グランドメゾンデンタルクリニック
WEB診療予約
03-5951-6020
医院について
診療について
医院からのお知らせNews
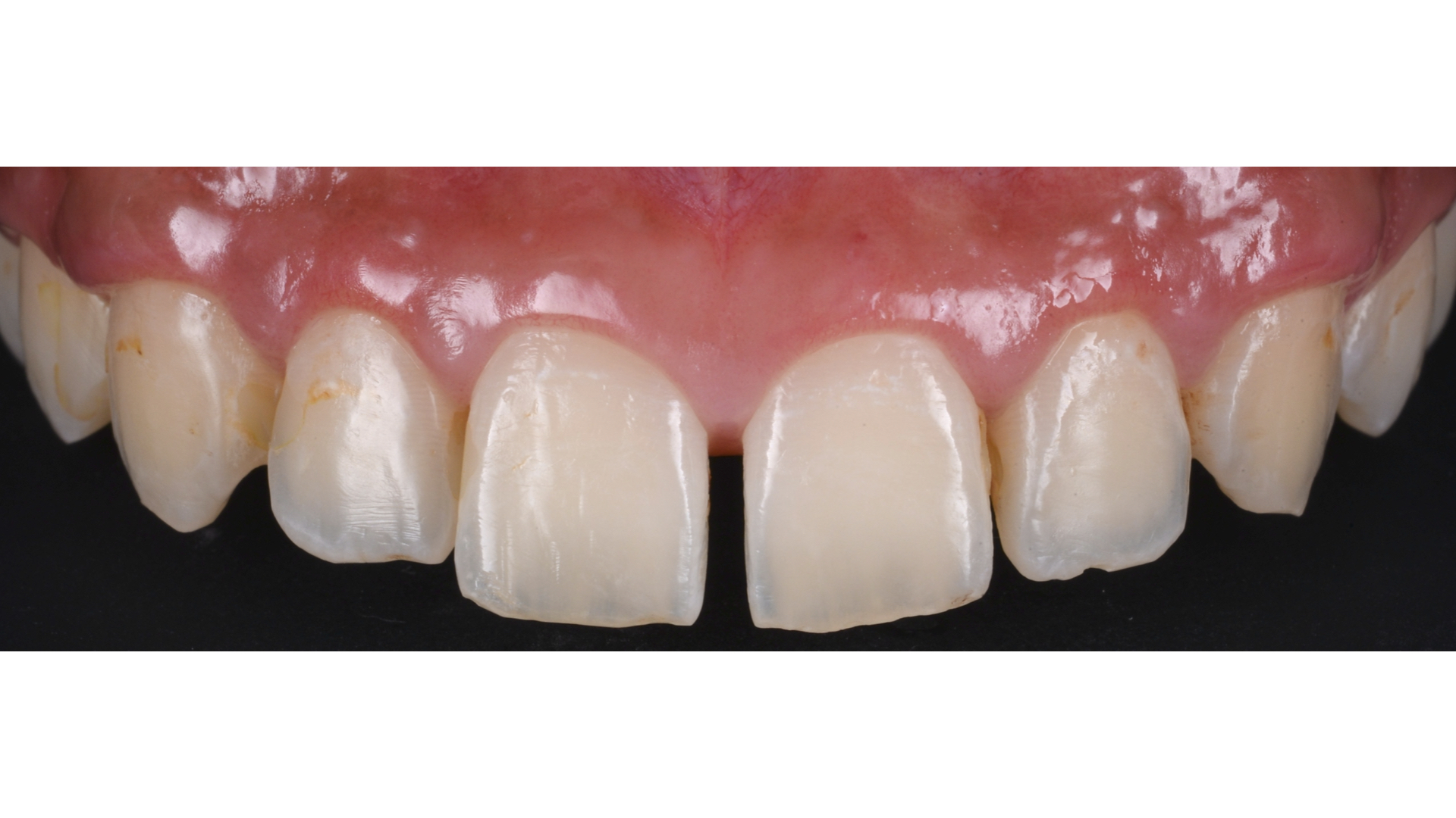
症例2023.01.24
【担当医:荻原太郎】すきっ歯 前歯の審美治療
【担当医:荻原太郎】重度の歯周病患者の審美治療
【担当医:荻原太郎】出っ歯の患者様のセラミック治療
お知らせ2023.01.24
荻原が歯科専門誌に掲載されました
症例2022.12.08
【担当医:荻原太郎】セラミックの装着
お知らせ2022.12.07
歯科専門書qdtに当院勤務医荻原太郎が掲載されました
日本国際歯科大会での講演が決まりました
症例2022.07.22
【担当医:荻原太郎】黒くなった前歯をダイレクトボ...
【担当医:荻原太郎】矯正治療によって生じた審美障...