インプラントの長期予後を見据えた当院の取り組み
~ゼロボーンロスコンセプトとは?~
インプラント治療において、長期的に安定した結果を得るためには、「骨の維持」が非常に重要です。当院では、リンキビシャス先生のゼロボーンロスコンセプトを取り入れ、骨の吸収を最小限に抑えたインプラント治療を実践しています。
ゼロボーンロスコンセプトは、インプラント周囲の骨吸収を極力ゼロに近づけることを目標とした治療戦略です。従来のインプラント治療では、術後に一定の骨吸収が起こることが一般的でしたが、このコンセプトに基づく治療を行うことで、長期的なインプラントの安定と健康な歯周環境の維持が可能になります。
当院におけるゼロボーンロスへの取り組み
① 精密な治療計画と診査診断
CTやデジタルシミュレーションを用いて、骨の状態や咬合(かみ合わせ)を詳細に分析し、最適なインプラントの位置·角度を決定します。無理な埋入を避けることで、周囲骨のストレスを軽減し、骨の吸収を最小限に抑えます。
② 適切なインプラント選択と埋入技術
ゼロボーンロスを達成するためには、インプラントのデザインや表面性状、埋入の深さなどを考慮することが不可欠です。当院では、プラットフォームスイッチングやマイクロギャップの管理を徹底し、骨吸収のリスクを低減しています。
③ インプラント周囲組織の保護
骨だけでなく、インプラント周囲の歯肉(軟組織)の健康維持も重要です。必要に応じて結合組織移植を行い、適切な角化歯肉の確保をすることで、長期的な安定を図ります。
④ メンテナンスと長期管理
どんなに優れた治療を施しても、術後のメンテナンスが不十分ではインプラントの寿命を縮めてしまいます。当院では、患者様一人ひとりに適したメンテナンスプログラムを提供し、長期的な健康管理をサポートしています。インプラントの未来を見据えてゼロボーンロスコンセプトを取り入れることで、インプラント治療の成功率はさらに向上し、患者様にとってより安心·安全な治療が提供できます。当院では、最先端の知識と技術を活かし、インプラントの長期予後を見据えた治療に全力で取り組んでいます。
「インプラントを長持ちさせたい」「将来的な骨吸収が心配」といったお悩みをお持ちの方は、ぜひ一度ご相談ください!
WEBからもご予約いただけます。
骨吸収を抑えたインプラント症例紹介
インプラントを守る歯肉の防御壁
骨縁から離して周囲炎リスクを低減する結合部設計
インプラントのアバットメント(上部構造)を外した時の歯肉の写真です。炎症がなく、十分な幅と高さが維持されています。
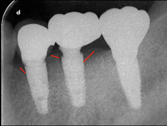
この歯肉がアバットメントに付着することで、細菌の感染を防ぐ防御壁となってくれます。一番右のインプラントが当院で埋入したインプラントです。
他の二つのインプラントに比べて骨吸収がなく、インプラント結合部が十分に骨縁から離れているのが見てとれます。
これによりインプラント周囲炎が起こりづらい構造となっております。


一番右のインプラントが当院で埋入したインプラントです。
他の二つのインプラントに比べて骨吸収がなく、インプラント結合部が十分に骨縁から離れているのが見てとれます。
これによりインプラント周囲炎が起こりづらい構造となっております。
その他もたくさんのインプラント症例をご紹介しております。
