口腔外科認定医による
「腫れにくい・
怖くない」抜歯とは?
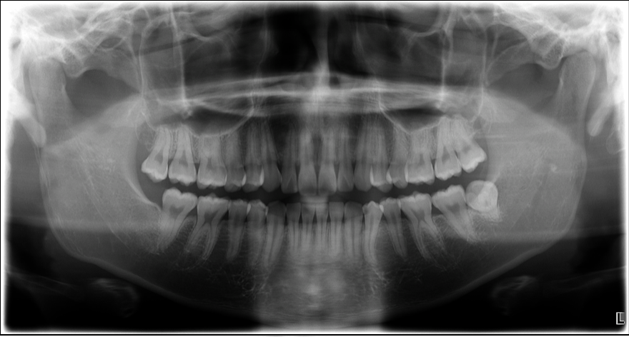
治療前

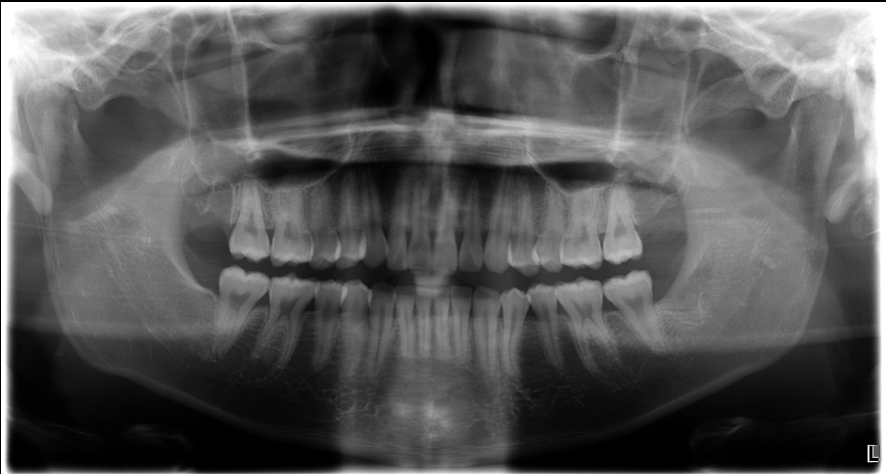
治療後

親知らずの抜歯というと「痛そう」「腫れそう」「怖い」
そんなイメージをお持ちの方も多いのではないでしょうか?
実際、親知らずの抜歯後に顔が腫れたり、痛みや出血でつらい思いをされたという声も耳にします。
ですがご安心ください。
池袋にあるグランドメゾンデンタルクリニックでは、日本口腔外科学会認定医による、安全で身体に優しい親知らず抜歯を行っております。
今回は、当院の親知らず抜歯に対するこだわりや、術後のダメージを最小限に抑えるポイントについてご紹介します。
口腔外科認定医
だからできる、
安全で丁寧な抜歯
親知らずの抜歯には、高度な診断力と外科的技術が求められます。
とくに「横向きに埋まっている」「神経に近い」「骨の中に深く埋まっている」などのケースでは、
一般歯科での処置が難しく、大学病院への紹介となることも珍しくありません。
当院では、大学病院での口腔外科経験を持つ日本口腔外科学会認定医が、池袋で直接抜歯を担当。
これまでに1,000症例以上の親知らず抜歯の実績があり、安全かつ精密な処置を提供しています。
当院のこだわり①|
なるべく骨を削らない
から、腫れにくい
一般的に、埋まっている親知らずを抜く場合には周囲の骨を大きく削って歯を取り出す方法がとられることがあります。
しかし、これは確かに短時間で抜歯できる反面、
- 術後の腫れ・痛みが強く出る
- 骨を失うことで奥歯の歯周病リスクが上がる
- 出血や開創範囲が広くなる
といった術後リスクが高くなります。
当院では、拡大視野での精密な処置により、可能な限り骨を削らず、歯だけを取り出す抜歯術式を採用しています。
無理に力を加えず、歯根の形や方向を的確に見極めてから、最小限の骨切削でアプローチします。
当院のこだわり②|
フラップ(歯ぐきの
切開)も最小限
歯ぐきを大きく開く(フラップ形成)ことも、術後の腫れ・痛みの原因となります。
当院では、歯ぐきの切開範囲も最小限にとどめる「低侵襲アプローチ」を重視。
粘膜に余計なダメージを与えないことで、出血量も減り、回復もスムーズです。
結果として、
- 術後の腫れがほとんど出ない
- 翌日から通常通り仕事に戻れる
- 痛み止めも最小限で済む
といった患者様にとってのメリットが非常に大きくなります。
当院のこだわり③|
無理な力をかけず、
怖くない
「親知らずの抜歯は、ガリガリ引っ張られて怖かった」という経験をされた方もいらっしゃるかもしれません。
当院では、歯に過剰な力を加えることは一切しません。
適切な切削と分割で、歯根が自然に浮かび上がるように抜歯を進めるため、
処置中に感じる「恐怖感」や「振動・音の不快感」も大幅に軽減されています。
また、表面麻酔+極細針での浸潤麻酔を使用し、
痛みに敏感な方にも安心していただける麻酔法を徹底しています。
骨を削るとどうなる?
術後リスクを考える
骨を広く削って抜歯すると、術中は早く終わるかもしれませんが、その代償として、
- 抜歯後に大きな「穴」ができる
- 奥歯の歯ぐきがやせて歯周病にかかりやすくなる
- 出血や疼痛が強くなる
- 骨の治癒に時間がかかる
などの長期的なダメージが残ることもあります。
だからこそ、当院では「ただ抜く」だけではなく、将来の歯ぐきや咬合(噛み合わせ)も見据えた親知らずの抜歯を行っています。
痛くなくても親知らずは
抜いた方がいい?
「痛みはないけど、親知らずが横向きに埋まっている」
そんな場合も、事前のレントゲンやCTで周囲の歯や神経への影響リスクを評価することが重要です。
親知らずが原因で以下のような問題が起こることがあります。
- 奥歯(第二大臼歯)の虫歯・歯周病
- 噛み合わせのずれ
- 口臭・炎症の繰り返し
- 歯列の圧迫や歯並びの乱れ
症状が出る前に抜歯をすることで、大きなトラブルを未然に防ぐことが可能です。
グランドメゾンデンタルクリニックでの親知らず抜歯:特徴まとめ
- 日本口腔外科学会認定医による処置
- 骨・歯ぐきへの侵襲を最小限に抑える術式
- 術後の腫れ・痛みをできるだけ少なく
- 完全個室・静かな環境での丁寧な対応
- CTによる事前の3D診断で安心
親知らずの抜歯を
ご希望の方へ
当院では、親知らずの無料相談やセカンドオピニオンも承っております。
📍 グランドメゾンデンタルクリニック
(池袋駅西口徒歩3分)
📞 03-5951-6020
📅 WEB・LINE予約対応
🦷 土曜診療あり・平日夜も通いやすい
「痛くないうちに抜くべき?」「腫れずに済む方法があるの?」など、どんなお悩みもお気軽にご相談ください。
