症例をご確認いただけます|池袋駅西口徒歩5分・豊島区池袋の歯科医院「グランドメゾンデンタルクリニック」
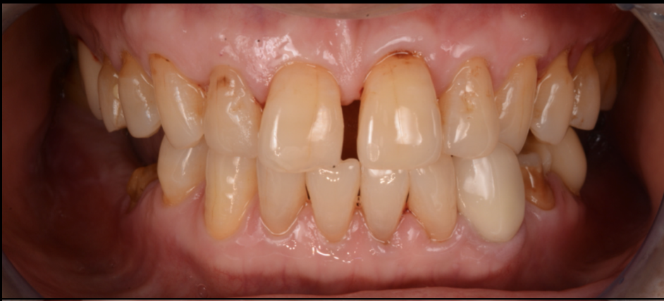
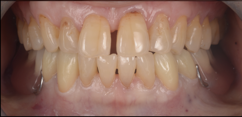
70代
【70代後半男性】
すでに入っているインプラントと
追加埋入および補綴治療で審美的機能的に回復させた症例
- 担当医
- 荻原 太郎
- 主訴
- 全体的に治したい
- 期間
- 2年
- 費用
- 700万円程度
- 治療内容
- インプラントと補綴治療
もともと入っていたインプラントを利用しながら全顎的に治療をした。
二度のプロビジョナルレストレーションを経ることにより最良の結果を得ることができた。
- 治療に伴うリスク
- インプラント周囲炎
補綴物の破損
【70代男性】
ブリッジが壊れた
- 担当医
- 生野 誠
- 主訴
- ブリッジを折れてそのままにしていた。入れ歯は裏側が厚いのが気になる。
- 期間
- 3ヶ月
- 費用
- 100万円
- 治療内容
- ミリングデンチャー
- 治療に伴うリスク
- 支台歯の動揺、破折
義歯の不適合