[池袋 歯医者]
サイナスリフトを回避できる?
低侵襲な
『ソケットリフト』とは
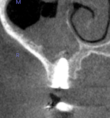
治療前

治療後

インプラント治療を希望される方の中には、上顎の骨の高さが足りず「骨造成(こつぞうせい)」が必要になるケースがあります。特に上顎臼歯部(奥歯)では、上顎洞(サイナス)と呼ばれる空洞が近くにあるため、サイナスリフトという大掛かりな手術を提案されることがあります。
しかし実は、症例によってはより**低侵襲(身体への負担が少ない)**な「ソケットリフト」という方法で、サイナスリフトを回避できる可能性があります。
ソケットリフトとは?
ソケットリフトは、インプラントを埋入する部位の骨の高さがおよそ5〜7mm以上ある場合に選択できる手術法です。インプラントを埋入する際、専用の器具で上顎洞の底を持ち上げて、同時に骨補填材を注入することで、骨の高さを確保します。
ポイントは、インプラントの埋入と同時に骨造成が行えるという点。手術の回数や治療期間を短縮できるだけでなく、術後の腫れや痛みも軽減されるため、多くの患者様にとってメリットのある選択肢となります。
サイナスリフトとの違い
|
比較項目 |
ソケット |
サイナス |
|---|---|---|
|
骨の高さの適応 |
約5〜7mm以上 |
約5mm未満 |
|
手術の方法 |
上から骨を持ち上げる |
側方からアプローチ |
|
手術の侵襲 |
小さい(低侵襲) |
大きい(高侵襲) |
|
術後の腫れ・痛み |
比較的少ない |
比較的強い |
|
治療期間 |
短くなる傾向 |
長くなる傾向 |
どちらが適しているかはCT診断がカギ
すべての患者様がソケットリフトで対応できるわけではありません。CTを用いた精密な診断により、骨の量や質、上顎洞の位置を把握し、最適な治療法を選択する必要があります。当院では、綿密な診査診断に基づいたカスタムメイドのインプラント治療を提供していますので、ぜひ一度ご相談ください。
まとめ
「骨が少ないからインプラントは無理」と言われた方も、ソケットリフトという選択肢があるかもしれません。身体への負担を最小限に抑えながら、しっかり噛める喜びを手に入れていただくために、当院では最新技術と確かな診断でサポートいたします。
無料カウンセリング実施中です。インプラントでお悩みの方は、ぜひお気軽にお問い合わせください。

当院が実践しているソケットリフトについてケースを踏まえて説明させていただきます。
このケースでは上顎洞の手術をする際にリスクとなる、後上歯槽動脈の位置と隔壁や上顎洞の形態的にサイナスリフトが非常に困難な状況でした。合わせて、患者様の希望により可能な限り治療期間を短くしてほしいとのことも踏まえてソケットリフトによる抜歯即時インプラント埋入術を行いました。
この術式では診断や技術はもちろんのこと、リンキヴィシャス先生のゼロボーンロスコンセプトとストローマン社のインプラントが鍵となっております。
従来はインプラント体の先端部での固定を重要視しており、ソケットリフトにはある程度の骨長と先端部を覆うだけの骨移植が必要でした。その分、適応症が限られていました。
しかし、現在では側方骨での固定の有効性がわかり幅の広いワイドインプラントを使用することで必ずしもガイドライン上の骨長がなくてもソケットリフトが可能なケースが増えてきました。
グランドメゾンデンタルクリニックでは、精密な診査・診断と上顎洞の手術に長けた専門のドクターによるカウンセリングを行なっておりますので、お気軽にご相談ください。

