グランドメゾンデンタルクリニック
WEB診療予約
03-5951-6020
医院について
診療について
医院からのお知らせNews
医院ブログ2025.02.06
歯周病の原因・治療法|歯周病専門 池袋の歯医者
他の医院で断られた難症例でもご相談ください
ガミースマイルの改善方法~専門医が解説する原因...
歯肉再生療法~歯を残すための歯周病治療~
骨造成:将来の健康を見据えた口腔環境改善の重要...
池袋でインプラント治療をお考えの方へ:アクセス...
お知らせ2024.12.27
【2024年】年末年始休診のお知らせ
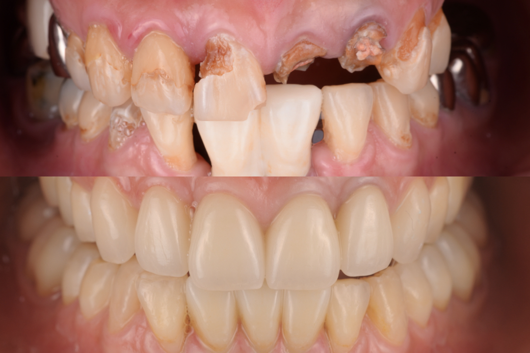
症例2024.09.20
【担当医;荻原太郎】膿が溜まっている歯の根っこ...
【担当医;荻原太郎】全体的な治療、審美治療、イ...