グランドメゾンデンタルクリニック
WEB診療予約
03-5951-6020
医院について
診療について
医院からのお知らせNews
お知らせ2022.05.28
分院オープンのお知らせ
医院ブログ2022.03.18
二度と虫歯にさせない 続き
医院ブログ2022.02.17
二度と虫歯にさせない
症例2022.02.17
【担当医:荻原太郎】ガミースマイルを改善する(歯...
症例2022.01.11
【担当医:荻原太郎】歯の神経を残す治療
症例2022.01.08
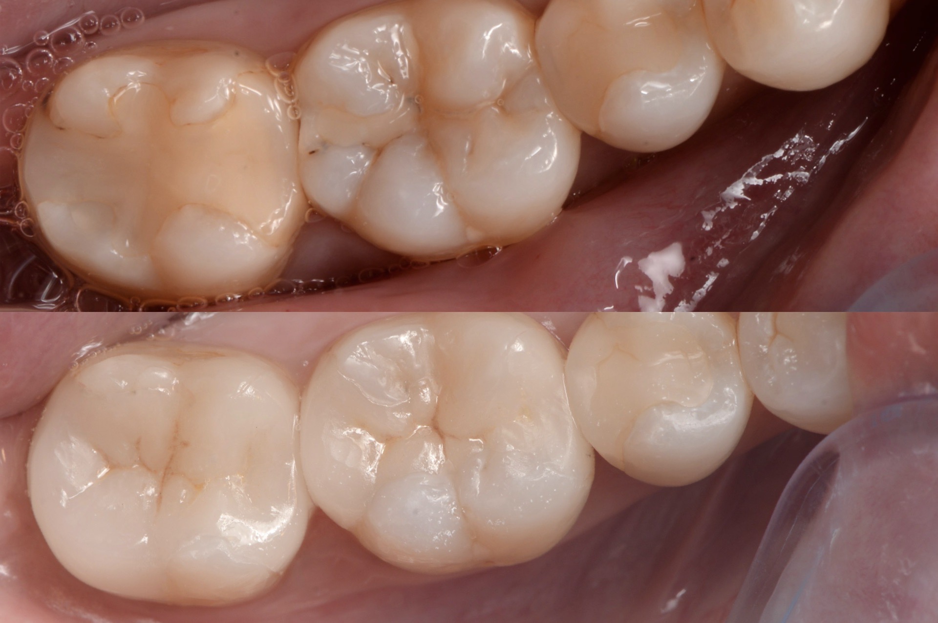
【担当医:荻原太郎】ダイレクトボンディング
症例2022.01.07
【担当医:荻原太郎】プロビジョナルレストレーション