池袋で歯周病の
非外科治療なら
グランドメゾン
デンタルクリニック
「手術が必要」と
言われた歯周病でも
池袋のグランドメゾン
デンタルクリニックでは
“非外科治療”で改善できる
可能性があります
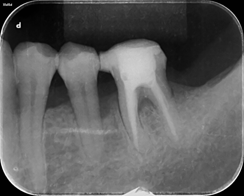
治療前

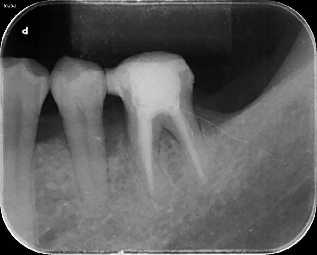
治療後

「歯周病が進行しているので、手術をしないと治りません」
そう説明され、不安な気持ちで当院を受診される方が、池袋にも少なくありません。
確かに、重度の歯周病では外科的な処置(フラップ手術や歯周再生療法など)が必要となるケースがあります。
しかし、“歯周病=すぐ手術”というわけではないのが、グランドメゾンデンタルクリニックの考え方です。
当院では、拡大視野での精密な非外科治療を徹底することで、
- 「切らなくてもここまで良くなるとは思わなかった」
- 「抜歯しかないと言われていた歯が残せた」
とおっしゃる患者さんも多くいらっしゃいます。
外科治療も行う池袋の
歯科だからこそわかる、
非外科治療の
“本当の可能性”
グランドメゾンデンタルクリニックでは、重度歯周病に対する歯周外科治療も日常的に行っています。
マイクロスコープ(歯科用顕微鏡)を活用したフラップ手術や、歯周再生療法など、外科的なアプローチは当院の得意分野のひとつです。
だからこそ実感しているのは、
「正しいステップで非外科治療を行えば、歯ぐきは想像以上に回復してくれる」
という事実です。
他院で「もう抜くしかない」「大きな手術が必要」と言われた方でも、当院で
- 改めて精密検査を行い、状態を“見直す”
- マイクロスコープを用いて、見落としのない非外科処置を行う
- 歯科衛生士がセルフケアをマンツーマンでサポートする
といったプロセスを踏むことで、炎症が落ち着き、歯を残せたケースも決して少なくありません。
大切なのは、
- 手術を頭ごなしに否定することでも、
- 何でもかんでもすぐ手術・抜歯に進めてしまうことでもなく、
「本当に必要なところだけ、最小限に外科治療を行う」というバランスだと考えています。
当院が行う「歯周病の
非外科治療」とは?
歯周病の非外科治療とは、歯ぐきを切開せずに歯周ポケットの内部を徹底的に清掃する治療です。
一般的にはスケーリング・ルートプレーニング(SRP)と呼ばれる処置ですが、当院ではそこに“精密さ”と“見える治療”を加えています。
拡大鏡・マイクロスコープで
歯周ポケット内部まで
しっかり確認
肉眼では見えないレベルの歯石の取り残しや、わずかな段差・凹凸。
こうした細かな要素が、炎症や出血が続く原因になることがあります。
グランドメゾンデンタルクリニックでは、拡大鏡やマイクロスコープを用いて、
- 歯周ポケットの中の状態を拡大して確認しながら
- 歯石やバイオフィルムをひとつひとつ丁寧に除去
していきます。
「どこまで汚れが取れているか」を確認しながら行う非外科治療は、再発リスクを減らし、治癒を促すうえで非常に重要です。
担当衛生士制で、セルフケアを
しっかりサポート
歯周病治療のカギは、医院での処置だけでなく、ご自宅での毎日のケアです。
どれだけ歯科医院で歯石を取っても、ブラッシングや歯間清掃がお口の状態に合っていなければ、歯周病は再び悪化してしまいます。
そのため当院では、患者さんごとに担当となる歯科衛生士が、
- 歯ブラシの選び方・当て方
- 効率的に磨く順番や時間配分
- 歯間ブラシ・フロスのサイズと使い方
- 忙しいライフスタイルに合わせた現実的なケア方法
などを、模型や写真を使いながら丁寧にお伝えします。
「今まで自己流だったが、磨き残しのクセがわかった」
「アドバイス通りに続けたら、歯ぐきの出血が減ってきた」
といった変化が出てくると、患者さんご自身が歯ぐきの調子の違いを実感しやすくなります。
生活習慣・全身状態も含めた
トータルな歯周病ケア
歯周病は“お口だけの病気”ではなく、全身や生活習慣とも深く関わっています。
- 喫煙の習慣
- 糖尿病などの全身疾患
- 強い噛みしめ・歯ぎしり
- ストレスや睡眠不足
- 間食の頻度、食事内容 など
「なぜこの方は炎症が続きやすいのか」
「どこを見直せば、もっと歯ぐきが安定するのか」
といった視点で、生活背景も含めたアドバイスを行うことで、
“再発しにくい環境づくり”を一緒に行うことを大切にしています。
こうした非外科治療だけで、
- 歯ぐきの腫れが引いてきた
- 出血しにくくなった
- 歯のグラつきが落ち着いてきた
という変化が見られる患者さんも多くいらっしゃいます。
非外科だけでは
難しい場合は?
的確に見極めて
外科治療へ
もちろん、すべての歯周病が非外科治療だけで治るわけではありません。
次のような場合には、外科的なアプローチが適切な選択となることがあります。
- 非外科治療を続けても、深い歯周ポケットや出血が残っている
- 歯を支える骨(歯槽骨)の欠損が複雑で、見えないところに炎症が残っている
- ごく一部の歯だけ、どうしても腫れやすく、治りきらない
このようなケースでは、当院では
- 歯周ポケット検査
- レントゲン・CT撮影などによる精密診査
- マイクロスコープでの視診
を行い、
- どの部位が外科治療の対象になるのか
- どこまでは非外科でコントロールできるのか
- 抜歯が妥当かどうか
を慎重に判断します。
「非外科にこだわりすぎて、外科のタイミングを逃してしまう」
「逆に、すぐ“手術ありき”で話が進んでしまう」
どちらも、患者さんの将来のことを考えると理想的ではありません。
グランドメゾンデンタルクリニックでは、“診断力 × 技術力”を活かし、
- 不必要な手術は行わない
- 必要な場合は、タイミングと範囲を見極め、最小限の侵襲で行う
という方針で、歯周病治療に取り組んでいます。
外科・非外科の両輪で、
あなたの歯を守る
外科的アプローチも含めた歯周病治療を行っているからこそ、
- 本当に外科が必要なケース
- 非外科だけでも十分に改善できるケース
の線引きが、より明確に見えてきます。
私たちの最終的なゴールは、「非外科で治した」「外科で治した」といった“治療方法そのもの”ではありません。
“できるだけ歯を残し、健康な歯ぐきで長く噛める状態をつくること”
それこそが、グランドメゾンデンタルクリニックの歯周病治療の目的です。
- 非外科治療で、歯ぐきの自然な回復力を最大限に引き出す
- 必要最小限の外科処置で、届かない部位の炎症を取り除く
- メインテナンスで、良い状態を維持していく
この三つの柱で、池袋エリアの皆さまの大切な歯を守っていきたいと考えています。
「手術しかない」
と言われた歯周病で
お悩みの方へ
【池袋エリア】
- 他院で「もう治らない」「抜くしかない」と言われてしまった
- 手術が怖くて、なかなか治療に踏み出せない
- セカンドオピニオンとして意見を聞いてみたい
このようなお悩みがある方は、ぜひ一度、池袋のグランドメゾンデンタルクリニックにご相談ください。
非外科でどこまで改善できる可能性があるのか、もし外科治療が必要な場合には、どの程度の処置なのか──
現在のお口の状態を客観的に診断し、撮影した画像や模型などをお見せしながら、わかりやすくご説明します。
私たちは、
- 不必要な手術や抜歯は勧めないこと
- どうしても必要な場合は、その理由とメリット・デメリットを丁寧にお伝えすること
- 可能な限り“低侵襲”な治療法を選択すること
を大切にしています。
池袋で歯周病治療の
歯科医院をお探しの方へ
グランドメゾンデンタルクリニックは、池袋エリアで
- マイクロスコープを用いた精密歯周病治療
- 非外科・外科の両面からの歯周病アプローチ
- 長期的なメインテナンス・予防
に力を入れている歯科医院です。
「手術が必要と言われたけれど、他の選択肢も知りたい」
「できれば歯を残してあげたい、と考えてくれる医院を探している」
そんな方は、相談だけでも構いません。
あなたの歯が“まだ治せる”可能性を、一緒に探していきましょう。
