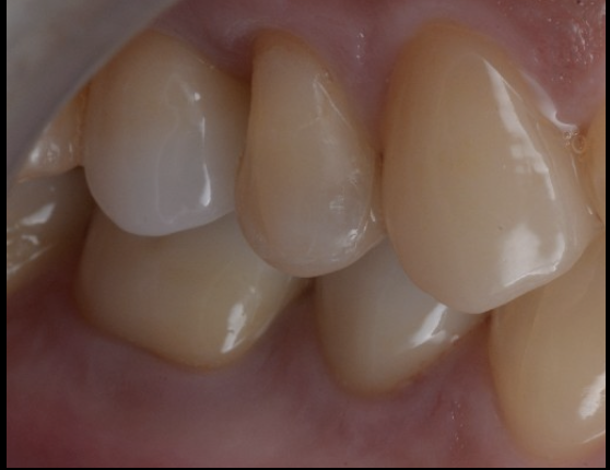
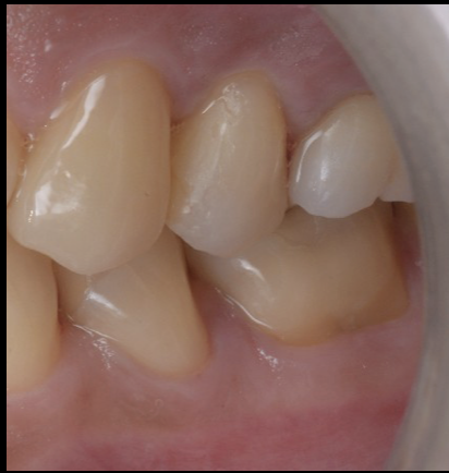
治療前

治療後

池袋のグランドメゾンデンタルクリニックには、毎日のように
「他院で抜歯と言われたが、どうしても残したい」
という患者様が来院されます。
特に以下のような状態は、一般的な歯科医院では“抜歯の判断”が下されやすくなります。
- 残根状態
- 歯冠の大部分が崩壊
- 深い虫歯
- 根尖部の透過像(膿の影)
- 亀裂が疑われる
- 被せ物が何度も外れる
しかし、精密な診断と適切な治療ステップを踏めば、抜歯以外の選択肢が見えてくるケースは非常に多いのです。
今回ご紹介する症例は、他院で「抜歯しかありません」と診断された歯を、外科処置を一切行わず、
「精密根管治療 × バーティカルプレパレーション × 歯肉コントロール × 咬合調整」
の4本柱で保存したケースです。
症例概要
残根・亀裂疑いで抜歯宣告された歯
初診時の口腔内・レントゲンでは、以下の問題点が見られました。
- 二次カリエスによる大きな歯質欠損
- 残根に近いレベルまで崩壊
- 歯質の薄さから保持力がほぼ不可能
- 根尖に透過像(炎症の影)
- 噛むと痛い(咬合性の問題も併発)
- 被せ物が繰り返し脱離している既往
一般的な診断だと、
「残せないので抜歯してインプラントかブリッジですね」
となる典型例のひとつです。
しかし、池袋院ではマイクロスコープによる精密診断により、“保存の可能性がある歯”と判断しました。
池袋院の治療コンセプト
外科に頼らず“機能回復”をめざす
池袋院は
「歯を残すために、できることを最大限に行う」
という方針を徹底しています。
今回の症例で行った処置は、次の4つだけです。
① 精密根管治療
(マイクロスコープ
× ラバーダム)
治療の根幹となるのが、感染源の徹底除去。
ラバーダム防湿+マイクロスコープ拡大視野で、
- 感染した象牙質・根管内の感染物質の除去
- 破折線の有無の確認
- 歯質の厚みと予後の評価
- 根尖部の炎症のコントロール
を丁寧に行います。
特に今回重要だったのは、「破折かどうか」を正確に見極めること。
歯を残せるかどうかは、ここでほぼ決まります。
診断の結果、
致命的な破折はなく、歯質は薄いものの補綴で補強可能と判断しました。
根管治療後には、根尖の透過像が明らかに改善し、炎症もコントロールされました。
② バーティカル
プレパレーション
(垂直支台歯形成)
残根状態の歯は高さが足りず、従来の支台歯形成では
- 被せ物が外れやすい
- 清掃性が悪化
- 歯肉炎が再発しやすい
という問題が起きがちです。
そこで、池袋院ではバーティカルプレパレーション(BOPT含む)という高度な形成技術を採用しています。
これにより
- 歯質を最大限に温存
- 歯肉が自然で美しく仕上がる
- 適合精度の高いクラウンが作れる
- 外科なく歯肉ラインを整えられる
今回の症例も、外科処置を行わずに、歯肉が自然に健康的なラインへ整いました。
③ 歯肉の軟組織
コントロール
(外科なし)
外科(クラウンレングスニングや歯周外科)を行わずに歯を残すには、
補綴と歯肉の関係を緻密にコントロールする必要があります。
池袋院では、
- 歯肉圧排のテクニック
- 仮歯の形態による歯肉誘導
- 最終補綴物のエマージェンスプロファイル設計
- により、歯肉ラインを整えます。
その結果、
治療後には歯肉の炎症も消失し、自然な歯肉形態が獲得できました。
④ 咬合(噛み合わせ)の
精密調整
被せ物が繰り返し外れる背景には、咬合の問題が潜んでいる ことが少なくありません。
今回も、噛むたびに一点に強い力が集中している状態でした。
池袋院では、
- 噛み合わせ平面の整合性
- 側方運動の干渉
- 垂直・水平的な力のバランス
を総合的に評価し、クラウン装着後も微調整を重ねました。
これにより、
破折リスクを劇的に下げ、長期安定性を高めることができました。
治療後の結果
治療終了後は以下の改善が得られました。
- 痛み・腫れの消失
- レントゲン上の透過像の縮小
- 歯肉が健康的なラインに安定
- セラミッククラウンが自然に適合
- 咬合が安定し、日常生活の痛みが消失
- 外科なしで歯を残すことに成功
患者様も「抜かなくて本当に良かった」と大変満足されていました。
「抜歯と言われたけど、
本当に残せないの?」
池袋院には、
毎月のように「抜歯回避の相談」が寄せられます。
- 他院で抜歯と言われた
- 残根になっている
- 亀裂があると言われた
- 何度も被せ物が外れる
- インプラントは避けたい
このような状態でも、診断と治療が変われば、歯を残せる可能性は十分あります。
もちろん、残せないケースもありますが、「最初から抜歯前提の診断」か「残すために最大限の評価をした診断」かで結果は大きく変わります。
まとめ
外科なしで歯を残す選択肢を池袋で
今回の症例は、外科処置ゼロで歯を残すことができた治療です。
これは「精密根管治療」「補綴の技術」「咬合診断」が揃って初めて可能になります。
池袋で
- 歯を残す治療がしたい
- 抜歯回避を相談したい
- マイクロスコープで丁寧に診てほしい
- インプラント以外の選択肢を探したい
という方は、ぜひ一度ご相談ください。
池袋のグランドメゾンデンタルクリニックは、“可能性を残す診断と治療”を常に大切にしています。


