池袋で静脈内鎮静
による親知らずの
同日抜歯
歯科恐怖症の方も
安心して受けられる
全埋伏智歯抜歯の症例
症例概要
治療前後の比較
治療前

治療後

「親知らずの抜歯をしたいけれど、怖くてなかなか踏み出せない」
「大学病院での入院は仕事の都合で難しい」
そういったお悩みを持つ患者さまからのご相談が増えています。
池袋のグランドメゾンデンタルクリニックでは、歯科恐怖症の方や全身的な緊張が強い方にも配慮した「静脈内鎮静(セデーション)」を用いた親知らずの抜歯を行っています。
今回は、上下左右すべての完全埋伏智歯を1日で抜歯した20代女性の症例をご紹介します。
- 患者情報:20代女性
- 主訴:親知らずが痛む/一気に抜歯したい
- 既往:歯科恐怖症(過去の治療で嘔吐反射・失神歴あり)
- 全身状態:特記事項なし
- 診断:上下左右完全埋伏智歯(水平埋伏・近心傾斜を含む)
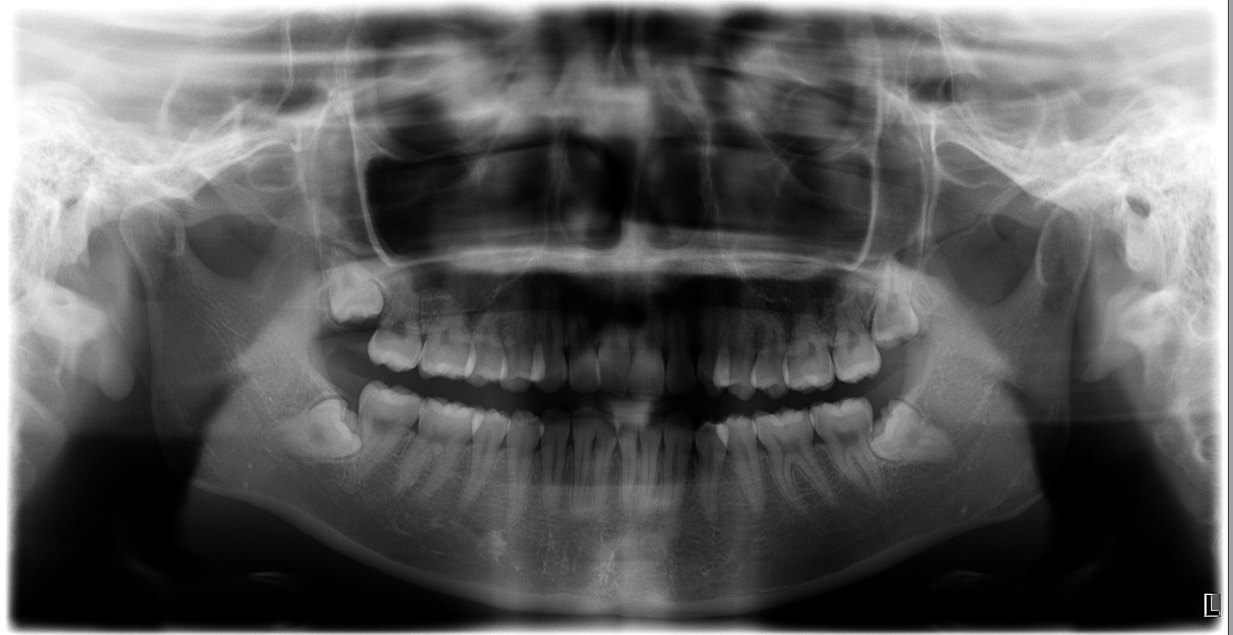
パノラマX線写真で、上下とも下顎管および上顎洞との近接が確認されました。
(※以下の画像は実際の術前・術後のパノラマ写真を掲載)
治療方針
大学病院での全身麻酔下抜歯も検討されましたが、患者様の仕事の都合上、入院が難しいため当院で静脈内鎮静法による一日4本同時抜歯を選択しました。
治療方針
- CTにて下歯槽神経・上顎洞との距離を正確に確認
- 静脈内鎮静+局所麻酔による完全無痛下で施術
- 上顎智歯は骨削除を最小限に、下顎智歯はマイクロサージェリー器具で安全に分割抜歯
- 吸収性縫合糸で縫合
- 術後は生理食塩水洗浄・止血確認のうえ、30分安静の後帰宅
術中・術後経過
術中は麻酔医立会いのもと、血圧・脈拍・SpO2をモニタリングしながら安全に施術。
術中の意識消失もなく、「気づいたら終わっていた」と術後に話されていました。
翌日の腫脹・疼痛は軽度で、抗菌薬・鎮痛薬を3日分処方し、翌週の経過観察でも感染・ドライソケットは認められませんでした。
使用した鎮静法
静脈内鎮静(IV sedation)
- 使用薬剤:ミダゾラム+プロポフォール(少量)
- 麻酔医がモニタリング下で実施
- 施術時間:約120分
- 覚醒まで約15分
この鎮静法により、歯科恐怖症や嘔吐反射のある方でもリラックスした状態で治療が可能です。
当院の静脈内鎮静下での
親知らず抜歯の特徴
1. 大学病院レベルの安全体制
- 麻酔専門医による管理下で施術
- 生体モニター(血圧・心拍・SpO2・ECG)を常時監視
- 緊急対応機器・酸素・吸引完備
2. マイクロサージェリー器具で
低侵襲抜歯
- ピエゾサージェリーを併用し、神経・骨へのダメージを最小限に
- 骨削除量を減らすことで、術後の腫れ・痛みを軽減
3. 一日での複数歯抜歯も可能
- 鎮静下での抜歯は時間的負担が少なく、上下左右4本同時抜歯も対応可能
- 忙しい社会人・学生の方にも最適な治療プラン
4. 歯科恐怖症・嘔吐反射
のある方に最適
- 記憶がぼんやりするため、「怖かった記憶が残らない」
- 精神的ストレスを最小限に抑えた安全設計
術後のケアと
アフターフォロー
- 24時間体制の緊急連絡サポート
- 翌日〜1週間後の経過チェック
- 術後腫脹予防のためのレーザー照射(オプション)も実施可能
- 抜歯後は必要に応じて再生療法による骨保全も行います
まとめ
静脈内鎮静による親知らずの抜歯は、「怖くて抜けない」「大学病院での入院が難しい」という方にとって、安全かつ快適に治療を完了できる選択肢です。
池袋のグランドメゾンデンタルクリニックでは、歯科恐怖症や嘔吐反射のある方にも配慮した完全モニタリング下の鎮静抜歯を行っています。
親知らずの抜歯や恐怖感でお悩みの方は、ぜひ一度ご相談ください。
お電話でのご予約
よくある質問
Q. 静脈内鎮静とは
どんな方法ですか?
A. 静脈内鎮静(セデーション)は、点滴で鎮静薬を投与し、ウトウトと眠っているような状態で治療を受ける方法です。
全身麻酔と違い、自発呼吸を保ちながらリラックスして治療を受けられるため、歯科恐怖症の方にも安心です。
Q. 一度に4本の親知らずを
抜くことはできますか?
A. はい、静脈内鎮静を併用することで、上下左右4本の完全埋伏智歯を同日に抜歯することも可能です。
体への負担や不安を最小限にし、忙しい方にも適した治療法です。
Q. 痛みや腫れは
どのくらいありますか?
A. ピエゾサージェリーなど低侵襲手法を用いることで、通常の抜歯よりも痛みや腫れを軽減できます。
術後は鎮痛薬でコントロールできる程度で、翌日には日常生活が可能なケースがほとんどです。
Q. 歯科恐怖症でも
受けられますか?
A. もちろんです。歯科恐怖症や嘔吐反射のある方も、記憶が曖昧になるほどリラックスして治療が受けられます。
「気づいたら終わっていた」というお声を多くいただいております。
Q. 大学病院に行かなくても
大丈夫ですか?
A. 神経や血管の位置をCTで正確に確認したうえで、安全に抜歯を行います。
大学病院での入院が難しい方にも、同等レベルの安全管理体制で対応しています。
