【池袋 歯医者】被せ物のトラブルを防ぐ!クラウンレングスニングとは?
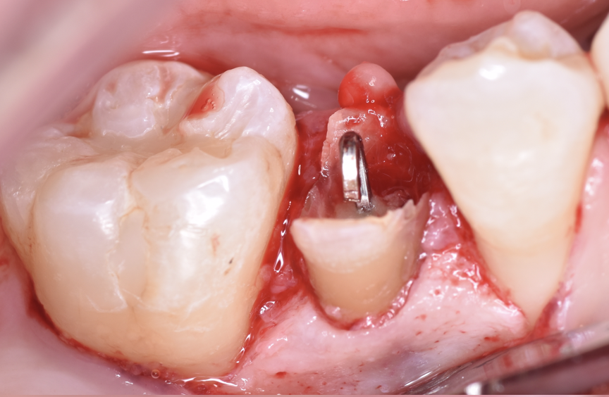
治療前

治療後

こんにちは。池袋駅近くの歯医者、グランドメゾンデンタルクリニックです。
「被せ物のところの歯茎から血が出る」「被せ物が割れた・外れた」
そんなお悩みをお持ちの方、実は歯ぐきの中に隠れた問題が原因かもしれません。
今回は、**被せ物(クラウン)治療をより長持ちさせるために重要な“クラウンレングスニング”**という処置についてご紹介します。
◆ クラウンレングスニングとは?
クラウンレングスニングとは、被せ物を安定して装着するために、歯ぐきや骨の位置を整えて歯の見える部分(歯冠)を長くする外科的処置のことです。
簡単に言うと、「歯ぐきに埋もれて見えない部分の歯を、見えるように出してあげる処置」です。
◆ こんなケースに必要です
- 虫歯が歯ぐきの下まで進行している
- 古い被せ物が何度も外れる
- 被せ物を入れるスペースが足りない
- 被せ物の周囲の歯ぐきが腫れたり、出血しやすい
こういった症例では、クラウンレングスニングを行わずに被せ物を作ると、再治療のリスクが高まります。
◆ なぜクラウンレングスニングが必要なの?
被せ物は、健康な歯質にしっかりフィットしてこそ長持ちします。
しかし、虫歯が歯ぐきの深い部分に及んでいる場合、そのままでは安定した被せ物が作れません。
また、歯と歯ぐきの間には「生物学的幅径(biologic width)」と呼ばれる重要なスペースがあり、これを侵害すると…
- 慢性的な歯ぐきの炎症
- 出血・腫れ
- 被せ物の脱離
- 歯周病の進行
など、さまざまなトラブルを引き起こす可能性があります。
クラウンレングスニングを行うことで、被せ物のためのスペースと清掃しやすい環境を確保でき、再治療のリスクが大幅に減ります。
◆ 当院での精密な補綴前処置
当院では、マイクロスコープや歯科用CTを活用し、クラウンレングスニングの必要性を正確に診断しています。
また、歯周外科・補綴の両方の視点から、長期的に安定する被せ物治療をご提供しています。
◆ まとめ:被せ物治療は「土台作り」が命
「クラウンを入れる前の下準備」とも言えるクラウンレングスニングは、見た目だけでなく、被せ物の寿命や歯の健康を大きく左右する大切なステップです。
もし、何度も被せ物が外れる・歯ぐきのトラブルが続く…といったお悩みがある方は、一度ご相談ください。
池袋でクラウンレングスニングをご希望の方へ
グランドメゾンデンタルクリニックでは、補綴前処置から精密補綴まで一貫して対応しています。
ご相談はお気軽にどうぞ!
