症例をご確認いただけます|池袋駅西口徒歩5分・豊島区池袋の歯科医院「グランドメゾンデンタルクリニック」

症例 Cases

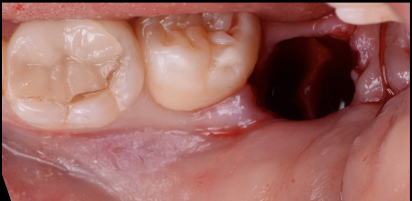
【30代女性】
親知らずが腫れていたい

治療前

治療後

抜歯した親知らず

担当医 生野 誠
主訴 親知らずが腫れていたい
期間 1回
費用 保険
治療内容 抜歯
治療に伴うリスク 神経鈍麻、腫れ

関連症例