【70代男性】
ブリッジが壊れた
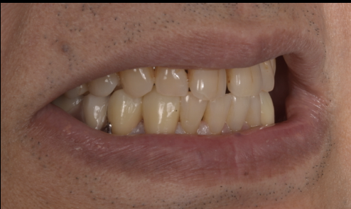
両側にロングスパンブリッジが入っており、荷重過多により破折を認めた。
患者様と相談の上、ミリングデンチャーによる咬合回復を行なった。
患者様と相談の上、ミリングデンチャーによる咬合回復を行なった。
治療前
治療後
入れ歯
補綴後
治療で得られるメリット:咬合の安定
| 担当医 | 生野 誠 |
|---|---|
| 主訴 | ブリッジを折れてそのままにしていた。入れ歯は裏側が厚いのが気になる。 |
| 期間 | 3ヶ月 |
| 費用 | 100万円 |
| 治療内容 | ミリングデンチャー |
| 治療に伴うリスク | 支台歯の動揺、破折 義歯の不適合 |
