[池袋で丁寧な虫歯治療]
小さな虫歯だからこそ、
歯の寿命を延ばす
精密治療を
治療前

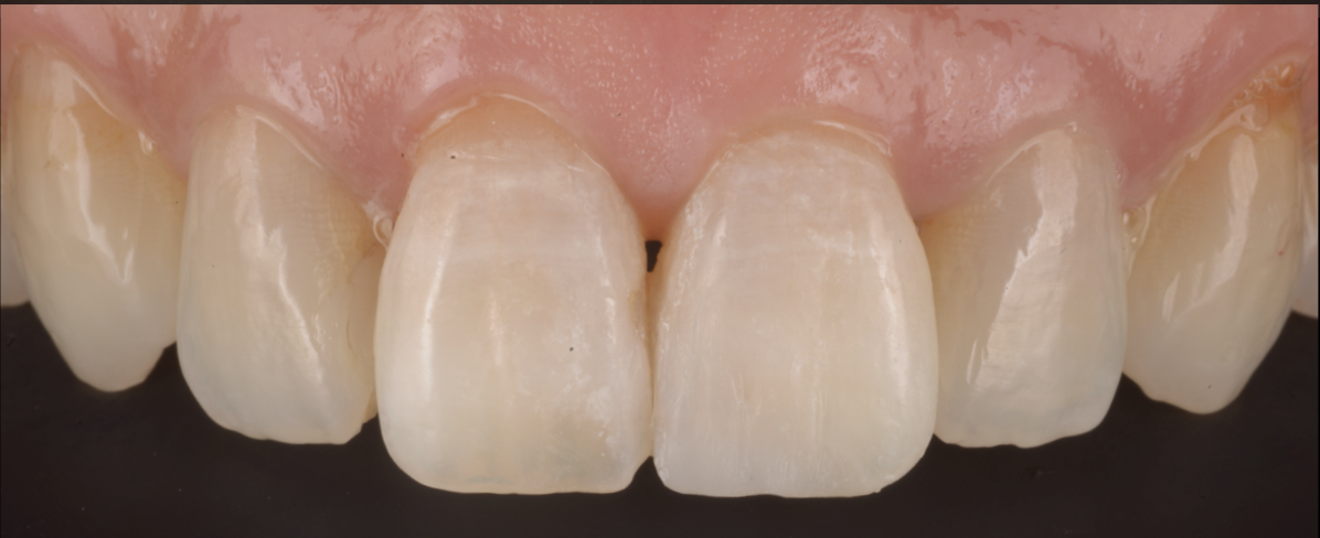
治療後

~ダイレクトボンディング治療の重要性~
「虫歯は小さいから大丈夫」と思っていませんか?
実は、小さな虫歯こそ、しっかりとした初期治療を行うことで、将来的に歯の寿命を大きく伸ばすことができるのです。
当院では、ダイレクトボンディングという最新の接着技術を用いた治療を行っています。見た目が自然なだけでなく、歯へのダメージを最小限に抑えられる「低侵襲治療」として非常に有効です。
ダイレクトボンディングとは?
天然歯に近い色調のレジン(歯科用樹脂)を直接詰めて形を整える治療法です。
歯を削る量が少なくて済むため、「歯質をできる限り残す」ことができます。
- 天然歯と調和した自然な仕上がり
- ラバーダム下で行うため再感染リスクが低い
- 必要最小限の切削で歯の強度を維持
精密なアイソレーションで再感染を防ぐ
私たちの行うダイレクトボンディングでは、必ずラバーダムを使用します。
これは、治療中に唾液や細菌が患部に入ることを防ぐゴムのシートです。
なぜそこまでこだわるのか?
それは、象牙質(歯の中層)は筋肉や血管と同じ「体内組織」だからです。
感染させない環境で治療することは、再発リスクを大きく下げるうえで非常に重要なのです。
歯質の温存=歯の寿命を延ばす
金属や大きな詰め物による治療では、健康な部分まで大きく削ることが少なくありません。
一方、ダイレクトボンディングは、虫歯部分だけを選択的に除去し、健康な歯を守ります。
「小さな虫歯だからこそ、大きく削らない」
この発想こそが、歯を一生使うための第一歩です。
美しさにもこだわる審美的アプローチ
最新のレジン素材は、天然歯とほとんど見分けがつかないほどの透明感・色調再現が可能です。
当院では、写真のように治療痕がわからない仕上がりを目指しています。
写真:術前(上)/ダイレクトボンディング後(下)
グランドメゾンデンタルクリニックのこだわり
- マイクロスコープを用いた精密な診断と形成
- ラバーダム&完全防湿環境での安心治療
- 機能美を意識した見た目と噛み合わせの設計
まとめ
小さな虫歯でも、治療の質によって将来の歯の状態は大きく変わります。
「どうせ詰めるなら、長持ちして綺麗な仕上がりがいい」
そんな方にこそ、ダイレクトボンディングはおすすめです。
池袋・グランドメゾンデンタルクリニックでは、歯を守るための選択肢を丁寧にご提案しています。
気になる歯がある方は、ぜひお気軽にご相談ください。
